Suppr超能文献

利用不连续 Percoll 密度梯度和差异铺板法从山羊睾丸中富集未分化的 A 型精原细胞。

Enrichment of undifferentiated type a spermatogonia from goat testis using discontinuous percoll density gradient and differential plating.

作者信息

Heidari Banafsheh, Gifani Minoo, Shirazi Abolfazl, Zarnani Amir-Hassan, Baradaran Behzad, Naderi Mohammad Mehdi, Behzadi Bahareh, Borjian-Boroujeni Sara, Sarvari Ali, Lakpour Niknam, Akhondi Mohammad Mehdi

机构信息

Reproductive Biotechnology Research Center, Avicenna Research Institute (ACECR), Tehran, Iran.

Immunology Research Center (IRC), Tabriz University of Medical Science, Tabriz, Iran.

出版信息

Avicenna J Med Biotechnol. 2014 Apr;6(2):94-103.

Abstract

BACKGROUND

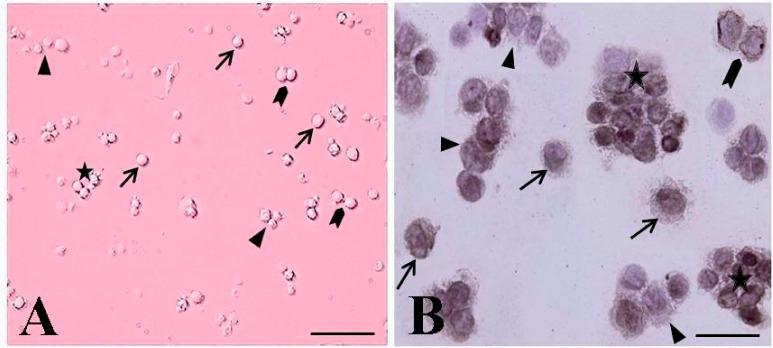
The well documented source for adult multipotent stem cells is Spermatogonial Stem Cells (SSCs). They are the foundation of spermatogenesis in the testis throughout adult life by balancing self-renewal and differentiation. The aim of this study was to assess the effect of percoll density gradient and differential plating on enrichment of undifferentiated type A spermatogonia in dissociated cellular suspension of goat testes. Additionally, we evaluated the separated fractions of the gradients in percoll and samples in differential plating at different times for cell number, viability and purification rate of goat SSCs in culture.

METHODS

Testicular cells were successfully isolated from one month old goat testis using two-step enzymatic digestion and followed by two purification protocols, differential plating with different times of culture (3, 4, 5, and 6 hr) and discontinuous percoll density with different gradients (20, 28, 30, and 32%). The difference of percentage of undifferentiated SSCs (PGP9.5 positive) in each method was compared using ANOVA and comparison between the highest percentage of corresponding value between two methods was carried out by t-test using Sigma Stat (ver. 3.5).

RESULTS

The highest PGP9.5 (94.6±0.4) and the lowest c-Kit positive (25.1±0.7) in Percoll method was significantly (p ≤ 0.001) achieved in 32% percoll gradient. While the corresponding rates in differential plating method for the highest PGP9.5 positive cells (81.3±1.1) and lowest c-Kit (17.1±1.4) was achieved after 5 hr culturing (p < 0.001). The enrichment of undifferentiated type A spermatogonia using Percoll was more efficient than differential plating method (p < 0.001).

CONCLUSION

Percoll density gradient and differential plating were efficient and fast methods for enrichment of type A spermatogonial stem cells from goat testes.

摘要

背景

成人多能干细胞的一个有充分文献记载的来源是精原干细胞(SSCs)。它们通过平衡自我更新和分化,成为成年期睾丸中精子发生的基础。本研究的目的是评估Percoll密度梯度和差异贴壁法对山羊睾丸解离细胞悬液中未分化A型精原细胞富集的影响。此外,我们还评估了不同时间Percoll梯度的分离组分以及差异贴壁法中的样本,以了解培养中山羊SSCs的细胞数量、活力和纯化率。

方法

采用两步酶消化法成功从1月龄山羊睾丸中分离出睾丸细胞,随后采用两种纯化方案,即不同培养时间(3、4、5和6小时)的差异贴壁法以及不同梯度(20%、28%、30%和32%)的不连续Percoll密度法。使用方差分析比较每种方法中未分化SSCs(PGP9.5阳性)百分比的差异,并使用Sigma Stat(版本3.5)通过t检验对两种方法中相应最高百分比值进行比较。

结果

在Percoll方法中,32%的Percoll梯度显著(p≤0.001)获得了最高的PGP9.5(94.6±0.4)和最低的c-Kit阳性(25.1±0.7)。而差异贴壁法中,培养5小时后获得了最高的PGP9.5阳性细胞率(81.3±1.1)和最低的c-Kit(17.1±1.4)(p<0.001)。使用Percoll富集未分化A型精原细胞比差异贴壁法更有效(p<0.001)。

结论

Percoll密度梯度和差异贴壁法是从山羊睾丸中富集A型精原干细胞的高效快速方法。

https://cdn.ncbi.nlm.nih.gov/pmc/blobs/4d5f/4009100/751b34e9d464/AJMB-6-94-g001.jpg

文献AI研究员

20分钟写一篇综述,助力文献阅读效率提升50倍。

立即体验

用中文搜PubMed

大模型驱动的PubMed中文搜索引擎

马上搜索

文档翻译

学术文献翻译模型,支持多种主流文档格式。

立即体验