Suppr超能文献

幼鼠的肾脏对食品霉菌毒素污染物雪腐镰刀菌烯醇不敏感。

The Kidneys of Infant Mice are not Sensitive to the Food Mycotoxin Contaminant Nivalenol.

作者信息

Inoue Kaoru, Takahashi Miwa, Kodama Yukio, Nishikawa Akiyoshi, Sugita-Konishi Yoshiko, Yoshida Midori

机构信息

Division of Pathology, National Institute of Health Sciences, 1-18-1 Kamiyoga, Setagaya, Tokyo 158-8501, Japan.

Division of Toxicology, National Institute of Health Sciences, 1-18-1 Kamiyoga, Setagaya, Tokyo 158-8501, Japan.

出版信息

J Toxicol Pathol. 2014 Apr;27(1):57-66. doi: 10.1293/tox.2013-0047. Epub 2014 Apr 30.

Abstract

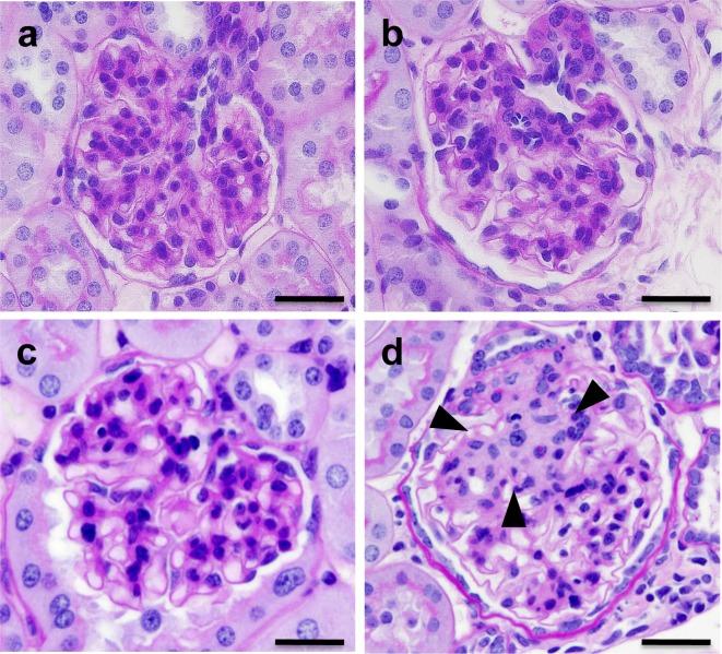
Nivalenol (NIV) is a trichothecene mycotoxin produced by Fusarium fungi that frequently contaminates agricultural commodities. Dietary administration of NIV to adult mice affects the renal glomeruli, but data about NIV toxicity in human infants are limited. To evaluate the effects of NIV on infant kidneys, 3-week-old male ICR-derived glomerulonephritis (ICGN) and ICR mice were administered 0, 4, 8 or 16 ppm NIV in diet for 4 weeks, and their renal status was compared with age-matched or adult ICR mice. In ICGN mice, the number of glomeruli showing mesangial expansion and α-smooth muscle actin (SMA)-positive mesangial cells was higher with 16 ppm NIV compared with controls. No other significant differences were observed in ICGN mice. In infant ICR mice, the IgA serum concentrations were significantly elevated without glomerular morphological changes in the 16 ppm NIV group. There was no difference in NIV sensitivity in the kidneys of infant ICGN and ICR mice. These data suggest that the kidneys in infant mice are not sensitive to nivalenol under the present conditions.

摘要

雪腐镰刀菌烯醇(NIV)是一种由镰刀菌产生的单端孢霉烯族霉菌毒素,常污染农产品。给成年小鼠经口投喂NIV会影响其肾小球,但关于NIV对人类婴儿毒性的数据有限。为评估NIV对婴儿肾脏的影响,给3周龄雄性源自ICR的肾小球肾炎(ICGN)小鼠和ICR小鼠在饲料中分别投喂0、4、8或16 ppm的NIV,持续4周,并将它们的肾脏状况与年龄匹配的或成年ICR小鼠进行比较。在ICGN小鼠中,与对照组相比,16 ppm NIV组中出现系膜扩张和α平滑肌肌动蛋白(SMA)阳性系膜细胞的肾小球数量更多。在ICGN小鼠中未观察到其他显著差异。在婴儿ICR小鼠中,16 ppm NIV组的IgA血清浓度显著升高,但无肾小球形态学变化。婴儿ICGN和ICR小鼠肾脏对NIV的敏感性无差异。这些数据表明,在当前条件下,婴儿小鼠的肾脏对雪腐镰刀菌烯醇不敏感。

https://cdn.ncbi.nlm.nih.gov/pmc/blobs/bfc5/4000074/cdbbe2a97ce9/tox-27-057-g001.jpg

文献AI研究员

20分钟写一篇综述,助力文献阅读效率提升50倍。

立即体验

用中文搜PubMed

大模型驱动的PubMed中文搜索引擎

马上搜索

文档翻译

学术文献翻译模型,支持多种主流文档格式。

立即体验