• 文献检索
  • 文档翻译
  • 深度研究
  • 学术资讯
  • Suppr Zotero 插件Zotero 插件
  • 邀请有礼
  • 套餐&价格
  • 历史记录
应用&插件
Suppr Zotero 插件Zotero 插件浏览器插件Mac 客户端Windows 客户端微信小程序
定价
高级版会员购买积分包购买API积分包
服务
文献检索文档翻译深度研究API 文档MCP 服务
关于我们
关于 Suppr公司介绍联系我们用户协议隐私条款
关注我们

Suppr 超能文献

核心技术专利:CN118964589B侵权必究
粤ICP备2023148730 号-1Suppr @ 2026

文献检索

告别复杂PubMed语法,用中文像聊天一样搜索,搜遍4000万医学文献。AI智能推荐,让科研检索更轻松。

立即免费搜索

文件翻译

保留排版,准确专业,支持PDF/Word/PPT等文件格式,支持 12+语言互译。

免费翻译文档

深度研究

AI帮你快速写综述,25分钟生成高质量综述,智能提取关键信息,辅助科研写作。

立即免费体验

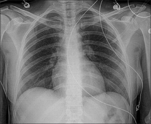
Panic attack: An unusual cause of spontaneous pneumomediastinum.

作者信息

Papadimos James S, Davis Christopher S, Papadimos Thomas J

机构信息

Department of Anesthesiology, The Ohio State University Wexner Medical Center, Columbus, Ohio, USA.

Department of Radiology, The Ohio State University Wexner Medical Center, Columbus, Ohio, USA.

出版信息

Int J Crit Illn Inj Sci. 2014 Jan;4(1):91-2. doi: 10.4103/2229-5151.128023.

DOI:10.4103/2229-5151.128023
PMID:24741504
原文链接:https://pmc.ncbi.nlm.nih.gov/articles/PMC3982377/
Abstract
摘要
https://cdn.ncbi.nlm.nih.gov/pmc/blobs/1265/3982377/150621d51006/IJCIIS-4-91-g002.jpg
https://cdn.ncbi.nlm.nih.gov/pmc/blobs/1265/3982377/d292e058871b/IJCIIS-4-91-g001.jpg
https://cdn.ncbi.nlm.nih.gov/pmc/blobs/1265/3982377/150621d51006/IJCIIS-4-91-g002.jpg
https://cdn.ncbi.nlm.nih.gov/pmc/blobs/1265/3982377/d292e058871b/IJCIIS-4-91-g001.jpg
https://cdn.ncbi.nlm.nih.gov/pmc/blobs/1265/3982377/150621d51006/IJCIIS-4-91-g002.jpg

相似文献

1
Panic attack: An unusual cause of spontaneous pneumomediastinum.惊恐发作:自发性纵隔气肿的一种罕见病因。
Int J Crit Illn Inj Sci. 2014 Jan;4(1):91-2. doi: 10.4103/2229-5151.128023.
2
Pneumomediastinum simulating a panic attack in a patient with anorexia nervosa.神经性厌食症患者中模拟惊恐发作的纵隔气肿
Int J Eat Disord. 2003 Jan;33(1):104-7. doi: 10.1002/eat.10114.
3
Vomiting-induced pneumomediastinum as a result of recurrent Boerhaave's syndrome.反复发生的博赫哈夫综合征导致呕吐性纵隔气肿。
J Surg Case Rep. 2020 Jun 1;2020(5):rjaa102. doi: 10.1093/jscr/rjaa102. eCollection 2020 May.
4
Spontaneous pneumomediastinum due to achalasia: an unusual but benign cause.贲门失弛缓症所致自发性纵隔气肿:一种罕见但良性的病因。
J Radiol Case Rep. 2010;4(11):38-43. doi: 10.3941/jrcr.v4i11.523. Epub 2010 Nov 1.
5
An Unusual Presentation of an Unusual Disease: Spontaneous Pneumomediastinum.一种罕见疾病的不寻常表现:自发性纵隔气肿。
S D Med. 2016 Nov;69(11):495-497.
6
Class test stress as an unusual cause of spontaneous pneumomediastinum in a 14-year-old girl.将考试压力视为一名14岁女孩自发性纵隔气肿的罕见病因。
Pediatr Emerg Care. 2009 Jun;25(6):401-2. doi: 10.1097/PEC.0b013e3181a792db.
7
An Unusual Association in an Uncommon Disease: Two Cases of Spontaneous Pneumomediastinum Associated with Pneumorrhachis.一种罕见疾病中的异常关联:两例自发性纵隔气肿合并脊髓积气。
Case Rep Pulmonol. 2016;2016:5092157. doi: 10.1155/2016/5092157. Epub 2016 Apr 26.
8
fMRI amygdala activation during a spontaneous panic attack in a patient with panic disorder.惊恐障碍患者自发惊恐发作期间的功能磁共振成像杏仁核激活
World J Biol Psychiatry. 2007;8(4):269-72. doi: 10.1080/15622970701216673.
9
Spontaneous pneumomediastinum.自发性纵隔气肿
BMJ Case Rep. 2018 Feb 11;2018:bcr-2017-222965. doi: 10.1136/bcr-2017-222965.
10
Spontaneous Pneumomediastinum and Diffuse Subcutaneous Emphysema after Methamphetamine Inhalation.吸入甲基苯丙胺后自发性纵隔气肿和弥漫性皮下气肿
Case Rep Pulmonol. 2020 Mar 7;2020:7538748. doi: 10.1155/2020/7538748. eCollection 2020.

本文引用的文献

1
Ooh-rah! An unusual cause of spontaneous pneumomediastinum.哦啦!自发性纵隔气肿的一个不寻常病因。
Mil Med. 2012 Nov;177(11):1396-8. doi: 10.7205/milmed-d-12-00243.
2
Spontaneous pneumomediastinum presenting as rhinolalia and chest pain.表现为鼻音和胸痛的自发性纵隔气肿
Ann R Coll Surg Engl. 2012 Nov;94(8):e243-5. doi: 10.1308/003588412X13373405387339.
3
[Pneumomediastinum: an extremely rare affection. A case of deferred diagnosis. Literature review and the role of thoracic US in urgency].[纵隔气肿:一种极其罕见的病症。一例延迟诊断病例。文献综述及胸部超声在急诊中的作用]
Ann Ital Chir. 2012 Jan-Feb;83(1):13-9.
4
Spontaneous pneumomediastinum in anorexia nervosa: a case report and review of the literature on pneumomediastinum and pneumothorax.神经性厌食症并发自发性纵隔气肿:病例报告并文献复习纵隔气肿和气胸
Eur Eat Disord Rev. 2010 Mar;18(2):107-15. doi: 10.1002/erv.1002.
5
[Spontaneous pneumomediastinum. Review of eight cases].[自发性纵隔气肿。8例病例回顾]
Rev Med Chil. 2009 Aug;137(8):1045-50. Epub 2009 Nov 4.