Suppr超能文献

外阴孤立性肥大细胞瘤

Solitary mastocytoma of the vulva.

作者信息

Velusamy Shasi, Karuthedath Areeppurath Mana Jayasree, Mathew Chalissery Francis

机构信息

Department of Pathology, Government Medical College, Thrissur, Kerala 680596, India.

出版信息

Case Rep Pathol. 2014;2014:412656. doi: 10.1155/2014/412656. Epub 2014 Mar 30.

Abstract

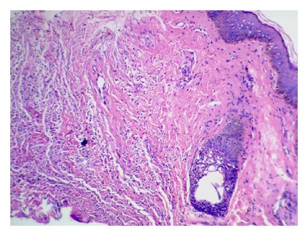
Solitary mastocytoma of the skin is a rare tumor. Its occurrence in the vulva is extremely rare with only few case reports in the literature. We report a solitary mastocytoma of the vulva in a 10-year-old girl. Her systemic examination was unremarkable. The clinical and histopathological features were consistent with the diagnosis of solitary mastocytoma of the vulva. The follow-up after surgical excision was uneventful. The purpose of this communication is (i) to report a case of solitary mastocytoma occurring in an unusual site, the vulva and to show that (ii) in this case age at presentation is 10 years with infancy as common age of presentation of solitary mastocytoma, and to show that (iii) in appropriate setting this should be included in the differential diagnosis of vulval swelling.

摘要

皮肤孤立性肥大细胞瘤是一种罕见的肿瘤。其发生于外阴极为罕见,文献中仅有少数病例报告。我们报告一例10岁女孩的外阴孤立性肥大细胞瘤。她的全身检查未见异常。临床和组织病理学特征与外阴孤立性肥大细胞瘤的诊断相符。手术切除后的随访过程顺利。本病例报告的目的是:(i)报告一例发生于不寻常部位(外阴)的孤立性肥大细胞瘤病例;(ii)表明该病例的发病年龄为10岁,而婴儿期是孤立性肥大细胞瘤的常见发病年龄;(iii)表明在适当情况下,应将其纳入外阴肿胀的鉴别诊断中。

https://cdn.ncbi.nlm.nih.gov/pmc/blobs/5d4a/3985194/ea570a1161cc/CRIPA2014-412656.001.jpg

文献AI研究员

20分钟写一篇综述,助力文献阅读效率提升50倍。

立即体验

用中文搜PubMed

大模型驱动的PubMed中文搜索引擎

马上搜索

文档翻译

学术文献翻译模型,支持多种主流文档格式。

立即体验