• 文献检索
  • 文档翻译
  • 深度研究
  • 学术资讯
  • Suppr Zotero 插件Zotero 插件
  • 邀请有礼
  • 套餐&价格
  • 历史记录
应用&插件
Suppr Zotero 插件Zotero 插件浏览器插件Mac 客户端Windows 客户端微信小程序
定价
高级版会员购买积分包购买API积分包
服务
文献检索文档翻译深度研究API 文档MCP 服务
关于我们
关于 Suppr公司介绍联系我们用户协议隐私条款
关注我们

Suppr 超能文献

核心技术专利:CN118964589B侵权必究
粤ICP备2023148730 号-1Suppr @ 2026

文献检索

告别复杂PubMed语法,用中文像聊天一样搜索,搜遍4000万医学文献。AI智能推荐,让科研检索更轻松。

立即免费搜索

文件翻译

保留排版,准确专业,支持PDF/Word/PPT等文件格式,支持 12+语言互译。

免费翻译文档

深度研究

AI帮你快速写综述,25分钟生成高质量综述,智能提取关键信息,辅助科研写作。

立即免费体验

表皮生长因子受体和 K-RAS 状态在两个鳞状细胞癌队列中。

Epidermal growth factor receptor and K-RAS status in two cohorts of squamous cell carcinomas.

机构信息

Department of Hepato-Gastroenterology, Digestive Oncology Unit, Ghent University Hospital, De Pintelaan 185 1K12IE, 9000 Ghent, Belgium.

出版信息

BMC Cancer. 2010 May 11;10:189. doi: 10.1186/1471-2407-10-189.

DOI:10.1186/1471-2407-10-189
PMID:20459770
原文链接:https://pmc.ncbi.nlm.nih.gov/articles/PMC2887399/
Abstract

BACKGROUND

With the availability of effective anti-EGFR therapies for various solid malignancies, such as non-cell small lung cancer, colorectal cancer and squamous cell carcinoma of the head and neck, the knowledge of EGFR and K-RAS status becomes clinically important. The aim of this study was to analyse EGFR expression, EGFR gene copy number and EGFR and K-RAS mutations in two cohorts of squamous cell carcinomas, specifically anal canal and tonsil carcinomas.

METHODS

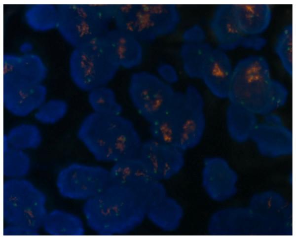
Formalin fixed, paraffin-embedded tissues from anal and tonsil carcinoma were used. EGFR protein expression and EGFR gene copy number were analysed by means of immunohistochemistry and fluorescence in situ hybridisation. The somatic status of the EGFR gene was investigated by PCR using primers specific for exons 18 through 21. For the K-RAS gene, PCR was performed using exon 2 specific primers.

RESULTS

EGFR immunoreactivity was present in 36/43 (83.7%) of anal canal and in 20/24 (83.3%) of tonsil squamous cell carcinomas. EGFR amplification was absent in anal canal tumours (0/23), but could be identified in 4 of 24 tonsil tumours.From 38 anal canal specimens, 26 specimens were successfully analysed for exon 18, 30 for exon 19, 34 for exon 20 and 30 for exon 21. No EGFR mutations were found in the investigated samples. Thirty samples were sequenced for K-RAS exon 2 and no mutation was identified. From 24 tonsil specimens, 22 were successfully analysed for exon 18 and all 24 specimens for exon 19, 20 and 21. No EGFR mutations were found. Twenty-two samples were sequenced for K-RAS exon 2 and one mutation c.53C > A was identified.

CONCLUSION

EGFR mutations were absent from squamous cell carcinoma of the anus and tonsils, but EGFR protein expression was detected in the majority of the cases. EGFR amplification was seen in tonsil but not in anal canal carcinomas. In our investigated panel, only one mutation in the K-RAS gene of a tonsil squamous cell carcinoma was identified. This indicates that EGFR and K-RAS mutation analysis is not useful as a screening test for sensitivity to anti-EGFR therapy in anal canal and tonsil squamous cell carcinoma.

摘要

背景

随着针对各种实体恶性肿瘤(如非小细胞肺癌、结直肠癌和头颈部鳞状细胞癌)的有效抗 EGFR 治疗方法的出现,EGFR 和 K-RAS 状态的知识在临床上变得非常重要。本研究的目的是分析两个队列的鳞状细胞癌(特别是肛门和扁桃体癌)中的 EGFR 表达、EGFR 基因拷贝数以及 EGFR 和 K-RAS 突变。

方法

使用来自肛门和扁桃体癌的福尔马林固定、石蜡包埋组织。通过免疫组织化学和荧光原位杂交分析 EGFR 蛋白表达和 EGFR 基因拷贝数。使用针对外显子 18 到 21 的特异性引物通过 PCR 研究 EGFR 基因的体细胞状态。对于 K-RAS 基因,使用外显子 2 特异性引物进行 PCR。

结果

36/43(83.7%)例肛门管和 20/24(83.3%)例扁桃体鳞状细胞癌存在 EGFR 免疫反应性。肛门管肿瘤中不存在 EGFR 扩增(0/23),但在 4 例扁桃体肿瘤中可以识别。在 38 例肛门管标本中,26 例成功分析了外显子 18,30 例分析了外显子 19,34 例分析了外显子 20,30 例分析了外显子 21。在所研究的样本中未发现 EGFR 突变。对 30 个样本进行了 K-RAS 外显子 2 的测序,未发现突变。在 24 个扁桃体标本中,22 个成功分析了外显子 18,所有 24 个标本都分析了外显子 19、20 和 21。未发现 EGFR 突变。对 22 个样本进行了 K-RAS 外显子 2 的测序,发现一个突变 c.53C > A。

结论

肛门和扁桃体鳞状细胞癌中不存在 EGFR 突变,但大多数病例存在 EGFR 蛋白表达。在扁桃体癌中观察到 EGFR 扩增,但在肛门管癌中未观察到。在所研究的面板中,仅在一个扁桃体鳞状细胞癌的 K-RAS 基因中发现一个突变。这表明在肛门管和扁桃体鳞状细胞癌中,EGFR 和 K-RAS 突变分析作为抗 EGFR 治疗敏感性的筛选试验并不有用。

https://cdn.ncbi.nlm.nih.gov/pmc/blobs/3c8f/2887399/eaa7223828e6/1471-2407-10-189-3.jpg
https://cdn.ncbi.nlm.nih.gov/pmc/blobs/3c8f/2887399/d6a909c3e3ea/1471-2407-10-189-1.jpg
https://cdn.ncbi.nlm.nih.gov/pmc/blobs/3c8f/2887399/39d3e8fae48a/1471-2407-10-189-2.jpg
https://cdn.ncbi.nlm.nih.gov/pmc/blobs/3c8f/2887399/eaa7223828e6/1471-2407-10-189-3.jpg
https://cdn.ncbi.nlm.nih.gov/pmc/blobs/3c8f/2887399/d6a909c3e3ea/1471-2407-10-189-1.jpg
https://cdn.ncbi.nlm.nih.gov/pmc/blobs/3c8f/2887399/39d3e8fae48a/1471-2407-10-189-2.jpg
https://cdn.ncbi.nlm.nih.gov/pmc/blobs/3c8f/2887399/eaa7223828e6/1471-2407-10-189-3.jpg

相似文献

1
Epidermal growth factor receptor and K-RAS status in two cohorts of squamous cell carcinomas.表皮生长因子受体和 K-RAS 状态在两个鳞状细胞癌队列中。
BMC Cancer. 2010 May 11;10:189. doi: 10.1186/1471-2407-10-189.
2
EGFR and K-ras gene mutation status in squamous cell anal carcinoma: a role for concurrent radiation and EGFR inhibitors?表皮生长因子受体和 K-ras 基因突变状态在鳞状细胞肛门癌中的作用:同期放化疗和表皮生长因子抑制剂的作用?
Br J Cancer. 2012 Nov 20;107(11):1864-8. doi: 10.1038/bjc.2012.479. Epub 2012 Oct 23.
3
Screening for EGFR and KRAS mutations in non-small cell lung carcinomas using DNA extraction by hydrothermal pressure coupled with PCR-based direct sequencing.采用水热压力结合基于聚合酶链式反应(PCR)的直接测序法提取DNA,对非小细胞肺癌中的表皮生长因子受体(EGFR)和 Kirsten 大鼠肉瘤病毒癌基因(KRAS)突变进行筛查。
Int J Clin Exp Pathol. 2013 Aug 15;6(9):1880-9. eCollection 2013.
4
Molecular profiles of EGFR, K-ras, c-met, and FGFR in pulmonary pleomorphic carcinoma, a rare lung malignancy.肺多形性癌的 EGFR、K-ras、c-met 和 FGFR 分子谱,一种罕见的肺部恶性肿瘤。
J Cancer Res Clin Oncol. 2011 Aug;137(8):1203-11. doi: 10.1007/s00432-011-0986-0. Epub 2011 May 28.
5
Expression of epidermal growth factor receptor in squamous cell carcinomas of the anal canal is independent of gene amplification.肛管鳞状细胞癌中表皮生长因子受体的表达与基因扩增无关。
Mod Pathol. 2006 Jul;19(7):942-9. doi: 10.1038/modpathol.3800608. Epub 2006 Apr 28.
6
[Relationship between EGFR and K-ras mutations and clinicopathological characteristics and response to erlotinib treatment in 301 Chinese patients with non-small cell lung cancer].301例中国非小细胞肺癌患者中EGFR与K-ras突变及其与临床病理特征和厄洛替尼治疗反应的关系
Zhonghua Zhong Liu Za Zhi. 2010 Sep;32(9):667-70.
7
K-ras status in squamous cell anal carcinoma (SCC): it's time for target-oriented treatment?肛管鳞状细胞癌(SCC)中的K-ras状态:是时候进行靶向治疗了吗?
Cancer Chemother Pharmacol. 2009 Dec;65(1):197-9. doi: 10.1007/s00280-009-1117-3. Epub 2009 Sep 2.
8
Alterations in epidermal growth factor receptors 1 and 2 in esophageal squamous cell carcinomas.食管鳞癌中表皮生长因子受体 1 和 2 的改变。
BMC Cancer. 2012 Dec 4;12:569. doi: 10.1186/1471-2407-12-569.
9
Comparison of EGFR and K-RAS gene status between primary tumours and corresponding metastases in NSCLC.非小细胞肺癌中原发性肿瘤与相应转移灶之间表皮生长因子受体(EGFR)和K-RAS基因状态的比较。
Br J Cancer. 2008 Sep 16;99(6):923-9. doi: 10.1038/sj.bjc.6604629.
10
p16INK4A, p53, EGFR expression and KRAS mutation status in squamous cell cancers of the anus: correlation with outcomes following chemo-radiotherapy.p16INK4A、p53、EGFR 表达和 KRAS 突变状态与肛门鳞癌放化疗后结局的相关性。
Radiother Oncol. 2013 Oct;109(1):146-51. doi: 10.1016/j.radonc.2013.08.002. Epub 2013 Sep 7.

引用本文的文献

1
Impact of K-Ras Over-expression in Laryngeal Squamous Cell Carcinoma.K-Ras 过表达对喉鳞状细胞癌的影响。
In Vivo. 2021 May-Jun;35(3):1611-1615. doi: 10.21873/invivo.12418.
2
Expression and role of EGFR, cyclin D1 and KRAS in laryngocarcinoma tissues.表皮生长因子受体(EGFR)、细胞周期蛋白D1(cyclin D1)及KRAS在喉癌组织中的表达及作用
Exp Ther Med. 2019 Jan;17(1):782-790. doi: 10.3892/etm.2018.7027. Epub 2018 Nov 28.
3
Anal Carcinoma, Version 2.2018, NCCN Clinical Practice Guidelines in Oncology.肛门癌临床实践指南 2018 年版 NCCN 肿瘤学

本文引用的文献

1
Cetuximab-based treatment of metastatic anal cancer: correlation of response with KRAS mutational status.西妥昔单抗为基础的转移性肛门癌的治疗:反应与 KRAS 基因突变状态的相关性。
Oncology. 2009;77(5):293-9. doi: 10.1159/000259615. Epub 2009 Nov 17.
2
K-ras status in squamous cell anal carcinoma (SCC): it's time for target-oriented treatment?肛管鳞状细胞癌(SCC)中的K-ras状态:是时候进行靶向治疗了吗?
Cancer Chemother Pharmacol. 2009 Dec;65(1):197-9. doi: 10.1007/s00280-009-1117-3. Epub 2009 Sep 2.
3
Growth factor receptor expression in anal squamous lesions: modifications associated with oncogenic human papillomavirus and human immunodeficiency virus.
J Natl Compr Canc Netw. 2018 Jul;16(7):852-871. doi: 10.6004/jnccn.2018.0060.
4
Systemic Therapies for Advanced Squamous Cell Anal Cancer.晚期鳞状细胞肛门癌的系统治疗。
Curr Oncol Rep. 2018 May 4;20(7):53. doi: 10.1007/s11912-018-0698-6.
5
Application of molecular targeted therapies in the treatment of head and neck squamous cell carcinoma.分子靶向治疗在头颈部鳞状细胞癌治疗中的应用。
Oncol Lett. 2018 May;15(5):7497-7505. doi: 10.3892/ol.2018.8300. Epub 2018 Mar 20.
6
Survival rate variation with different histological subtypes of poor prognostic male anal squamous cell carcinoma: a population-based study.预后不良的男性肛门鳞状细胞癌不同组织学亚型的生存率差异:一项基于人群的研究。
Oncotarget. 2017 Sep 16;8(48):84349-84359. doi: 10.18632/oncotarget.20969. eCollection 2017 Oct 13.
7
Background and Current Treatment of Squamous Cell Carcinoma of the Anus.肛管鳞状细胞癌的背景与当前治疗方法
Oncol Ther. 2016;4(2):135-172. doi: 10.1007/s40487-016-0024-0. Epub 2016 Aug 1.
8
Prevalence of EGFR Tyrosine Kinase Domain Mutations in Head and Neck Squamous Cell Carcinoma: Cohort Study and Systematic Review.头颈部鳞状细胞癌中表皮生长因子受体酪氨酸激酶结构域突变的患病率:队列研究与系统评价
In Vivo. 2017 Jan 2;31(1):23-34. doi: 10.21873/invivo.11020.
9
No evidence of NRAS mutation in squamous cell anal carcinoma (SCAC).未发现鳞状细胞肛门癌 (SCAC) 中 NRAS 突变的证据。
Sci Rep. 2016 Nov 25;6:37621. doi: 10.1038/srep37621.
10
Mutational analysis of anal cancers demonstrates frequent PIK3CA mutations associated with poor outcome after salvage abdominoperineal resection.肛管癌的突变分析表明,PIK3CA突变频繁,与挽救性腹会阴切除术后的不良预后相关。
Br J Cancer. 2016 Jun 14;114(12):1387-94. doi: 10.1038/bjc.2016.144. Epub 2016 May 24.
肛门鳞状病变中生长因子受体的表达:与致癌性人乳头瘤病毒和人类免疫缺陷病毒相关的改变
Hum Pathol. 2009 Nov;40(11):1517-27. doi: 10.1016/j.humpath.2009.05.010. Epub 2009 Aug 27.
4
Improving Response Rates to EGFR-Targeted Therapies for Head and Neck Squamous Cell Carcinoma: Candidate Predictive Biomarkers and Combination Treatment with Src Inhibitors.提高头颈部鳞状细胞癌对表皮生长因子受体靶向治疗的反应率:候选预测性生物标志物和与Src 抑制剂的联合治疗。
J Oncol. 2009;2009:896407. doi: 10.1155/2009/896407. Epub 2009 Jul 14.
5
Cancer statistics, 2009.2009年癌症统计数据。
CA Cancer J Clin. 2009 Jul-Aug;59(4):225-49. doi: 10.3322/caac.20006. Epub 2009 May 27.
6
Platinum-based chemotherapy plus cetuximab in head and neck cancer.铂类化疗联合西妥昔单抗治疗头颈癌。
N Engl J Med. 2008 Sep 11;359(11):1116-27. doi: 10.1056/NEJMoa0802656.
7
Decreased survival in EGFR gene amplified vulvar carcinoma.表皮生长因子受体(EGFR)基因扩增的外阴癌患者生存率降低。
Gynecol Oncol. 2008 Nov;111(2):289-97. doi: 10.1016/j.ygyno.2008.07.038. Epub 2008 Sep 3.
8
Expression and mutation analysis of epidermal growth factor receptor in head and neck squamous cell carcinoma.头颈部鳞状细胞癌中表皮生长因子受体的表达及突变分析
Cancer Sci. 2008 Aug;99(8):1589-94. doi: 10.1111/j.1349-7006.2008.00861.x.
9
Identification of the rare EGFR mutation p.G796S as somatic and germline mutation in white patients with squamous cell carcinoma of the head and neck.在白人头颈鳞状细胞癌患者中鉴定罕见的表皮生长因子受体(EGFR)p.G796S突变作为体细胞和生殖细胞突变。
Head Neck. 2008 Aug;30(8):1040-4. doi: 10.1002/hed.20831.
10
Head and neck cancer.头颈癌
Lancet. 2008 May 17;371(9625):1695-709. doi: 10.1016/S0140-6736(08)60728-X.