Hara Kenshiro, Nakagawa Toshinori, Enomoto Hideki, Suzuki Mikiko, Yamamoto Masayuki, Simons Benjamin D, Yoshida Shosei
Division of Germ Cell Biology, National Institute for Basic Biology, National Institutes of Natural Sciences, 5-1 Higashiyama, Myodaiji, Okazaki, 444-8787, Japan; Department of Basic Biology, School of Life Science, Graduate University for Advanced Studies (Sokendai), 5-1 Higashiyama, Myodaiji, Okazaki, 444-8787, Japan.
Department of Immunobiology and Hematology, Institute for Frontier Medical Sciences, Kyoto University, 53 Kawahara-cho, Shogoin, Sakyo-ku, Kyoto, 606-8507, Japan.
Cell Stem Cell. 2014 May 1;14(5):658-72. doi: 10.1016/j.stem.2014.01.019.
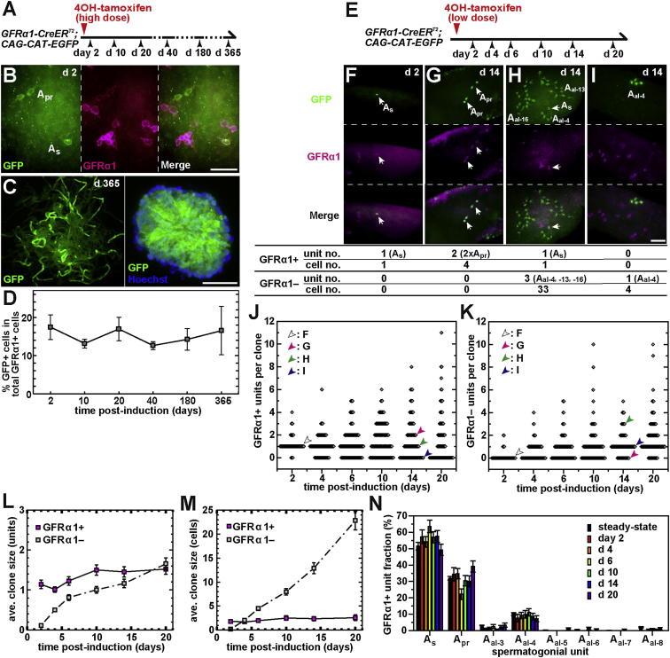
The identity and behavior of mouse spermatogenic stem cells have been a long-standing focus of interest. In the prevailing "As model," stem cell function is restricted to singly isolated (As) spermatogonia. By examining single-cell dynamics of GFRα1+ stem cells in vivo, we evaluate an alternative hypothesis that, through fragmentation, syncytial spermatogonia also contribute to stem cell function in homeostasis. We use live imaging and pulse labeling to quantitatively determine the fates of individual GFRα1+ cells and find that, during steady-state spermatogenesis, the entire GFRα1+ population comprises a single stem cell pool, in which cells continually interconvert between As and syncytial states. A minimal biophysical model, relying only on the rates of incomplete cell division and syncytial fragmentation, precisely predicts the stochastic fates of GFRα1+ cells during steady state and postinsult regeneration. Thus, our results define an alternative and dynamic model for spermatogenic stem cell function in the mouse testis.
小鼠生精干细胞的身份和行为一直是人们长期关注的焦点。在普遍的“As模型”中,干细胞功能仅限于单个分离的(As)精原细胞。通过在体内检查GFRα1 +干细胞的单细胞动态,我们评估了另一种假说,即通过分裂,合胞体精原细胞在稳态中也对干细胞功能有贡献。我们使用实时成像和脉冲标记来定量确定单个GFRα1 +细胞的命运,发现在稳态生精过程中,整个GFRα1 +群体构成一个单一的干细胞池,其中细胞在As状态和合胞体状态之间不断相互转换。一个仅依赖于不完全细胞分裂和合胞体分裂速率的最小生物物理模型,精确地预测了稳态和损伤后再生过程中GFRα1 +细胞的随机命运。因此,我们的结果定义了小鼠睾丸中生精干细胞功能的另一种动态模型。