Suppr超能文献

上肢多原发性横纹肌肉瘤的乳腺转移

Breast metastasis from multiple primary rhabdomyosarcoma in upper extremity.

作者信息

Omranipour Ramesh, Hadi Mohamad Reza

机构信息

Department of Surgical Oncology of Cancer Institute, Imam Hospital, Tehran, Iran.

出版信息

Clin Pract. 2012 Feb 21;2(1):e25. doi: 10.4081/cp.2012.e25. eCollection 2012 Jan 1.

Abstract

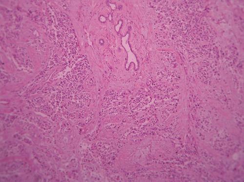
We report a 16-year-old girl with a multiple primary rhabdomyosarcoma of right upper extremity who developed contralateral breast metastasis in her clinical course. She was diagnosed to have multiple primary rhab-domyosarcoma of the right upper extremity with lung metastasis one year prior to finding a mass in her left breast. The excisional biopsy of the breast mass confirmed metastatic rhabdomyosarcoma. Despite aggressive chemotherapy and subcutaneous total mastectomy, she developed a widespread bone and lung metastasis in few months and expired. Metastatic rhabdomyosarcoma of the breast is very rare but it should be considered in adolescent females with primary alveolar rhabdomyosarcoma, specially located on an extremity.

摘要

我们报告一名16岁患有右上肢多原发性横纹肌肉瘤的女孩,其在临床病程中出现了对侧乳腺转移。在发现左乳肿块一年前,她被诊断为右上肢多原发性横纹肌肉瘤伴肺转移。乳腺肿块的切除活检证实为转移性横纹肌肉瘤。尽管进行了积极的化疗和皮下全乳切除术,但她在几个月内出现了广泛的骨和肺转移并死亡。乳腺转移性横纹肌肉瘤非常罕见,但对于患有原发性肺泡横纹肌肉瘤、特别是位于四肢的青春期女性应予以考虑。

https://cdn.ncbi.nlm.nih.gov/pmc/blobs/ab51/3981328/55a7b90dd72f/cp-2012-1-e25-g001.jpg

文献AI研究员

20分钟写一篇综述,助力文献阅读效率提升50倍。

立即体验

用中文搜PubMed

大模型驱动的PubMed中文搜索引擎

马上搜索

文档翻译

学术文献翻译模型,支持多种主流文档格式。

立即体验