Suppr超能文献

在食纤维梭菌中,一种非纤维小体甘露聚糖酶26E含有一个CBM59结构域。

A noncellulosomal mannanase26E contains a CBM59 in Clostridium cellulovorans.

作者信息

Yamamoto Kosuke, Tamaru Yutaka

机构信息

Department of Life Sciences, Graduate School of Bioresources, Mie University, 1577 Kurimamachiya, Tsu, Mie 514-8507, Japan.

Department of Life Sciences, Graduate School of Bioresources, Mie University, 1577 Kurimamachiya, Tsu, Mie 514-8507, Japan ; Graduate School of Bioresources, Department of Bioinfomatics, Mie University Life Science Research Center, Mie University, 1577 Kurimamachiya, Tsu, Mie 514-8507, Japan ; Laboratory of Applied Biotechnology, Mie University Industrial Technology Innovation Institute, Mie University, 1577 Kurimamachiya, Tsu, Mie 514-8507, Japan.

出版信息

Biomed Res Int. 2014;2014:438787. doi: 10.1155/2014/438787. Epub 2014 Mar 27.

Abstract

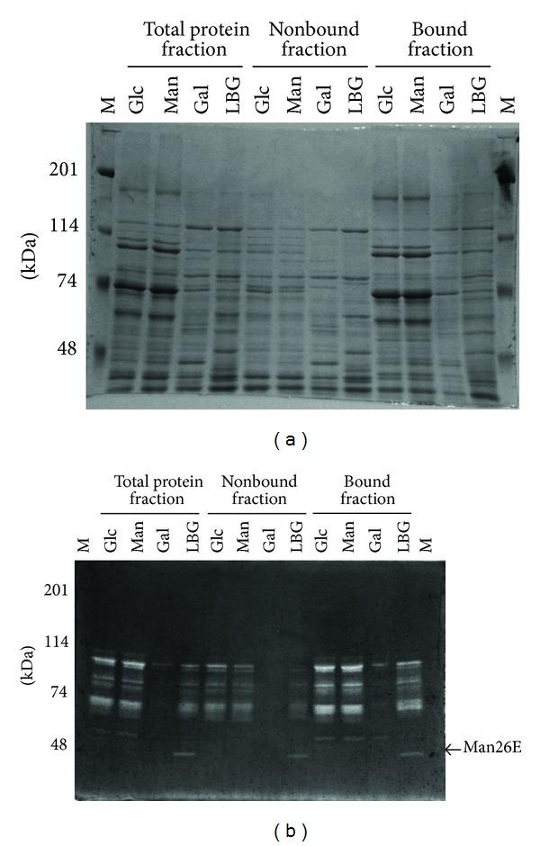
A multicomponent enzyme-complex prevents efficient degradation of the plant cell wall for biorefinery. In this study, the method of identifying glycoside hydrolases (GHs) to degrade hemicelluloses was demonstrated. The competence of C. cellulovorans, which changes to be suitable for degradation of each carbon source, was used for the method. C. cellulovorans was cultivated into locust bean gum (LBG) that is composed of galactomannan. The proteins produced by C. cellulovorans were separated into either fractions binding to crystalline cellulose or not. Proteins obtained from each fraction were further separated by SDS-PAGE and were stained with Coomassie Brilliant Blue and were detected for mannanase activity. The proteins having the enzymatic activity for LBG were cut out and were identified by mass spectrometry. As a result, four protein bands were classified into glycosyl hydrolase family 26 (GH26) mannanases. One of the identified mannanases, Man26E, contains a carbohydrate-binding module (CBM) family 59, which binds to xylan, mannan, and Avicel. Although mannose and galactose are the same as a hexose, the expression patterns of the proteins from C. cellulovorans were quite different. More interestingly, zymogram for mannanase activity showed that Man26E was detected in only LBG medium.

摘要

一种多组分酶复合物阻碍了用于生物炼制的植物细胞壁的有效降解。在本研究中,展示了鉴定用于降解半纤维素的糖苷水解酶(GHs)的方法。该方法采用了能适应不同碳源降解的食纤维梭菌(C. cellulovorans)。将食纤维梭菌培养在由半乳甘露聚糖组成的刺槐豆胶(LBG)中。食纤维梭菌产生的蛋白质被分离为与结晶纤维素结合或不结合的组分。从每个组分中获得的蛋白质进一步通过SDS-PAGE分离,用考马斯亮蓝染色,并检测甘露聚糖酶活性。将具有LBG酶活性的蛋白质条带切下并通过质谱鉴定。结果,四条蛋白带被归类为糖苷水解酶家族26(GH26)甘露聚糖酶。其中一种鉴定出的甘露聚糖酶Man26E含有碳水化合物结合模块(CBM)家族59,它能与木聚糖、甘露聚糖和微晶纤维素结合。尽管甘露糖和半乳糖都是己糖,但食纤维梭菌产生的蛋白质的表达模式却大不相同。更有趣的是,甘露聚糖酶活性的酶谱分析表明,仅在LBG培养基中检测到了Man26E。

https://cdn.ncbi.nlm.nih.gov/pmc/blobs/7c77/3985142/a7fa6de781e1/BMRI2014-438787.001.jpg

文献AI研究员

20分钟写一篇综述,助力文献阅读效率提升50倍。

立即体验

用中文搜PubMed

大模型驱动的PubMed中文搜索引擎

马上搜索

文档翻译

学术文献翻译模型,支持多种主流文档格式。

立即体验