Suppr超能文献

Solitary fibrous tumor of the soft palate: A report of two cases.

作者信息

Li Xue-Ming, Yu Jian-Qun, Xu Guo-Hui

机构信息

Department of Radiology, Sichuan Cancer Hospital and Institute, Sichuan University, Chengdu, Sichuan 610041, P.R. China.

Department of Radiology, West China Hospital, Sichuan University, Chengdu, Sichuan 610041, P.R. China.

出版信息

Oncol Lett. 2014 Jun;7(6):1975-1977. doi: 10.3892/ol.2014.1977. Epub 2014 Mar 14.

Abstract

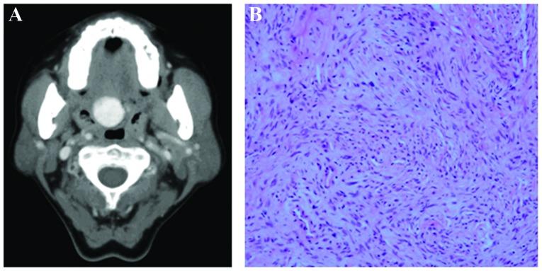
Solitary fibrous tumors (SFTs) are a unique group of mesenchymal neoplasms of fibroblastic or myofibroblastic origin and are extremely rare in the oral cavity. The present study reported two additional cases of SFTs in the soft palate, along with the computed tomography characteristics, which demonstrated well-circumscribed soft tissue lesions with marked and homogenous enhancement. Following wide resection, one of the cases showed certain malignant pathological characteristics, including infiltration of mucinous gland, hypercellularity, nuclear atypia and weak positive staining for S-100. In our experience, SFTs should be considered as a differential diagnosis when a well-circumscribed and solid mass in the soft palate is identified.

摘要
https://cdn.ncbi.nlm.nih.gov/pmc/blobs/3fd5/4049756/829372cd41d1/OL-07-06-1975-g00.jpg

相似文献

1
Solitary fibrous tumor of the soft palate: A report of two cases.
Oncol Lett. 2014 Jun;7(6):1975-1977. doi: 10.3892/ol.2014.1977. Epub 2014 Mar 14.
2
Solitary fibrous tumor of the salivary gland: A case report.
Oncol Lett. 2016 Jan;11(1):901-903. doi: 10.3892/ol.2015.3948. Epub 2015 Nov 18.
4
Malignant solitary fibrous tumor of urinary bladder: A rare clinical entity.
Arch Ital Urol Androl. 2019 Jul 2;91(2). doi: 10.4081/aiua.2019.2.135.
6
A rare case of malignant solitary fibrous tumor in prostate with review of the literature.
Diagn Pathol. 2017 Jul 7;12(1):50. doi: 10.1186/s13000-017-0640-5.
7
CT of retroperitoneal solitary fibrous tumor.
Radiol Case Rep. 2023 Apr 14;18(6):2241-2244. doi: 10.1016/j.radcr.2023.03.041. eCollection 2023 Jun.
8
10
Solitary fibrous tumor of the adrenal gland: a case report and review of the literature.
Front Surg. 2024 Jun 5;11:1363807. doi: 10.3389/fsurg.2024.1363807. eCollection 2024.

引用本文的文献

2
Solitary Fibrous Tumor of Hard Palate: A Case Report and Literature Review.
J Investig Med High Impact Case Rep. 2022 Jan-Dec;10:23247096221142275. doi: 10.1177/23247096221142275.
4
Solitary fibrous tumor of the floor of the mouth.
J Clin Exp Dent. 2017 Sep 1;9(9):e1153-e1157. doi: 10.4317/jced.53492. eCollection 2017 Sep.
6
An Unusual Clinical Presentation of Solitary Fibrous Tumor in the Oral Cavity.
Case Rep Pathol. 2017;2017:4395049. doi: 10.1155/2017/4395049. Epub 2017 Feb 23.

本文引用的文献

1
Solitary fibrous tumor of the oral cavity with a predominant leiomyomatous-like pattern: A potential diagnostic pitfall.
Pathol Res Pract. 2010 Jul 15;206(7):499-503. doi: 10.1016/j.prp.2010.01.002. Epub 2010 Feb 25.
2
Solitary fibrous tumor of the tongue: case report and literature review.
Int J Oral Maxillofac Surg. 2008 Nov;37(11):1067-9. doi: 10.1016/j.ijom.2008.07.011. Epub 2008 Sep 30.
3
Solitary fibrous tumor of the oral cavity: the need for an extensive sampling for a correct diagnosis.
J Oral Pathol Med. 2007 Oct;36(9):538-42. doi: 10.1111/j.1600-0714.2007.00568.x.
4
Solitary fibrous tumour and haemangiopericytoma: evolution of a concept.
Histopathology. 2006 Jan;48(1):63-74. doi: 10.1111/j.1365-2559.2005.02290.x.
5
The evolving classification of soft tissue tumours: an update based on the new WHO classification.
Histopathology. 2006 Jan;48(1):3-12. doi: 10.1111/j.1365-2559.2005.02284.x.
6
Solitary fibrous tumor of the buccal space.
AJNR Am J Neuroradiol. 2005 Sep;26(8):2114-6.
7
Solitary fibrous tumor of the palate: a case report and review of the literature.
J Oral Maxillofac Surg. 2004 Jul;62(7):895-7. doi: 10.1016/j.joms.2003.08.038.
9
Solitary fibrous tumour: significance of p53 and CD34 immunoreactivity in its malignant transformation.
Histopathology. 1998 May;32(5):423-32. doi: 10.1046/j.1365-2559.1998.00412.x.
10
Benign fibrous mesothelioma of the pleura: MR study and pathologic correlation.
Eur Radiol. 1996;6(4):425-8. doi: 10.1007/BF00182457.

文献AI研究员

20分钟写一篇综述,助力文献阅读效率提升50倍。

立即体验

用中文搜PubMed

大模型驱动的PubMed中文搜索引擎

马上搜索

文档翻译

学术文献翻译模型,支持多种主流文档格式。

立即体验