Suppr超能文献

成人蝶鞍区非典型畸胎样/横纹肌样瘤:1例报告并文献复习

Atypical teratoid/rhabdoid tumor in sellar turcica in an adult: A case report and review of the literature.

作者信息

Shitara Satoshi, Akiyama Yoshinori

机构信息

Department of Neurosurgery, Tenri Hospital, Tenri, Nara, Japan.

出版信息

Surg Neurol Int. 2014 May 23;5:75. doi: 10.4103/2152-7806.133105. eCollection 2014.

Abstract

BACKGROUND

Atypical teratoid/rhabdoid tumor (AT/RT) is a rare central nervous system tumor composed of primitive rhabdoid cells that may differentiate along neuroectodermal, mesenchymal and epithelial lineages. AT/RT in adults is rare but not completely exceptional. It generally arises from the posterior fossa of infants, but the broad majority of the reported AT/RT in adults manifested supratentorially with the exception of four cases that arose in the cerebellum and two that arose in the spinal cord.

CASE DESCRIPTION

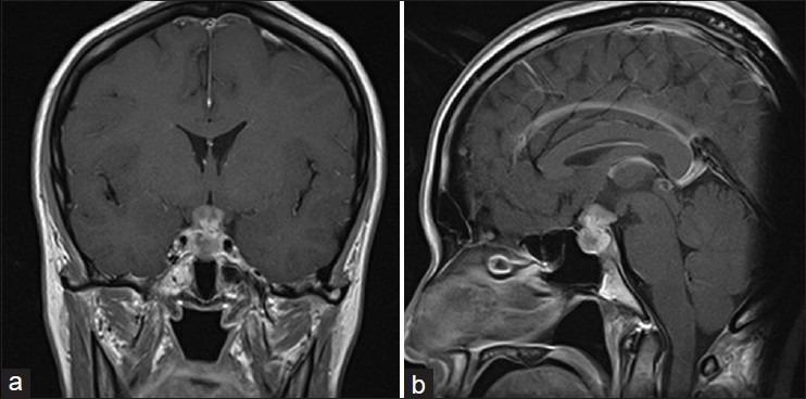
A 44-year-old female complained of visual disturbance. We performed craniotomies twice and removed partially for each time, but any malignant cells were not found in the specimens. Finally, we determined histological diagnosis from the extended lesion. She died of respiratory failure 17 months after the initial treatment.

CONCLUSION

AT/RT should be considered in the differential diagnosis of a sellar lesion in adult patients. However AT/RT is rare in adults, the appropriate immunohistochemical evaluation should be performed to diagnose this rare entity.

摘要

背景

非典型畸胎样/横纹肌样瘤(AT/RT)是一种罕见的中枢神经系统肿瘤,由原始横纹肌样细胞组成,这些细胞可能沿神经外胚层、间充质和上皮谱系分化。成人AT/RT罕见但并非完全没有。它通常起源于婴儿的后颅窝,但报告的大多数成人AT/RT发生在幕上,仅有4例起源于小脑,2例起源于脊髓。

病例描述

一名44岁女性主诉视力障碍。我们进行了两次开颅手术,每次均部分切除,但标本中未发现任何恶性细胞。最后,我们从扩大切除的病变中确定了组织学诊断。她在初始治疗17个月后死于呼吸衰竭。

结论

在成年患者鞍区病变的鉴别诊断中应考虑AT/RT。然而,成人AT/RT罕见,应进行适当的免疫组化评估以诊断这种罕见疾病。

https://cdn.ncbi.nlm.nih.gov/pmc/blobs/4a10/4061576/79495e8a8884/SNI-5-75-g002.jpg

文献检索

告别复杂PubMed语法,用中文像聊天一样搜索,搜遍4000万医学文献。AI智能推荐,让科研检索更轻松。

立即免费搜索

文件翻译

保留排版,准确专业,支持PDF/Word/PPT等文件格式,支持 12+语言互译。

免费翻译文档

深度研究

AI帮你快速写综述,25分钟生成高质量综述,智能提取关键信息,辅助科研写作。

立即免费体验