Suppr超能文献

一例仅累及眼睑的复发性血管肉瘤,前额原发性病变未复发。

A Recurrent Angiosarcoma Isolated to the Eyelid without the Recurrence on the Primary Lesion of the Forehead.

作者信息

Kim Jung Eun, Kim Byung Jik, Kang Hoon

机构信息

Department of Dermatology, School of Medicine, The Catholic University of Korea, Seoul, Korea.

出版信息

Ann Dermatol. 2014 Apr;26(2):231-5. doi: 10.5021/ad.2014.26.2.231. Epub 2014 Apr 30.

Abstract

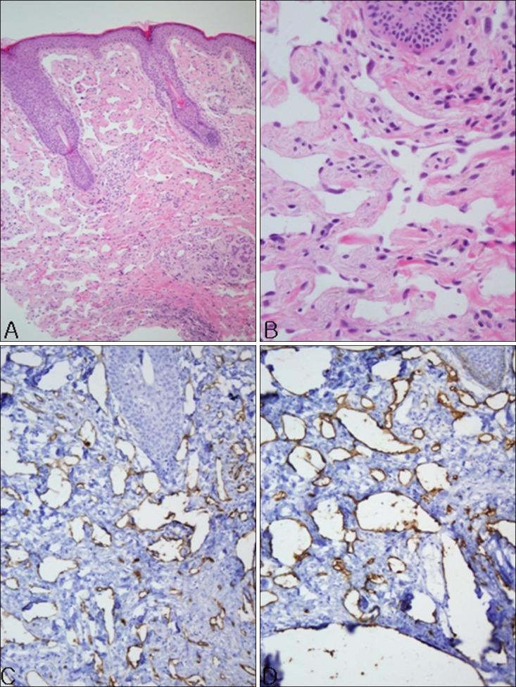
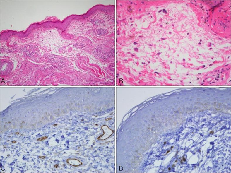
Angiosarcoma is a highly malignant vascular tumor of endothelial origin. Initially, a cutaneous manifestation presents as a singular or multifocal bruise-like patches on the skin, most frequently on the face, the scalp or the neck regions. On progression, the lesions become violaceous, and ill-defined spongy nodular tumors appear. Our patient was a 71-year-old man with a previous history of angiosarcoma on the right forehead and was treated with an excision and local radiation 3 years ago. Several months after the treatment, a dark brownish to violaceous patch with edema arose from the right upper eyelid and spread out to the lower eyelid. Clinically, an ecchymosis caused by trauma or other hemangioma was suspected more than a recurrent angiosarcoma. Histopathologic examinations including immunohistochemical studies were consistent with cutaneous angiosarcoma. Herein, we report a rare case of a recurrent isolated angiosarcoma without the recurrence of a primary lesion.

摘要

血管肉瘤是一种起源于内皮细胞的高度恶性血管肿瘤。起初,皮肤表现为单个或多灶性类似瘀伤的斑块,最常见于面部、头皮或颈部区域。病情进展时,病变变为紫红色,出现边界不清的海绵状结节状肿瘤。我们的患者是一名71岁男性,既往有右前额血管肉瘤病史,3年前接受了切除和局部放疗。治疗数月后,右上眼睑出现一个深褐色至紫红色的斑块并伴有水肿,且蔓延至下眼睑。临床上,怀疑是外伤或其他血管瘤引起的瘀斑,而非血管肉瘤复发。包括免疫组织化学研究在内的组织病理学检查结果与皮肤血管肉瘤相符。在此,我们报告一例罕见的孤立性复发性血管肉瘤病例,原发灶未复发。

https://cdn.ncbi.nlm.nih.gov/pmc/blobs/9036/4037677/b9472d701fa6/ad-26-231-g001.jpg

文献AI研究员

20分钟写一篇综述,助力文献阅读效率提升50倍。

立即体验

用中文搜PubMed

大模型驱动的PubMed中文搜索引擎

马上搜索

文档翻译

学术文献翻译模型,支持多种主流文档格式。

立即体验