Omae Yosuke, Sekimizu Kazuhisa, Kaito Chikara
Laboratory of Microbiology, Graduate School of Pharmaceutical Sciences, The University of Tokyo, Hongo, Bunkyo-ku, Tokyo, Japan.
PLoS One. 2014 May 15;9(5):e97670. doi: 10.1371/journal.pone.0097670. eCollection 2014.
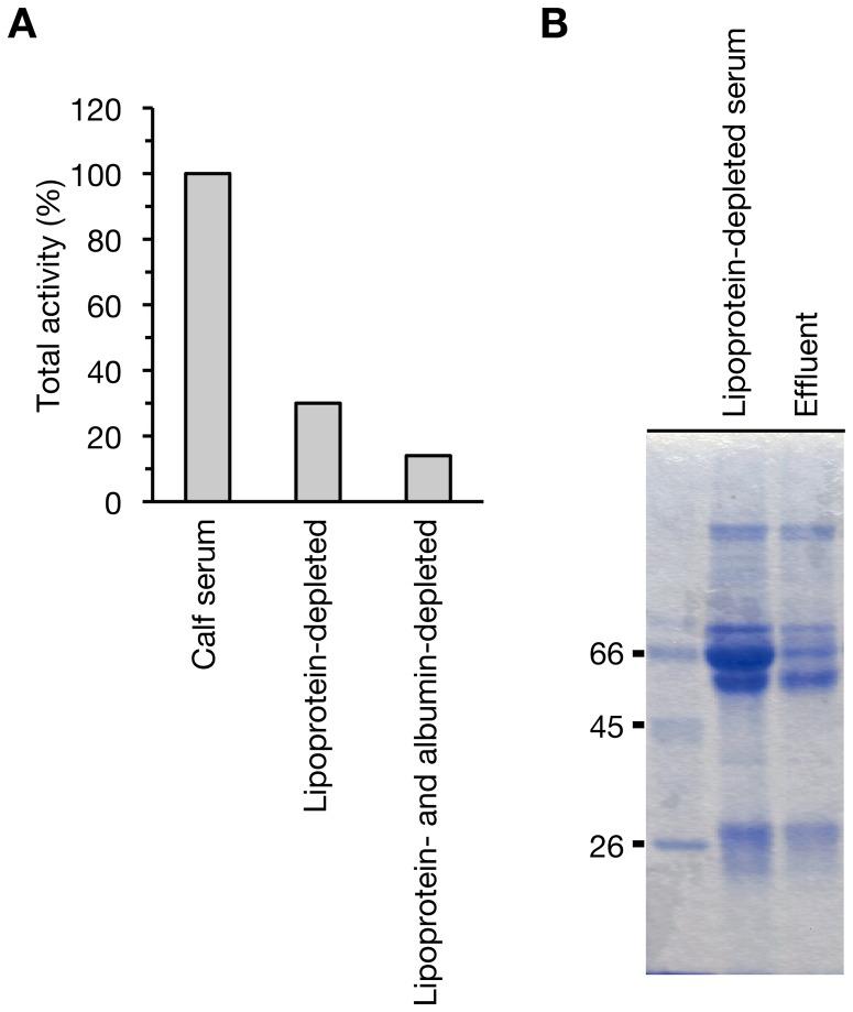
Staphylococcus aureus forms giant colonies on soft-agar surfaces, which is called colony-spreading. In the present study, we searched for host factors that influence S. aureus colony-spreading activity. The addition of calf serum, porcine serum, or silkworm hemolymph to soft-agar medium stimulated S. aureus colony-spreading activity. Gel filtration column chromatography of calf serum produced a high molecular weight fraction and a low molecular weight fraction, both of which exhibited colony-spreading stimulatory activity. In the low molecular weight fraction, we identified the stimulatory factor as bovine serum albumin. The stimulatory fraction in the high molecular weight fraction was identified as high-density lipoprotein (HDL) particles. Delipidation of HDL abolished the stimulatory activity of HDL. Phosphatidylcholine, which is the major lipid component in HDL particles, stimulated the colony-spreading activity. Other phosphatidylcholine-containing lipoprotein particles, low-density lipoprotein and very low-density lipoprotein, also showed colony-spreading stimulatory activity. These findings suggest that S. aureus colony-spreading activity is stimulated by albumin and lipoprotein particles in mammalian serum.
金黄色葡萄球菌在软琼脂表面形成巨大菌落,这被称为菌落扩散。在本研究中,我们寻找影响金黄色葡萄球菌菌落扩散活性的宿主因子。向软琼脂培养基中添加小牛血清、猪血清或家蚕血淋巴可刺激金黄色葡萄球菌的菌落扩散活性。对小牛血清进行凝胶过滤柱层析产生了一个高分子量组分和一个低分子量组分,二者均表现出菌落扩散刺激活性。在低分子量组分中,我们鉴定出刺激因子为牛血清白蛋白。高分子量组分中的刺激组分被鉴定为高密度脂蛋白(HDL)颗粒。HDL的脱脂消除了HDL的刺激活性。磷脂酰胆碱是HDL颗粒中的主要脂质成分,可刺激菌落扩散活性。其他含磷脂酰胆碱的脂蛋白颗粒,低密度脂蛋白和极低密度脂蛋白,也表现出菌落扩散刺激活性。这些发现表明,哺乳动物血清中的白蛋白和脂蛋白颗粒可刺激金黄色葡萄球菌的菌落扩散活性。