Suppr超能文献

癌组织中具有胸腺样分化的癌(CASTLE)中 KRAS、EGFR、PDGFR-α、KIT 和 COX-2 的状态。

KRAS, EGFR, PDGFR-α, KIT and COX-2 status in carcinoma showing thymus-like elements (CASTLE).

机构信息

Institute of Pathology, Klinikum Bayreuth, Preuschwitzerstraße 101, Bayreuth 95445, Germany.

出版信息

Diagn Pathol. 2014 Jun 16;9:116. doi: 10.1186/1746-1596-9-116.

Abstract

BACKGROUND

CASTLE (Carcinoma showing thymus-like elements) is a rare malignant neoplasm of the thyroid resembling lymphoepithelioma-like and squamous cell carcinoma of the thymus with different biological behaviour and a better prognosis than anaplastic carcinoma of the thyroid.

METHODS

We retrospectively investigated 6 cases of this very rare neoplasm in order to investigate the mutational status of KRAS, EGFR, PDGFR-α and KIT, as well as the immunohistochemical expression pattern of CD117, EGFR and COX-2, and possibly find new therapeutic targets.

RESULTS

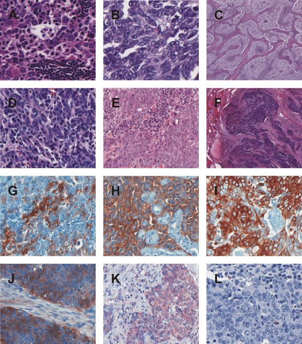
Diagnosis was confirmed by a moderate to strong expression of CD5, CD117 and CK5/6, whereas thyroglobulin, calcitonin and TTF-1 were negative in all cases. Tumors were also positive for COX-2 and in nearly all cases for EGFR. In four cases single nucleotide polymorphisms (SNPs) could be detected in exon 12 of the PDGFR-α gene (rs1873778), in three cases SNPs were found in exon 20 of the EGFR gene (rs1050171). No mutations were found in the KIT and KRAS gene.

CONCLUSIONS

All tumors showed a COX-2 expression as well as an EGFR expression except for one case and a wild-type KRAS status. No activating mutations in the EGFR, KIT and PDGFR-α gene could be detected. Our data may indicate a potential for targeted therapies, but if these therapeutic strategies are of benefit in CASTLE remains to be determined.

VIRTUAL SLIDES

The virtual slide(s) for this article can be found here: http://www.diagnosticpathology.diagnomx.eu/vs/1658499296115016.

摘要

背景

CASTLE(胸腺样癌)是一种罕见的甲状腺恶性肿瘤,类似于胸腺癌中的淋巴上皮样癌和鳞状细胞癌,但具有不同的生物学行为和比甲状腺未分化癌更好的预后。

方法

我们回顾性研究了 6 例这种非常罕见的肿瘤,以研究 KRAS、EGFR、PDGFR-α 和 KIT 的突变状态,以及 CD117、EGFR 和 COX-2 的免疫组织化学表达模式,并可能找到新的治疗靶点。

结果

通过中度至强表达 CD5、CD117 和 CK5/6 来确认诊断,而所有病例的甲状腺球蛋白、降钙素和 TTF-1 均为阴性。肿瘤还对 COX-2 呈阳性,几乎所有病例对 EGFR 均呈阳性。在 4 例中,可以在 PDGFR-α 基因的外显子 12 中检测到单核苷酸多态性(SNP)(rs1873778),在 3 例中可以在外显子 20 中检测到 EGFR 基因的 SNP(rs1050171)。在 KIT 和 KRAS 基因中未发现突变。

结论

除了 1 例外,所有肿瘤均表现出 COX-2 表达和 EGFR 表达,以及野生型 KRAS 状态。未检测到 EGFR、KIT 和 PDGFR-α 基因的激活突变。我们的数据可能表明存在靶向治疗的潜力,但这些治疗策略在 CASTLE 中是否有益仍有待确定。

虚拟幻灯片

本文的虚拟幻灯片可以在此处找到:http://www.diagnosticpathology.diagnomx.eu/vs/1658499296115016。

https://cdn.ncbi.nlm.nih.gov/pmc/blobs/fbe3/4078982/12ae740a0565/1746-1596-9-116-1.jpg

文献AI研究员

20分钟写一篇综述,助力文献阅读效率提升50倍。

立即体验

用中文搜PubMed

大模型驱动的PubMed中文搜索引擎

马上搜索

文档翻译

学术文献翻译模型,支持多种主流文档格式。

立即体验