Suppr超能文献

病例报告及文献综述:术前放疗后对初始不可切除的巨大腹膜后脂肪肉瘤进行转化手术。

Case report and literature review: Conversion surgery for initially unresectable huge retroperitoneal liposarcoma after preoperative radiotherapy.

作者信息

Cheng Sarah Hsin, Huang Yen-Shuo, Lee Hsin-Hua, Yen Heng-Hsuan, Jhong Ying-Pei, Chao Tzu-Yuan

机构信息

School of Medicine, College of Medicine, Kaohsiung Medical University, Kaohsiung, Taiwan.

Department of Pathology, Kaohsiung Medical University Hospital, Kaohsiung Medical University, Kaohsiung, Taiwan.

出版信息

Front Oncol. 2023 Jan 6;12:1096411. doi: 10.3389/fonc.2022.1096411. eCollection 2022.

Abstract

BACKGROUND

Retroperitoneal liposarcoma (RPLS) is a rare malignancy that is notorious for recurrence. Surgical resection with clean margin is the current treatment of choice. However, owing to the large retroperitoneal space, RPLSs often grow to significant sizes before being diagnosed. Neoadjuvant and adjuvant therapies have potentials to improve long term treatment outcome.

CASE PRESENTATION

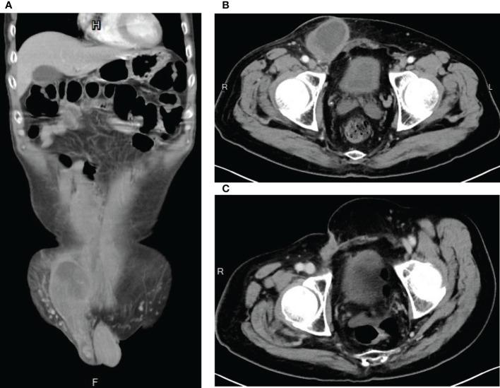
A 55-year-old Han Chinese male presented to the general surgery department with a one-year history of abdominal fullness and a one-week history of palpable right inguinal mass. At first, he was diagnosed with incarcerated inguinal hernia. However, abdominal computer tomography (CT) and biopsy confirmed his final diagnosis to be retroperitoneal well-differentiated liposarcoma, cT2bN0M0, stage IIb. The tumor, which measured 44.5cm in maximum diameter, was too large for primary surgical resection. Neoadjuvant radiotherapy with 70 Gy in 35 fractions was delivered to the tumor, which shrunk the target volume from 6300 cc to 4800 cc, as observed in the middle of the radiotherapy course. The right testicular mass also received 70Gy/35Fx. Conversion surgery was performed after radiotherapy. Unfortunately, due to residual tumor, adjuvant chemotherapy consisting of AIM (ifosfamide, Mesna, and doxorubicin) and MAID (Mesna, doxorubincin, ifosfamide, and dacarbazine) regimens were administered sequentially. Afterward, debulking surgery was conducted, plus another 18 cycles of ifosfamide monotherapy when residual tumor was still seen on CT. Since the completion of ifosfamide chemotherapy, the patient has been cancer free with no evidence of tumor recurrence for more than 26 months.

CONCLUSION

Despite conflicting evidence in the literature, our case supports the use of high dose neoadjuvant radiotherapy and adjuvant chemotherapy in treating large, unresectable RPLSs. It also highlights the importance of using individualized, multidisciplinary approach in achieving cure for large, unresectable rare tumors.

摘要

背景

腹膜后脂肪肉瘤(RPLS)是一种罕见的恶性肿瘤,以易复发而闻名。手术切除且切缘阴性是目前的首选治疗方法。然而,由于腹膜后间隙较大,RPLS在被诊断之前往往已生长到较大尺寸。新辅助治疗和辅助治疗有可能改善长期治疗效果。

病例介绍

一名55岁的汉族男性因腹部胀满1年、右腹股沟可触及肿块1周就诊于普通外科。起初,他被诊断为嵌顿性腹股沟疝。然而,腹部计算机断层扫描(CT)和活检最终确诊为腹膜后高分化脂肪肉瘤,cT2bN0M0,IIb期。肿瘤最大直径为44.5cm,太大无法进行一期手术切除。对肿瘤进行了新辅助放疗,分35次给予70Gy,在放疗疗程中期观察到靶体积从6300cc缩小至4800cc。右侧睾丸肿块也接受了70Gy/35次分割的放疗。放疗后进行了转化手术。不幸的是,由于残留肿瘤,先后给予了由AIM(异环磷酰胺、美司钠和阿霉素)和MAID(美司钠、阿霉素、异环磷酰胺和达卡巴嗪)方案组成的辅助化疗。之后,进行了减瘤手术,当CT上仍可见残留肿瘤时,又给予了18个周期的异环磷酰胺单药治疗。自异环磷酰胺化疗完成以来,患者已无癌生存超过26个月,无肿瘤复发迹象。

结论

尽管文献中有相互矛盾的证据,但我们的病例支持在治疗巨大、不可切除的RPLS时使用高剂量新辅助放疗和辅助化疗。它还强调了采用个体化、多学科方法治愈巨大、不可切除的罕见肿瘤的重要性。

https://cdn.ncbi.nlm.nih.gov/pmc/blobs/3d61/9852908/d4f7821cfa7b/fonc-12-1096411-g001.jpg

文献AI研究员

20分钟写一篇综述,助力文献阅读效率提升50倍。

立即体验

用中文搜PubMed

大模型驱动的PubMed中文搜索引擎

马上搜索

文档翻译

学术文献翻译模型,支持多种主流文档格式。

立即体验