Suppr超能文献

腹壁成形术后创伤性右侧膈疝的延迟表现

Delayed presentation of traumatic right-sided diaphragmatic hernia after abdominoplasty.

作者信息

Jadlowiec Caroline C, Sakorafas Lois U

机构信息

University of Connecticut Integrated General Surgery Residency Program, Farmington, CT 06030, USA ; Department of Surgery, Hartford Hospital, Trauma and Critical Care, Hartford, CT 06102, USA.

出版信息

Case Rep Surg. 2014;2014:949531. doi: 10.1155/2014/949531. Epub 2014 May 8.

Abstract

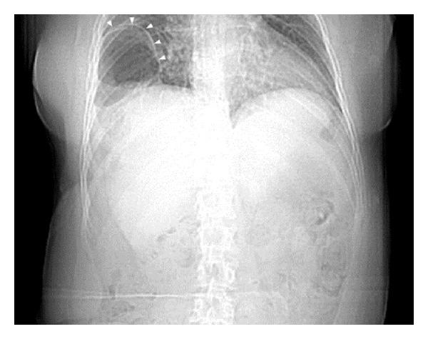
Traumatic diaphragmatic hernias are rare and challenging to diagnose. Following trauma, diagnosis may occur immediately or in a delayed fashion. It is believed that left traumatic diaphragmatic hernias are more common as a result of the protective right-sided anatomic lie of the liver. If unrecognized, traumatic diaphragmatic injuries are subject to enlarge over time as a result of the normal pressure changes observed between the thoracic and abdominal cavities. Additionally, abrupt changes to the pressure gradients, such as those which occur with positive pressure ventilation or surgical manipulation of the abdominal wall, can act as a nidus for making an asymptomatic hernia symptomatic. We report our experience with a delayed traumatic right-sided diaphragmatic hernia presenting with large bowel incarceration two months after abdominoplasty. In our review of the literature, we were unable to find any reports of delayed presentation of a traumatic right-sided diaphragmatic hernia occurring acutely following abdominoplasty.

摘要

创伤性膈疝较为罕见,诊断颇具挑战性。创伤后,诊断可能立即出现,也可能延迟出现。据信,由于肝脏位于右侧的解剖位置具有保护作用,左侧创伤性膈疝更为常见。若未被识别,创伤性膈肌损伤会因胸腔和腹腔之间正常的压力变化而随时间扩大。此外,压力梯度的突然变化,如正压通气或腹壁手术操作时发生的变化,可促使无症状疝出现症状。我们报告了一例在腹壁成形术后两个月出现大肠嵌顿的延迟性创伤性右侧膈疝的病例。在我们查阅文献时,未发现有任何关于腹壁成形术后急性出现延迟性创伤性右侧膈疝的报告。

https://cdn.ncbi.nlm.nih.gov/pmc/blobs/853f/4034723/4ff04a82502f/CRIS2014-949531.001.jpg

文献AI研究员

20分钟写一篇综述,助力文献阅读效率提升50倍。

立即体验

用中文搜PubMed

大模型驱动的PubMed中文搜索引擎

马上搜索

文档翻译

学术文献翻译模型,支持多种主流文档格式。

立即体验