Suppr超能文献

谷氨酰胺合成酶 2 对于嗜盐古菌中兼容溶质的生物合成不是必需的。

Glutamine synthetase 2 is not essential for biosynthesis of compatible solutes in Halobacillus halophilus.

机构信息

Molecular Microbiology and Bioenergetics, Institute of Molecular Biosciences, Johann Wolfgang Goethe-University of Frankfurt am Main Frankfurt am Main, Germany.

Instituto de Tecnologia Química e Biológica, Universidade Nova de Lisboa Oeiras, Portugal.

出版信息

Front Microbiol. 2014 Apr 14;5:168. doi: 10.3389/fmicb.2014.00168. eCollection 2014.

Abstract

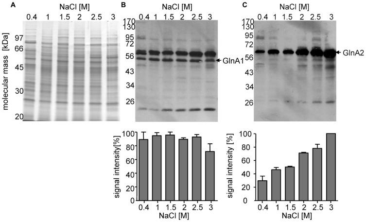
Halobacillus halophilus, a moderately halophilic bacterium isolated from salt marshes, produces various compatible solutes to cope with osmotic stress. Glutamate and glutamine are dominant compatible solutes at mild salinities. Glutamine synthetase activity in cell suspensions of Halobacillus halophilus wild type was shown to be salt dependent and chloride modulated. A possible candidate to catalyze glutamine synthesis is glutamine synthetase A2, whose transcription is stimulated by chloride. To address the role of GlnA2 in the biosynthesis of the osmolytes glutamate and glutamine, a deletion mutant (ΔglnA2) was generated and characterized in detail. We compared the pool of compatible solutes and performed transcriptional analyses of the principal genes controlling the solute production in the wild type strain and the deletion mutant. These measurements did not confirm the hypothesized role of GlnA2 in the osmolyte production. Most likely the presence of another, yet to be identified enzyme has the main contribution in the measured activity in crude extracts and probably determines the total chloride-modulated profile. The role of GlnA2 remains to be elucidated.

摘要

嗜盐古菌是从盐沼中分离出来的一种中度嗜盐细菌,它会产生各种相容性溶质以应对渗透压的变化。在低盐度条件下,谷氨酸和谷氨酰胺是主要的相容性溶质。嗜盐古菌细胞悬液中的谷氨酰胺合成酶活性表现出对盐度的依赖性和氯离子的调节作用。谷氨酰胺合成酶 A2 可能是催化谷氨酰胺合成的候选酶,其转录受到氯离子的刺激。为了确定 GlnA2 在谷氨酸和谷氨酰胺等渗透物生物合成中的作用,我们构建了一个缺失突变体(ΔglnA2)并对其进行了详细的表征。我们比较了相容性溶质库,并对控制溶质产生的主要基因在野生型菌株和缺失突变体中的转录进行了分析。这些测量结果并不能证实 GlnA2 在渗透物产生中的假设作用。很可能存在另一种尚未鉴定的酶,它在粗提物的测量活性中具有主要贡献,并且可能决定了总氯离子调节的轮廓。GlnA2 的作用仍有待阐明。

https://cdn.ncbi.nlm.nih.gov/pmc/blobs/5775/3995056/7383e173b8cb/fmicb-05-00168-g001.jpg

文献检索

告别复杂PubMed语法,用中文像聊天一样搜索,搜遍4000万医学文献。AI智能推荐,让科研检索更轻松。

立即免费搜索

文件翻译

保留排版,准确专业,支持PDF/Word/PPT等文件格式,支持 12+语言互译。

免费翻译文档

深度研究

AI帮你快速写综述,25分钟生成高质量综述,智能提取关键信息,辅助科研写作。

立即免费体验