Suppr超能文献

小剂量四氯化碳诱导肝纤维化的快餐饮食——一种新型动物模型

Fast food diet with CCl4 micro-dose induced hepatic-fibrosis--a novel animal model.

作者信息

Chheda Tarak K, Shivakumar Pratibha, Sadasivan Satish Kumar, Chanderasekharan Harish, Moolemath Yogananda, Oommen Anup M, Madanahalli Jagannath R, Marikunte Venkataranganna V

机构信息

Preclinical Development, Connexios Life Sciences Pvt Ltd,, Bangalore, India.

出版信息

BMC Gastroenterol. 2014 May 10;14:89. doi: 10.1186/1471-230X-14-89.

Abstract

BACKGROUND

Non-alcoholic fatty liver disease (NAFLD) is defined as a spectrum of conditions ranging from hepatocellular steatosis to steatohepatitis and fibrosis, progressing to cirrhosis, which occur in the absence of excessive alcohol use. Several animal models capture aspects of NAFLD but are limited either in their representation of the disease stages or use for development of therapeutics due to the extended periods of time required to develop full histological features.

METHODS

Here, we report the development of a novel rat model for NAFLD that addresses some of these limitations. We used a fast food diet (FFD) and a CCl4 micro dose (0.5 ml/kg B.wt) for 8 weeks in Wistar rats. Serological analyses, gene expression profiling and liver histology studies were conducted to investigate the development of steatosis, steatohepatitis and fibrosis in the FFD-CCl4 model when compared to the individual effects of a FFD or a micro dose of CCl4 in rats.

RESULTS

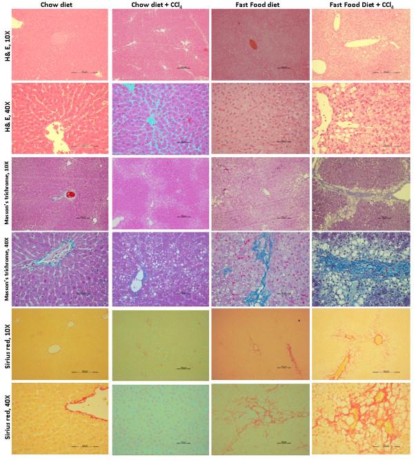
The serum biochemical profile of the FFD-CCl4 model showed an increase in liver injury and fibrosis. This was also accompanied by a significant increase in liver triglycerides (TG), inflammation and oxidative stress. Importantly, we observed extensive fibrosis confirmed by: i) increased gene expression of fibrosis markers and, ii) moderate to severe collagen deposition seen as perisinusoidal and bridging fibrosis using H&E, Trichome and Sirius Red staining.

CONCLUSIONS

In summary, we find that the FFD-CCl4 rat model developed NAFLD histological features including, steatosis, inflammation and fibrosis in 8 weeks showing promise as a model that can be used to develop NAFLD therapeutics and liver anti-fibrotics.

摘要

背景

非酒精性脂肪性肝病(NAFLD)被定义为一系列病症,范围从肝细胞脂肪变性到脂肪性肝炎和纤维化,进而发展为肝硬化,这些病症发生在无过量饮酒的情况下。几种动物模型能够体现NAFLD的某些方面,但由于形成完整组织学特征所需时间较长,它们在疾病阶段的代表性或用于治疗药物开发方面存在局限性。

方法

在此,我们报告一种新型NAFLD大鼠模型的构建,该模型解决了其中一些局限性。我们在Wistar大鼠中使用快餐饮食(FFD)和微量四氯化碳(0.5 ml/kg体重),持续8周。进行血清学分析、基因表达谱分析和肝脏组织学研究,以调查与FFD或微量四氯化碳对大鼠的单独作用相比,FFD - CCl4模型中脂肪变性、脂肪性肝炎和纤维化的发展情况。

结果

FFD - CCl4模型的血清生化指标显示肝损伤和纤维化增加。这还伴随着肝脏甘油三酯(TG)、炎症和氧化应激的显著增加。重要的是,我们观察到广泛的纤维化,这通过以下方式得到证实:i)纤维化标志物的基因表达增加,以及ii)使用苏木精 - 伊红(H&E)、三色染色和天狼星红染色观察到的中度至重度胶原沉积,表现为窦周纤维化和桥接纤维化。

结论

总之,我们发现FFD - CCl4大鼠模型在8周内形成了NAFLD的组织学特征,包括脂肪变性、炎症和纤维化,有望成为用于开发NAFLD治疗药物和肝脏抗纤维化药物的模型。

https://cdn.ncbi.nlm.nih.gov/pmc/blobs/32e7/4036109/b77e04729fd0/1471-230X-14-89-1.jpg

文献AI研究员

20分钟写一篇综述,助力文献阅读效率提升50倍。

立即体验

用中文搜PubMed

大模型驱动的PubMed中文搜索引擎

马上搜索

文档翻译

学术文献翻译模型,支持多种主流文档格式。

立即体验