Suppr超能文献

胆碱能系统在大鼠肝脏和回肠辐射诱导损伤中的作用研究。

Investigation into the role of the cholinergic system in radiation-induced damage in the rat liver and ileum.

作者信息

Özyurt Hazan, Özden A Sevgi, Çevik Özge, Özgen Zerrin, Cadirci Selin, Elmas Merve Açıkel, Ercan Feriha, Şener Göksel, Gören M Z

机构信息

Dr Lutfi Kirdar Kartal Training and Research Hospital, Radiation Oncology, 34865 Istanbul, Turkey.

Cumhuriyet University School of Pharmacy, Department of Biochemistry, 58140 Sivas, Turkey.

出版信息

J Radiat Res. 2014 Sep;55(5):866-75. doi: 10.1093/jrr/rru039. Epub 2014 Jun 8.

Abstract

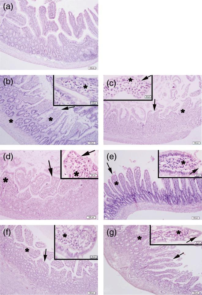
It has been previously shown that acetylcholine (ACh) may affect pro-inflammatory and anti-inflammatory cytokines. The role of the cholinergic system in radiation-induced inflammatory responses and tissue damage remains unclear. Therefore, the present study was designed to determine the radio-protective properties of the cholinergic system in the ileum and the liver of rats. Rats were exposed to 8-Gy single-fraction whole-abdominal irradiation and were then decapitated at either 36 h or 10 d post-irradiation. The rats were treated either with intraperitoneal physiological saline (1 ml/kg), physostigmine (80 µg/kg) or atropine (50 μg/kg) twice daily for 36 h or 10 d. Cardiac blood samples and liver and ileal tissues were obtained in which TNF-α, IL-1β and IL-10 levels were assayed using ELISA. In the liver and ileal homogenates, caspase-3 immunoblots were performed and myeloperoxidase (MPO) activity was analyzed. Plasma levels of IL-1β and TNF-α increased significantly following radiation (P < 0.01 and P < 0.001, respectively) as compared with non-irradiated controls, and physostigmine treatment prevented the increase in the pro-inflammatory cytokines (P < 0.01 and P < 0.001, respectively). Plasma IL-10 levels were not found to be significantly changed following radiation, whereas physostigmine augmented IL-10 levels during the late phase (P < 0.01). In the liver and ileum homogenates, IL-1β and TNF-α levels were also elevated following radiation, and this effect was inhibited by physostigmine treatment but not by atropine. Similarly, physostigmine also reversed the changes in MPO activity and in the caspase-3 levels in the liver and ileum. Histological examination revealed related changes. Physostigmine experiments suggested that ACh has a radio-protective effect not involving the muscarinic receptors.

摘要

先前的研究表明,乙酰胆碱(ACh)可能会影响促炎和抗炎细胞因子。胆碱能系统在辐射诱导的炎症反应和组织损伤中的作用仍不清楚。因此,本研究旨在确定胆碱能系统在大鼠回肠和肝脏中的辐射防护特性。将大鼠暴露于8 Gy单次全腹照射,然后在照射后36小时或10天断头处死。大鼠每天两次腹腔注射生理盐水(1 ml/kg)、毒扁豆碱(80 μg/kg)或阿托品(50 μg/kg),持续36小时或10天。采集心脏血液样本以及肝脏和回肠组织,使用酶联免疫吸附测定法(ELISA)检测其中肿瘤坏死因子-α(TNF-α)、白细胞介素-1β(IL-1β)和白细胞介素-10(IL-10)的水平。在肝脏和回肠匀浆中,进行半胱天冬酶-3免疫印迹分析并检测髓过氧化物酶(MPO)活性。与未照射的对照组相比,辐射后血浆中IL-1β和TNF-α水平显著升高(分别为P < 0.01和P < 0.001),毒扁豆碱治疗可防止促炎细胞因子的增加(分别为P < 0.01和P < 0.001)。辐射后未发现血浆IL-10水平有显著变化,而毒扁豆碱在后期可提高IL-10水平(P < 0.01)。在肝脏和回肠匀浆中,辐射后IL-1β和TNF-α水平也升高,毒扁豆碱治疗可抑制这种作用,但阿托品不能。同样,毒扁豆碱还可逆转肝脏和回肠中MPO活性及半胱天冬酶-3水平的变化。组织学检查显示了相关变化。毒扁豆碱实验表明,ACh具有辐射防护作用,且不涉及毒蕈碱受体。

https://cdn.ncbi.nlm.nih.gov/pmc/blobs/8f04/4202297/fa85ce37a249/rru03901.jpg

文献AI研究员

20分钟写一篇综述,助力文献阅读效率提升50倍。

立即体验

用中文搜PubMed

大模型驱动的PubMed中文搜索引擎

马上搜索

文档翻译

学术文献翻译模型,支持多种主流文档格式。

立即体验