Suppr超能文献

使用WaveOne对四根管上颌第二磨牙进行当代牙髓治疗管理

Contemporary endodontic management of four rooted maxillary second molar using waveOne.

作者信息

Pawar Ajinkya M, Kokate Sharad R

机构信息

Department of Conservative Dentistry and Endodontics, YMT Dental College and Hospital, Kharghar, Navi Mumbai, Maharashtra, India.

出版信息

Contemp Clin Dent. 2014 Jan;5(1):130-3. doi: 10.4103/0976-237X.128692.

Abstract

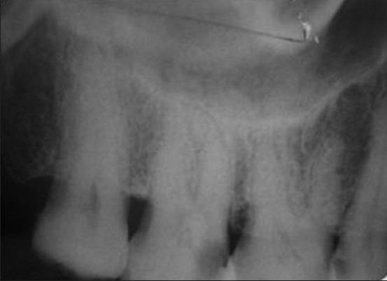
Knowledge of root canal morphology and variations is an essential factor to successful endodontic treatment. Presence of extra roots, canals, lateral canals, deltas etc., is commonly encountered. Maxillary second molar with two palatal roots or root canals is a rare dental anatomy. The purpose of this case report is to describe the successful endodontic management of a maxillary second molar with four root canals using a single reciprocating file system. The morphology is a typical characterized by two palatal roots with widely separated two orifices and canals. The tooth presented an individual mesiobuccal, distobuccal and two separate palatal roots.

摘要

了解根管形态及其变异是根管治疗成功的关键因素。额外的根、根管、侧支根管、根管袢等情况很常见。上颌第二磨牙有两个腭根或根管是一种罕见的牙齿解剖结构。本病例报告的目的是描述使用单一往复锉系统对上颌第二磨牙四个根管进行成功根管治疗的情况。其形态典型特征为两个腭根,根管口和根管广泛分离。该牙齿有一个单独的近中颊根、远中颊根和两个分开的腭根。

https://cdn.ncbi.nlm.nih.gov/pmc/blobs/4aa4/4012107/8a53ff2812b0/CCD-5-130-g001.jpg

文献AI研究员

20分钟写一篇综述,助力文献阅读效率提升50倍。

立即体验

用中文搜PubMed

大模型驱动的PubMed中文搜索引擎

马上搜索

文档翻译

学术文献翻译模型,支持多种主流文档格式。

立即体验