Suppr超能文献

小双链RNA用于肝细胞癌的免疫治疗

Immunotherapy of hepatocellular carcinoma with small double-stranded RNA.

作者信息

Kabilova Tatyana O, Kovtonyuk Larisa V, Zonov Evgeniy V, Ryabchikova Elena I, Popova Nelly A, Nikolin Valeriy P, Kaledin Vasiliy I, Zenkova Marina A, Vlassov Valentin V, Chernolovskaya Elena L

机构信息

Institute of Chemical Biology and Fundamental Medicine SB RAS, 8, Lavrentiev Avenue, Novosibirsk 630090, Russia.

出版信息

BMC Cancer. 2014 May 18;14:338. doi: 10.1186/1471-2407-14-338.

Abstract

BACKGROUND

Hepatocellular carcinoma (HCC) is one of the most common malignancies worldwide with limited therapeutic options. Since HCC has been shown to be immunogenic, immunotherapy is considered a promising therapeutic approach. Small interfering RNAs (siRNAs), depending on their structure and sequence, can trigger the innate immune system, which can potentially enhance the adaptive anticancer immune response in the tumor-bearing subjects. Immunostimulatory properties of nucleic acids can be applied to develop adjuvants for HCC treatment.

METHODS

The transplantable HCC G-29 tumor in male CBA/LacSto (CBA) mice was used to study the effects of immunostimulatory RNA on tumor growth. Tumor size, metastases area in different organs of mice and mouse survival rate were analyzed. Furthermore the mouse serum IFN-α levels were measured using ELISA.

RESULTS

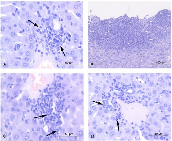
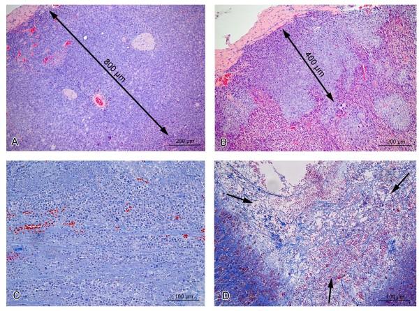
In the present study, we found that a 19-bp RNA duplex (ImmunoStimulattory RNA or isRNA) with 3-nt overhangs at the 3'-ends of specific sequence displays immunostimulatory, antitumor, and antimetastatic activities in mice bearing HCC G-29. Our results demonstrate that isRNA strongly increases the level of interferon-α (IFN-α) by up to 25-fold relative to the level in mice injected with Lipofectamine alone (Mock), and to a lesser extent increases the level of proinflammatory cytokine interleukin-6 (IL-6) (by up to 5.5-fold relative to the Mock level), in mice blood serum. We showed that isRNA reliably (P < 0.05) inhibits primary tumor growth in mice compared to the mock group. Furthermore, injections of isRNA significantly enhanced necrotic processes in the center of the primary tumor, and decreased by twofold the width of the undifferentiated peripheral zone and the number of mitotic cells in this zone. The results showed that isRNA efficiently reduces the area of metastases in the liver, kidneys, and heart of CBA/LacSto mice with HCC.

CONCLUSIONS

The obtained results clearly demonstrate immunostimulatory and antimetastatic properties of the isRNAs in mice with HCC. Consequently, this short double-stranded RNA can be considered as a potential adjuvant for the therapy of HCC.

摘要

背景

肝细胞癌(HCC)是全球最常见的恶性肿瘤之一,治疗选择有限。由于已证明HCC具有免疫原性,免疫疗法被认为是一种有前景的治疗方法。小干扰RNA(siRNA)根据其结构和序列,可触发先天免疫系统,这有可能增强荷瘤受试者的适应性抗癌免疫反应。核酸的免疫刺激特性可用于开发HCC治疗的佐剂。

方法

使用雄性CBA/LacSto(CBA)小鼠体内可移植的HCC G-29肿瘤来研究免疫刺激RNA对肿瘤生长的影响。分析了肿瘤大小、小鼠不同器官的转移面积和小鼠存活率。此外,使用酶联免疫吸附测定法测量小鼠血清IFN-α水平。

结果

在本研究中,我们发现一种19个碱基对的RNA双链体(免疫刺激RNA或isRNA),在特定序列的3'端带有3个核苷酸的突出端,在荷HCC G-29的小鼠中表现出免疫刺激、抗肿瘤和抗转移活性。我们的结果表明,与单独注射脂质体(Mock)的小鼠相比,isRNA可使干扰素-α(IFN-α)水平强烈升高至25倍,并且在小鼠血清中,在较小程度上使促炎细胞因子白细胞介素-6(IL-6)水平升高(相对于Mock水平高达5.5倍)。我们表明,与Mock组相比,isRNA可靠地(P<0.05)抑制小鼠原发性肿瘤生长。此外,注射isRNA可显著增强原发性肿瘤中心的坏死过程,并使未分化外周区的宽度和该区有丝分裂细胞的数量减少两倍。结果表明,isRNA有效减少了CBA/LacSto HCC小鼠肝脏、肾脏和心脏中的转移面积。

结论

所得结果清楚地证明了isRNA在HCC小鼠中的免疫刺激和抗转移特性。因此,这种短双链RNA可被视为HCC治疗的潜在佐剂。

https://cdn.ncbi.nlm.nih.gov/pmc/blobs/be4f/4038722/f0e9faf84e8c/1471-2407-14-338-1.jpg

文献AI研究员

20分钟写一篇综述,助力文献阅读效率提升50倍。

立即体验

用中文搜PubMed

大模型驱动的PubMed中文搜索引擎

马上搜索

文档翻译

学术文献翻译模型,支持多种主流文档格式。

立即体验