• 文献检索
  • 文档翻译
  • 深度研究
  • 学术资讯
  • Suppr Zotero 插件Zotero 插件
  • 邀请有礼
  • 套餐&价格
  • 历史记录
应用&插件
Suppr Zotero 插件Zotero 插件浏览器插件Mac 客户端Windows 客户端微信小程序
定价
高级版会员购买积分包购买API积分包
服务
文献检索文档翻译深度研究API 文档MCP 服务
关于我们
关于 Suppr公司介绍联系我们用户协议隐私条款
关注我们

Suppr 超能文献

核心技术专利:CN118964589B侵权必究
粤ICP备2023148730 号-1Suppr @ 2026

文献检索

告别复杂PubMed语法,用中文像聊天一样搜索,搜遍4000万医学文献。AI智能推荐,让科研检索更轻松。

立即免费搜索

文件翻译

保留排版,准确专业,支持PDF/Word/PPT等文件格式,支持 12+语言互译。

免费翻译文档

深度研究

AI帮你快速写综述,25分钟生成高质量综述,智能提取关键信息,辅助科研写作。

立即免费体验

桥小脑角面神经鞘瘤向中颅窝复发

Cerebellopontine angle facial schwannoma relapsing towards middle cranial fossa.

作者信息

Nishizaki Takafumi, Ikeda Norio, Nakano Shigeki, Sakakura Takanori, Abiko Masaru, Okamura Tomomi

机构信息

Department of Neurosurgery, Ube Industries Central Hospital, Nishikiwa, Ube, Yamaguchi, Japan.

出版信息

Clin Pract. 2011 May 2;1(2):e32. doi: 10.4081/cp.2011.e32. eCollection 2011 May 16.

DOI:10.4081/cp.2011.e32
PMID:24765294
原文链接:https://pmc.ncbi.nlm.nih.gov/articles/PMC3981252/
Abstract

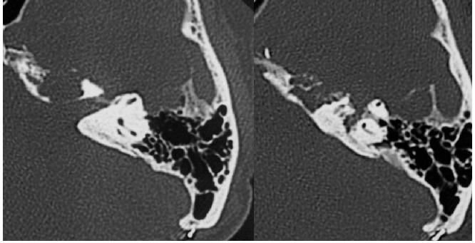
Facial nerve schwannomas involving posterior and middle fossas are quite rare. Here, we report an unusual case of cerebellopontine angle facial schwannoma that involved the middle cranial fossa, two years after the first operation. A 53-year-old woman presented with a 3-year history of a progressive left side hearing loss and 6-month history of a left facial spasm and palsy. Magnetic resonance imaging (MRI) revealed 4.5 cm diameter of left cerebellopontine angle and small middle fossa tumor. The tumor was subtotally removed via a suboccipital retrosigmoid approach. The tumor relapsed towards middle cranial fossa within a two-year period. By subtemporal approach with zygomatic arch osteotomy, the tumor was subtotally removed except that in the petrous bone involving the facial nerve. In both surgical procedures, intraoperative monitoring identified the facial nerve, resulting in preserved facial function. The tumor in the present case arose from broad segment of facial nerve encompassing cerebellopontine angle, meatus, geniculate/labyrinthine and possibly great petrosal nerve, in view of variable symptoms. Preservation of anatomic continuity of the facial nerve should be attempted, and the staged operation via retrosigmoid and middle fossa approaches using intraoperative facial monitoring, may result in preservation of the facial nerve.

摘要

累及后颅窝和中颅窝的面神经鞘瘤相当罕见。在此,我们报告一例不寻常的桥小脑角面神经鞘瘤病例,该肿瘤在首次手术后两年累及中颅窝。一名53岁女性,有3年进行性左耳听力减退病史及6个月左侧面部痉挛和面瘫病史。磁共振成像(MRI)显示左侧桥小脑角有直径4.5 cm的肿瘤及中颅窝小肿瘤。通过枕下乙状窦后入路将肿瘤次全切除。肿瘤在两年内复发并向中颅窝发展。通过颞下经颧弓截骨入路,除累及面神经的岩骨部分肿瘤外,其余肿瘤被次全切除。在这两次手术过程中,术中监测均识别出面神经,从而保留了面部功能。鉴于症状多样,本例肿瘤起源于面神经的广泛节段,包括桥小脑角、内耳道、膝状神经节/迷路段,可能还包括岩大神经。应尝试保留面神经的解剖连续性,采用术中面神经监测的乙状窦后和中颅窝入路分期手术,可能有助于保留面神经。

https://cdn.ncbi.nlm.nih.gov/pmc/blobs/ba07/3981252/1a3b7e122ff7/cp-2011-2-e32-g004.jpg
https://cdn.ncbi.nlm.nih.gov/pmc/blobs/ba07/3981252/4ebdfa540a8f/cp-2011-2-e32-g001.jpg
https://cdn.ncbi.nlm.nih.gov/pmc/blobs/ba07/3981252/875c463799f5/cp-2011-2-e32-g002.jpg
https://cdn.ncbi.nlm.nih.gov/pmc/blobs/ba07/3981252/ed4eea2a2f3f/cp-2011-2-e32-g003.jpg
https://cdn.ncbi.nlm.nih.gov/pmc/blobs/ba07/3981252/1a3b7e122ff7/cp-2011-2-e32-g004.jpg
https://cdn.ncbi.nlm.nih.gov/pmc/blobs/ba07/3981252/4ebdfa540a8f/cp-2011-2-e32-g001.jpg
https://cdn.ncbi.nlm.nih.gov/pmc/blobs/ba07/3981252/875c463799f5/cp-2011-2-e32-g002.jpg
https://cdn.ncbi.nlm.nih.gov/pmc/blobs/ba07/3981252/ed4eea2a2f3f/cp-2011-2-e32-g003.jpg
https://cdn.ncbi.nlm.nih.gov/pmc/blobs/ba07/3981252/1a3b7e122ff7/cp-2011-2-e32-g004.jpg

相似文献

1
Cerebellopontine angle facial schwannoma relapsing towards middle cranial fossa.桥小脑角面神经鞘瘤向中颅窝复发
Clin Pract. 2011 May 2;1(2):e32. doi: 10.4081/cp.2011.e32. eCollection 2011 May 16.
2
Resection of a Dumbbell-Shaped Facial Nerve Schwannoma With Preservation of Facial Nerve Function Through the Extended Middle Fossa Approach: 2-Dimensional Operative Video.经扩大中颅窝入路切除哑铃型面神经神经鞘瘤保留面神经功能:二维手术视频。
Oper Neurosurg (Hagerstown). 2021 Nov 15;21(6):E530-E531. doi: 10.1093/ons/opab335.
3
Huge facial schwannoma extending into the middle cranial fossa and cerebellopontine angle without facial nerve palsy--case report.巨大面部神经鞘瘤延伸至中颅窝和桥小脑角且无面神经麻痹——病例报告
Neurol Med Chir (Tokyo). 2000 Oct;40(10):528-31. doi: 10.2176/nmc.40.528.
4
[Huge facial nerve schwannoma extending into the middle cranial fossa without facial palsy: case report].[巨大面神经鞘瘤延伸至中颅窝且无面瘫:病例报告]
No Shinkei Geka. 2007 Jun;35(6):591-8.
5
Removal of vestibular schwannoma and facial nerve preservation using small suboccipital retrosigmoid craniotomy.采用小枕下乙状窦后入路切除前庭神经鞘瘤并保留面神经。
Chin Med J (Engl). 2010 Feb 5;123(3):274-80.
6
Large Middle Cranial Fossa Schwannoma: A Rare Presentation of Vestibular Schwannoma.中颅窝大型神经鞘瘤:前庭神经鞘瘤的罕见表现。
Cureus. 2022 Dec 31;14(12):e33186. doi: 10.7759/cureus.33186. eCollection 2022 Dec.
7
Middle Fossa Approach for Facial Nerve Schwannoma Aiming for Functional Improvement: 2-Dimensional Operative Video.以功能改善为目标的面神经鞘瘤中颅窝入路:二维手术视频
Oper Neurosurg. 2020 May 1;18(5):E167-E168. doi: 10.1093/ons/opz178.
8
Surgery for vestibular schwannomas: a systematic review of complications by approach.听神经瘤手术:按手术入路系统评价并发症。
Neurosurg Focus. 2012 Sep;33(3):E14. doi: 10.3171/2012.6.FOCUS12163.
9
Hearing preservation in patients undergoing vestibular schwannoma surgery: comparison of middle fossa and retrosigmoid approaches.前庭神经鞘瘤手术患者的听力保留:中颅窝入路与乙状窦后入路的比较
J Neurosurg. 1998 May;88(5):840-5. doi: 10.3171/jns.1998.88.5.0840.
10
Large facial nerve schwannomas without facial palsy: case reports and review of the literature.无面瘫的大型面神经鞘瘤:病例报告及文献综述
Neurosurg Rev. 2005 Jul;28(3):234-8. doi: 10.1007/s10143-005-0381-x. Epub 2005 Mar 8.

本文引用的文献

1
Facial schwannoma: results of a large case series and review.面部神经鞘瘤:一个大型病例系列的结果及综述
J Laryngol Otol. 2008 Nov;122(11):1139-50. doi: 10.1017/S0022215107000667. Epub 2008 Jan 7.
2
Surgical management of facial neuromas: lessons learned.面部神经瘤的外科治疗:经验教训
Otol Neurotol. 2007 Oct;28(7):958-63. doi: 10.1097/MAO.0b013e3181461c8d.
3
[Huge facial nerve schwannoma extending into the middle cranial fossa without facial palsy: case report].[巨大面神经鞘瘤延伸至中颅窝且无面瘫:病例报告]
No Shinkei Geka. 2007 Jun;35(6):591-8.
4
Fascicle preservation surgery for facial nerve neuromas involving the posterior cranial fossa.保留束支手术治疗累及后颅窝的面神经神经鞘瘤。
Otol Neurotol. 2003 Mar;24(2):317-25. doi: 10.1097/00129492-200303000-00031.
5
Facial nerve neuromas: report of 10 cases and review of the literature.面神经神经瘤:10例报告及文献复习
Neurosurgery. 2002 Mar;50(3):450-6. doi: 10.1097/00006123-200203000-00004.
6
Huge facial schwannoma extending into the middle cranial fossa and cerebellopontine angle without facial nerve palsy--case report.巨大面部神经鞘瘤延伸至中颅窝和桥小脑角且无面神经麻痹——病例报告
Neurol Med Chir (Tokyo). 2000 Oct;40(10):528-31. doi: 10.2176/nmc.40.528.
7
Greater superficial petrosal nerve neurinoma. Case report.岩浅大神经神经鞘瘤。病例报告。
J Neurosurg. 1999 Oct;91(4):691-6. doi: 10.3171/jns.1999.91.4.0691.
8
Facial nerve neuromas presenting as acoustic tumors.表现为听神经瘤的面神经神经瘤。
Am J Otol. 1994 May;15(3):307-12.
9
Neuromas of the facial nerve: a report of 12 cases.面神经神经瘤:12例报告
Br J Neurosurg. 1993;7(1):13-22. doi: 10.3109/02688699308995051.
10
Facial nerve neuroma.面神经神经瘤
Ear Nose Throat J. 1994 Oct;73(10):721-2, 725-39, 743-52.