Suppr超能文献

慢性不可预测轻度应激联合高脂肪饮食可加重大鼠动脉粥样硬化。

Chronic unpredictable mild stress combined with a high-fat diets aggravates atherosclerosis in rats.

机构信息

School of Chinese Herb Medicine, Guangzhou University of Chinese Medicine, Guangzhou Higher Education Mega Center, 232 Waihuandong Road, Guangzhou 510006, China.

出版信息

Lipids Health Dis. 2014 May 10;13:77. doi: 10.1186/1476-511X-13-77.

Abstract

BACKGROUND

Depression and high-fat diet are both known as independent risk factors for atherosclerosis and other cardiovascular diseases, suggesting the interaction of psychological and physiological factors in the development of these diseases. The liver is a crucial organ that facilitate lipid metabolism especially in reverse cholesterol transport (RCT), while according to the theory of Traditional Chinese Medicine, depression as a kind of psychological stress has an influence on hepatic function. So there seem to be some links between depression and lipid metabolic disorders.

METHODS

To investigate these links, we separately treated rats with chronic unpredictable mild stress (CMS) and/or a high-fat diet (HD) to evaluate the development of atherosclerosis and the expression of hepatic ABCG8, ABCG5, SR-BI, CYP7A1, LXRα, and LCAT which were associated with reverse cholesterol transport.

RESULTS

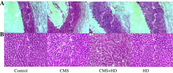
This study provided evidence that high-fat diet greatly decreased these genes expression related to RCT while chronic stress alone tended to promote RCT. Chronic unpredictable mild stress combined with a high-fat diet attenuated RCT and aggravated atherogenesis.

CONCLUSIONS

These observations suggested that chronic psychological stress alone is virtually propitious to lipid metabolism, however when under a condition of high-fat diet, it deteriorated atherosclerotic plague and did harm to RCT.

摘要

背景

抑郁症和高脂肪饮食都是已知的动脉粥样硬化和其他心血管疾病的独立危险因素,这表明心理和生理因素在这些疾病的发展中相互作用。肝脏是一个重要的器官,促进脂质代谢,特别是在胆固醇逆转运(RCT)中,而根据中医理论,抑郁症作为一种心理压力,对肝功能有影响。因此,抑郁症和脂质代谢紊乱之间似乎存在一些联系。

方法

为了研究这些联系,我们分别用慢性不可预测轻度应激(CMS)和/或高脂肪饮食(HD)处理大鼠,以评估动脉粥样硬化的发展和与胆固醇逆转运相关的肝 ABCG8、ABCG5、SR-BI、CYP7A1、LXRα 和 LCAT 的表达。

结果

本研究提供的证据表明,高脂肪饮食大大降低了与 RCT 相关的这些基因的表达,而单独的慢性应激则倾向于促进 RCT。慢性不可预测轻度应激联合高脂肪饮食减弱了 RCT,并加重了动脉粥样硬化形成。

结论

这些观察结果表明,单独的慢性心理应激实际上有利于脂质代谢,但是在高脂肪饮食的情况下,它会恶化动脉粥样硬化斑块,对 RCT 造成损害。

https://cdn.ncbi.nlm.nih.gov/pmc/blobs/9286/4026112/b72469147968/1476-511X-13-77-3.jpg

文献AI研究员

20分钟写一篇综述,助力文献阅读效率提升50倍。

立即体验

用中文搜PubMed

大模型驱动的PubMed中文搜索引擎

马上搜索

文档翻译

学术文献翻译模型,支持多种主流文档格式。

立即体验