• 文献检索
  • 文档翻译
  • 深度研究
  • 学术资讯
  • Suppr Zotero 插件Zotero 插件
  • 邀请有礼
  • 套餐&价格
  • 历史记录
应用&插件
Suppr Zotero 插件Zotero 插件浏览器插件Mac 客户端Windows 客户端微信小程序
定价
高级版会员购买积分包购买API积分包
服务
文献检索文档翻译深度研究API 文档MCP 服务
关于我们
关于 Suppr公司介绍联系我们用户协议隐私条款
关注我们

Suppr 超能文献

核心技术专利:CN118964589B侵权必究
粤ICP备2023148730 号-1Suppr @ 2026

文献检索

告别复杂PubMed语法,用中文像聊天一样搜索,搜遍4000万医学文献。AI智能推荐,让科研检索更轻松。

立即免费搜索

文件翻译

保留排版,准确专业,支持PDF/Word/PPT等文件格式,支持 12+语言互译。

免费翻译文档

深度研究

AI帮你快速写综述,25分钟生成高质量综述,智能提取关键信息,辅助科研写作。

立即免费体验

慢性脑脊髓静脉功能不全与多发性硬化症之间存在关联吗?——一项批判性综述。

Is there any relation between chronic cerebrospinal venous insufficiency and multiple sclerosis? - a critical review.

作者信息

Jedynak Waldemar, Cieszanowski Andrzej

机构信息

Department of Diagnostic Imaging, Hospital of the West, Jan Paul II, Grodzisk Mazowiecki, Poland.

2 Department of Radiology, Laboratory of Magnetic Resonance, Medical University of Warsaw, Warsaw, Poland.

出版信息

Pol J Radiol. 2014 Jun 2;79:131-6. doi: 10.12659/PJR.890379. eCollection 2014.

DOI:10.12659/PJR.890379
PMID:24917892
原文链接:https://pmc.ncbi.nlm.nih.gov/articles/PMC4049975/
Abstract

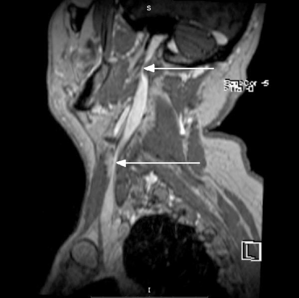
Summary Though the etiology of multiple sclerosis remains unknown, the widely accepted explanation is that it has an autoimmune inflammatory background. In 2006 Paolo Zamboni renewed the somewhat forgotten vascular theory of the pathogenesis of multiple sclerosis, proposing the new entity of 'chronic cerebrospinal venous insufficiency'. As a result of this hypothesis, Zamboni suggested an endovascular treatment for multiple sclerosis involving venoplasty of the internal jugular vein and the azygos vein. Unfortunately, several teams have tried to replicate Zamboni's results without success. In this review, we present a chronological description of the results of the studies conducted by Zamboni and the later attempts to replicate his work. The main conclusion is that, taking into account results that are currently available, we should remain cautious and routine use of this treatment in patients should not be advisable.

摘要

摘要 尽管多发性硬化症的病因尚不清楚,但被广泛接受的解释是它具有自身免疫性炎症背景。2006年,保罗·赞博尼重新提出了某种程度上被遗忘的多发性硬化症发病机制的血管理论,提出了“慢性脑脊髓静脉功能不全”这一新概念。基于这一假说,赞博尼建议对多发性硬化症采用血管内治疗,包括颈内静脉和奇静脉的血管成形术。不幸的是,几个研究团队试图重现赞博尼的结果,但均未成功。在本综述中,我们按时间顺序描述了赞博尼所开展研究的结果以及后来试图重现其研究成果的情况。主要结论是,考虑到目前可得的结果,我们应保持谨慎,不建议在患者中常规使用这种治疗方法。

https://cdn.ncbi.nlm.nih.gov/pmc/blobs/6bb3/4049975/71386bcb5dc3/poljradiol-79-131-g003.jpg
https://cdn.ncbi.nlm.nih.gov/pmc/blobs/6bb3/4049975/8245ed0a6797/poljradiol-79-131-g001.jpg
https://cdn.ncbi.nlm.nih.gov/pmc/blobs/6bb3/4049975/39ee76cfaaaf/poljradiol-79-131-g002.jpg
https://cdn.ncbi.nlm.nih.gov/pmc/blobs/6bb3/4049975/71386bcb5dc3/poljradiol-79-131-g003.jpg
https://cdn.ncbi.nlm.nih.gov/pmc/blobs/6bb3/4049975/8245ed0a6797/poljradiol-79-131-g001.jpg
https://cdn.ncbi.nlm.nih.gov/pmc/blobs/6bb3/4049975/39ee76cfaaaf/poljradiol-79-131-g002.jpg
https://cdn.ncbi.nlm.nih.gov/pmc/blobs/6bb3/4049975/71386bcb5dc3/poljradiol-79-131-g003.jpg

相似文献

1
Is there any relation between chronic cerebrospinal venous insufficiency and multiple sclerosis? - a critical review.慢性脑脊髓静脉功能不全与多发性硬化症之间存在关联吗?——一项批判性综述。
Pol J Radiol. 2014 Jun 2;79:131-6. doi: 10.12659/PJR.890379. eCollection 2014.
2
[Chronic cerebrospinal venous insufficiency and multiple sclerosis: a review and update of the subject].[慢性脑脊髓静脉功能不全与多发性硬化症:该主题的综述与更新]
Rev Neurol. 2011 Nov 1;53(9):555-60.
3
Chronic cerebrospinal venous insufficiency is not more prevalent in patients with mild multiple sclerosis: a sonographer-blinded, case-control ultrasound study.慢性脑脊髓静脉功能不全在轻度多发性硬化症患者中并不更常见:一项超声检查者盲法的病例对照超声研究。
Mult Scler. 2013 May;19(6):749-56. doi: 10.1177/1352458512459986. Epub 2012 Sep 7.
4
Cardiovascular and Interventional Radiological Society of Europe commentary on the treatment of chronic cerebrospinal venous insufficiency.欧洲心血管和介入放射学会关于慢性脑脊髓静脉功能不全治疗的评论。
Cardiovasc Intervent Radiol. 2011 Feb;34(1):1-2. doi: 10.1007/s00270-010-0050-5. Epub 2010 Dec 7.
5
What went wrong? The flawed concept of cerebrospinal venous insufficiency.出了什么问题?脑静脉功能不全这一有缺陷的概念。
J Cereb Blood Flow Metab. 2013 May;33(5):657-68. doi: 10.1038/jcbfm.2013.31. Epub 2013 Feb 27.
6
Feasibility and safety of endovascular treatment for chronic cerebrospinal venous insufficiency in patients with multiple sclerosis.慢性脑脊髓静脉功能不全的多发性硬化患者血管内治疗的可行性和安全性。
J Vasc Surg. 2013 Dec;58(6):1609-18. doi: 10.1016/j.jvs.2013.05.108. Epub 2013 Aug 12.
7
Percutaneous transluminal angioplasty for treatment of chronic cerebrospinal venous insufficiency (CCSVI) in multiple sclerosis patients.经皮腔内血管成形术治疗多发性硬化症患者的慢性脑脊髓静脉功能不全(CCSVI)
Cochrane Database Syst Rev. 2012 Dec 12;12:CD009903. doi: 10.1002/14651858.CD009903.pub2.
8
Prevalence of chronic cerebrospinal venous insufficiency in multiple sclerosis: a blinded sonographic evaluation.多发性硬化症中慢性脑脊髓静脉功能不全的患病率:一项盲法超声评估
Phlebology. 2015 Feb;30(1):52-60. doi: 10.1177/0268355513512823. Epub 2013 Nov 15.
9
Percutaneous transluminal angioplasty for treatment of chronic cerebrospinal venous insufficiency (CCSVI) in people with multiple sclerosis.经皮腔内血管成形术治疗多发性硬化症患者的慢性脑脊髓静脉功能不全(CCSVI)
Cochrane Database Syst Rev. 2019 May 31;5(5):CD009903. doi: 10.1002/14651858.CD009903.pub3.
10
Internal jugular thrombosis post venoplasty for chronic cerebrospinal venous insufficiency.
Phlebology. 2011 Sep;26(6):254-6. doi: 10.1258/phleb.2011.011052. Epub 2011 Jul 29.

引用本文的文献

1
Developmental venous anomalies in patients with multiple sclerosis: is that a coincidence or an ancillary finding?多发性硬化症患者的发育性静脉畸形:这是巧合还是辅助发现?
Neurol Sci. 2021 Jun;42(6):2453-2460. doi: 10.1007/s10072-020-04840-5. Epub 2020 Oct 21.
2
Microvascular blood flow velocities measured with a retinal function imager: inter-eye correlations in healthy controls and an exploration in multiple sclerosis.使用视网膜功能成像仪测量的微血管血流速度:健康对照者的双眼相关性及在多发性硬化症中的探索
Eye Vis (Lond). 2018 Nov 2;5:29. doi: 10.1186/s40662-018-0123-0. eCollection 2018.
3
The Central Vein: FLAIR Signal Abnormalities Associated with Developmental Venous Anomalies in Patients with Multiple Sclerosis.

本文引用的文献

1
Prevalence of chronic cerebrospinal venous insufficiency in multiple sclerosis: a blinded sonographic evaluation.多发性硬化症中慢性脑脊髓静脉功能不全的患病率:一项盲法超声评估
Phlebology. 2015 Feb;30(1):52-60. doi: 10.1177/0268355513512823. Epub 2013 Nov 15.
2
Prevalence of extracranial venous narrowing on catheter venography in people with multiple sclerosis, their siblings, and unrelated healthy controls: a blinded, case-control study.多发性硬化症患者、其兄弟姐妹和无相关健康对照者的导管静脉造影中外侧颅静脉狭窄的患病率:一项盲法、病例对照研究。
Lancet. 2014 Jan 11;383(9912):138-45. doi: 10.1016/S0140-6736(13)61747-X. Epub 2013 Oct 9.
3
中央静脉:多发性硬化患者伴发育性静脉异常的 FLAIR 信号异常。
AJNR Am J Neuroradiol. 2018 Nov;39(11):2007-2013. doi: 10.3174/ajnr.A5819. Epub 2018 Oct 18.
Observational case-control study of the prevalence of chronic cerebrospinal venous insufficiency in multiple sclerosis: results from the CoSMo study.
观察性病例对照研究多发性硬化症患者慢性脑脊髓静脉功能不全的患病率:CoSMo 研究结果。
Mult Scler. 2013 Oct;19(11):1508-17. doi: 10.1177/1352458513501231. Epub 2013 Sep 6.
4
Evidence against the involvement of chronic cerebrospinal venous abnormalities in multiple sclerosis. A case-control study.没有证据表明慢性脑脊液静脉异常与多发性硬化症有关。一项病例对照研究。
PLoS One. 2013 Aug 14;8(8):e72495. doi: 10.1371/journal.pone.0072495. eCollection 2013.
5
Chronic cerebrospinal venous insufficiency: masked multimodal imaging assessment.慢性脑脊髓静脉功能不全:隐匿性多模态影像评估。
Mult Scler. 2013 Oct;19(11):1499-507. doi: 10.1177/1352458513494493. Epub 2013 Jul 4.
6
Percutaneous transluminal angioplasty for chronic cerebrospinal venous insufficiency in multiple sclerosis: dichotomy between subjective and objective outcome scores.经皮腔内血管成形术治疗多发性硬化症慢性脑脊髓静脉功能不全:主观和客观结局评分的二分法。
Neurol Sci. 2013 Dec;34(12):2205-10. doi: 10.1007/s10072-013-1450-5. Epub 2013 May 10.
7
Chronic cerebrospinal venous insufficiency is not associated with multiple sclerosis and its severity: a blind-verified study.慢性脑脊髓静脉功能不全与多发性硬化及其严重程度无关:一项盲法验证研究。
PLoS One. 2013;8(2):e56031. doi: 10.1371/journal.pone.0056031. Epub 2013 Feb 13.
8
Chronic cerebrospinal venous insufficiency: case-control neurosonography results.慢性脑脊髓静脉功能不全:病例对照神经超声检查结果。
Ann Neurol. 2013 Jun;73(6):721-8. doi: 10.1002/ana.23839. Epub 2013 Feb 26.
9
Chronic cerebrospinal venous insufficiency in multiple sclerosis: a highly prevalent age-dependent phenomenon.多发性硬化症中的慢性脑脊髓静脉功能不全:一种高发的与年龄相关的现象。
BMC Neurol. 2013 Feb 13;13:20. doi: 10.1186/1471-2377-13-20.
10
Chronic cerebrospinal venous insufficiency in multiple sclerosis: a sonographer-blinded case-control study.多发性硬化症中的慢性脑脊髓静脉功能不全:一项超声检查人员盲法病例对照研究。
Clin Neurol Neurosurg. 2013 Aug;115(8):1394-8. doi: 10.1016/j.clineuro.2013.01.003. Epub 2013 Feb 4.