Suppr超能文献

一例妊娠期巨大腹膜后脂肪肉瘤病例。

A case of huge retroperitoneal liposarcoma in pregnancy.

作者信息

Oh Sang Eun, Kim Hyun Joo, Choi Suk-Joo, Oh Soo-Young, Roh Cheong-Rae, Kim Jong-Hwa

机构信息

Department of Obstetrics and Gynecology, Samsung Medical Center, Sungkyunkwan University School of Medicine, Seoul, Korea.

出版信息

Obstet Gynecol Sci. 2014 May;57(3):236-9. doi: 10.5468/ogs.2014.57.3.236. Epub 2014 May 15.

Abstract

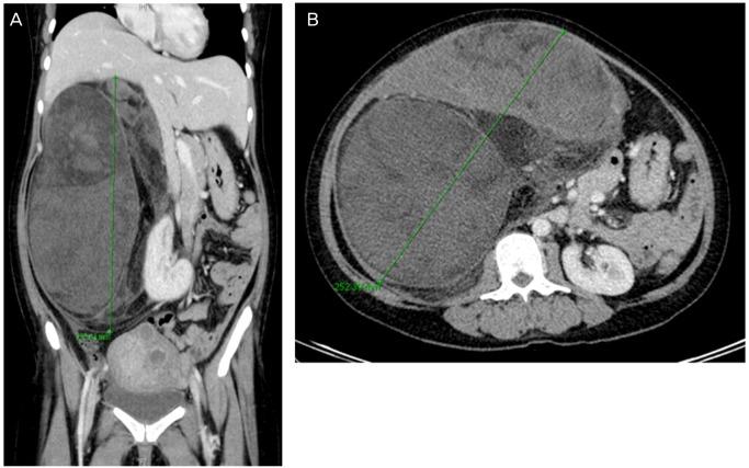
A 39-year-old woman was referred to our hospital at 28+2 week gestation. Routine obstetric examination revealed a palpable pelvic mass. Initial investigation by magnetic resonance imaging demonstrated a huge solid mass with heterogeneous enhancement that completely filled the right side of the abdomen. She underwent two surgeries: a programmed cesarean section by Department of Obstetrics and Gynecology team and a laparotomy performed by the General Surgery team. Final diagnosis was de-differentiated liposarcoma (French Federation Nationale des Centres de Lutte Contre le Cancer grade 2/3). She has been treated with radiation therapy focusing on high risk area of retroperitoneum followed by adjuvant chemotherapy (doxorubicin and ifosfamide). Below is the full case with literature review.

摘要

一名39岁女性在妊娠28 + 2周时被转诊至我院。常规产科检查发现盆腔可触及肿块。磁共振成像初步检查显示一个巨大的实性肿块,增强不均匀,完全占据了腹部右侧。她接受了两次手术:妇产科团队进行的计划性剖宫产以及普通外科团队进行的剖腹手术。最终诊断为去分化脂肪肉瘤(法国国立癌症中心联合会2/3级)。她接受了针对腹膜后高危区域的放射治疗,随后进行辅助化疗(多柔比星和异环磷酰胺)。以下是完整病例及文献综述。

https://cdn.ncbi.nlm.nih.gov/pmc/blobs/a5ee/4038692/79720d04ad30/ogs-57-236-g001.jpg

文献AI研究员

20分钟写一篇综述,助力文献阅读效率提升50倍。

立即体验

用中文搜PubMed

大模型驱动的PubMed中文搜索引擎

马上搜索

文档翻译

学术文献翻译模型,支持多种主流文档格式。

立即体验