Suppr超能文献

RalR(一种脱氧核糖核酸酶)和RalA(一种小RNA)在大肠杆菌中形成一种I型毒素-抗毒素系统。

RalR (a DNase) and RalA (a small RNA) form a type I toxin-antitoxin system in Escherichia coli.

作者信息

Guo Yunxue, Quiroga Cecilia, Chen Qin, McAnulty Michael J, Benedik Michael J, Wood Thomas K, Wang Xiaoxue

机构信息

Key Laboratory of Tropical Marine Bio-resources and Ecology, South China Sea Institute of Oceanology, Chinese Academy of Sciences, Guangzhou 510301, PR China.

Department of Chemical Engineering, Pennsylvania State University, University Park, PA 16802-4400, USA.

出版信息

Nucleic Acids Res. 2014 Jun;42(10):6448-62. doi: 10.1093/nar/gku279. Epub 2014 Apr 19.

Abstract

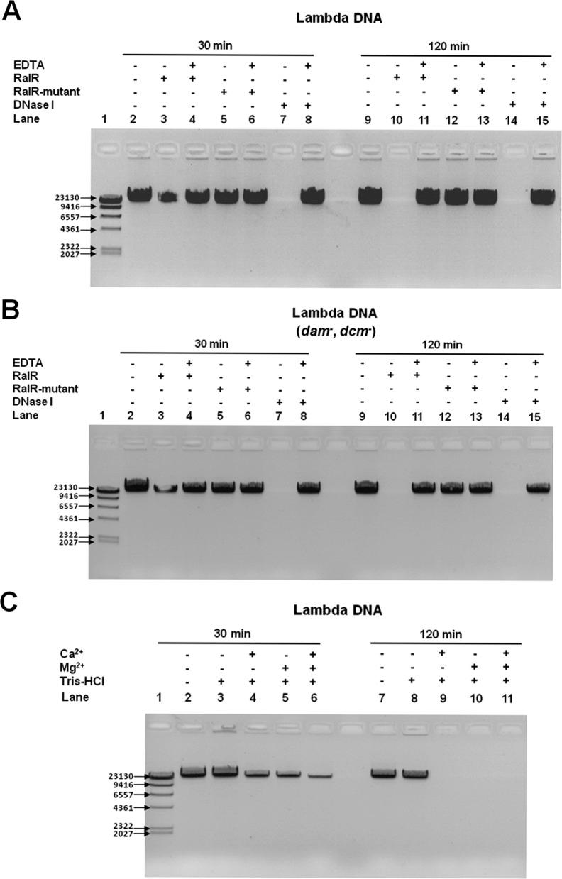
For toxin/antitoxin (TA) systems, no toxin has been identified that functions by cleaving DNA. Here, we demonstrate that RalR and RalA of the cryptic prophage rac form a type I TA pair in which the antitoxin RNA is a trans-encoded small RNA with 16 nucleotides of complementarity to the toxin mRNA. We suggest the newly discovered antitoxin gene be named ralA for RalR antitoxin. Toxin RalR functions as a non-specific endonuclease that cleaves methylated and unmethylated DNA. The RNA chaperone Hfq is required for RalA antitoxin activity and appears to stabilize RalA. Also, RalR/RalA is beneficial to the Escherichia coli host for responding to the antibiotic fosfomycin. Hence, our results indicate that cryptic prophage genes can be functionally divergent from their active phage counterparts after integration into the host genome.

摘要

对于毒素/抗毒素(TA)系统而言,尚未鉴定出通过切割DNA发挥作用的毒素。在此,我们证明了隐蔽原噬菌体rac的RalR和RalA形成了一个I型TA对,其中抗毒素RNA是一种反式编码的小RNA,与毒素mRNA具有16个核苷酸的互补性。我们建议将新发现的抗毒素基因命名为ralA,即RalR抗毒素。毒素RalR作为一种非特异性核酸内切酶,可切割甲基化和未甲基化的DNA。RNA伴侣Hfq是RalA抗毒素活性所必需的,似乎能稳定RalA。此外,RalR/RalA有利于大肠杆菌宿主对抗生素磷霉素作出反应。因此,我们的结果表明,隐蔽原噬菌体基因在整合到宿主基因组后,其功能可能与其活跃的噬菌体对应物不同。

https://cdn.ncbi.nlm.nih.gov/pmc/blobs/9cd9/4041452/7b172885f9da/gku279fig1.jpg

文献AI研究员

20分钟写一篇综述,助力文献阅读效率提升50倍。

立即体验

用中文搜PubMed

大模型驱动的PubMed中文搜索引擎

马上搜索

文档翻译

学术文献翻译模型,支持多种主流文档格式。

立即体验