Suppr超能文献

从青春期家猫(Felis catus)中简化精原干细胞样细胞的分离和富集

Simplified isolation and enrichment of spermatogonial stem-like cells from pubertal domestic cats (Felis catus).

作者信息

Tiptanavattana Narong, Techakumphu Mongkol, Tharasanit Theerawat

机构信息

Department of Obstetrics, Gynaecology and Reproduction, Faculty of Veterinary Science, Chulalongkorn University, Bangkok 10330, Thailand.

出版信息

J Vet Med Sci. 2015 Nov;77(11):1347-53. doi: 10.1292/jvms.15-0207. Epub 2015 Jun 14.

Abstract

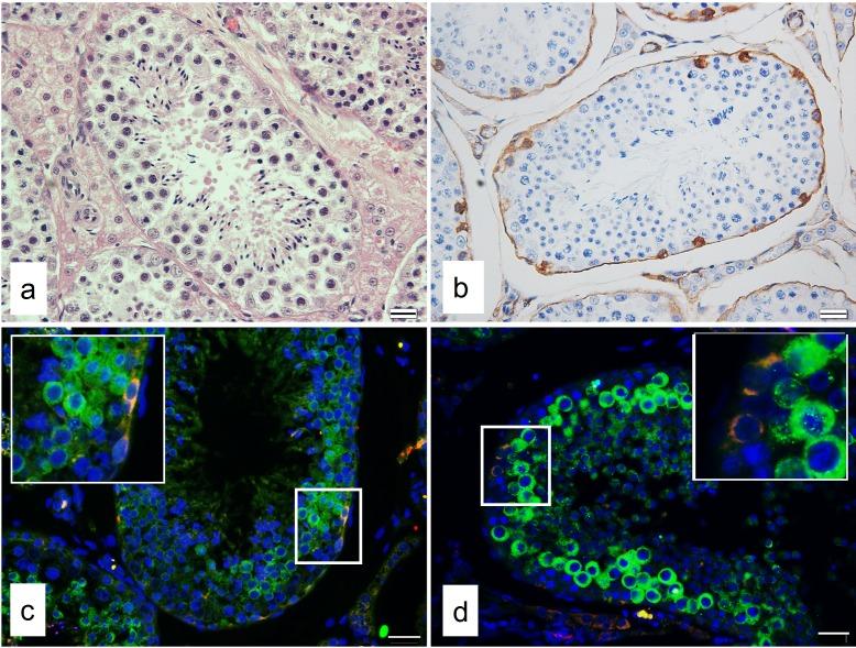
The efficiency of spermatogonial stem cell (SSC) isolation and culture from pubertal donors is currently poor primarily, because of contamination with other testicular cells. This study aimed to purify SSC-like cells using different extracellular matrixes and a discontinuous gradient density. In experiment 1, testes (n=6) were analyzed for histology and SSC-related protein expressions (laminin, SSEA-4, DDX-4 and GFRα-1). After enzymatic digestion, the cell suspension was plated onto either a laminin- or gelatin-coated dish. The number of SSC-like cells was determined at 15, 30 and 60 min of culture (experiment 2). Experiment 3 was performed to test whether or not the additional step of Percoll gradient density centrifugation could really improve purification of SSC-like cells. Testicular histology revealed complete spermatogenesis with laminin expression essentially at the basal lamina of the seminiferous tubules. SSEA-4 and GFRα-1 co-localized with DDX-4 in the spermatogonia. The relative percentage of SSC-like cells, as determined by cells expressing SSEA-4 (59.42 ± 2.18%) and GFRα-1 (42.70 ± 1.28%), revealed that the highest SSC-like cell purity was obtained with the 15-min laminin-coated dish compared with other incubation times and gelatin treatment (P<0.05). Percoll treatment prior to laminin selection (15 min) significantly improved SSC-like cell recovery (91.33 ± 0.14%, P<0.001) and purity (83.82 ± 2.05% for SSEA-4 and 64.39 ± 1.51% for GFRα-1, P<0.05). These attached cells demonstrated a typical SSC-like cell morphology and also expressed POU5F1, RET and ZBTB16 mRNA. In conclusion, double enrichment with Percoll gradient density centrifugation and laminin plating highly enriched the SSC-like cells population.

摘要

目前,从青春期供体中分离和培养精原干细胞(SSC)的效率很低,主要原因是受到其他睾丸细胞的污染。本研究旨在利用不同的细胞外基质和不连续梯度密度来纯化类SSC细胞。在实验1中,对6个睾丸进行组织学分析以及与SSC相关的蛋白表达(层粘连蛋白、阶段特异性胚胎抗原-4(SSEA-4)、DEAD框螺旋酶4(DDX-4)和胶质细胞源性神经营养因子受体α-1(GFRα-1))分析。酶消化后,将细胞悬液接种到包被有层粘连蛋白或明胶的培养皿上。在培养15、30和60分钟时测定类SSC细胞的数量(实验2)。进行实验3以测试Percoll梯度密度离心这一额外步骤是否真的能提高类SSC细胞的纯化效果。睾丸组织学显示生精过程完整,层粘连蛋白表达主要位于生精小管的基膜。SSEA-4和GFRα-1与DDX-4在精原细胞中共定位。通过表达SSEA-4的细胞(59.42±2.18%)和表达GFRα-1的细胞(42.70±1.28%)确定的类SSC细胞的相对百分比显示,与其他孵育时间和明胶处理相比,在包被有层粘连蛋白的培养皿中培养15分钟时获得的类SSC细胞纯度最高(P<0.05)。在选择层粘连蛋白(15分钟)之前进行Percoll处理显著提高了类SSC细胞的回收率(91.33±0.14%,P<0.001)和纯度(SSEA-4为83.82±2.05%,GFRα-1为64.39±1.51%,P<0.05)。这些贴壁细胞表现出典型的类SSC细胞形态,并且还表达了八聚体结合转录因子5(POU5F1)、酪氨酸激酶受体(RET)和锌指蛋白16(ZBTB16)的mRNA。总之,通过Percoll梯度密度离心和层粘连蛋白包被培养进行双重富集,可高度富集类SSC细胞群体。

https://cdn.ncbi.nlm.nih.gov/pmc/blobs/a78f/4667649/70034d0da6f2/jvms-77-1347-g001.jpg

文献AI研究员

20分钟写一篇综述,助力文献阅读效率提升50倍。

立即体验

用中文搜PubMed

大模型驱动的PubMed中文搜索引擎

马上搜索

文档翻译

学术文献翻译模型,支持多种主流文档格式。

立即体验