• 文献检索
  • 文档翻译
  • 深度研究
  • 学术资讯
  • Suppr Zotero 插件Zotero 插件
  • 邀请有礼
  • 套餐&价格
  • 历史记录
应用&插件
Suppr Zotero 插件Zotero 插件浏览器插件Mac 客户端Windows 客户端微信小程序
定价
高级版会员购买积分包购买API积分包
服务
文献检索文档翻译深度研究API 文档MCP 服务
关于我们
关于 Suppr公司介绍联系我们用户协议隐私条款
关注我们

Suppr 超能文献

核心技术专利:CN118964589B侵权必究
粤ICP备2023148730 号-1Suppr @ 2026

文献检索

告别复杂PubMed语法,用中文像聊天一样搜索,搜遍4000万医学文献。AI智能推荐,让科研检索更轻松。

立即免费搜索

文件翻译

保留排版,准确专业,支持PDF/Word/PPT等文件格式,支持 12+语言互译。

免费翻译文档

深度研究

AI帮你快速写综述,25分钟生成高质量综述,智能提取关键信息,辅助科研写作。

立即免费体验

上皮性卵巢癌的五级肿瘤减灭术

Quinary debulking for epithelial ovarian cancer.

作者信息

Edwards James M, Lowery William Jeffrey, Secord Angeles Alvarez

机构信息

Duke University Medical Center, Durham, USA.

出版信息

J Surg Case Rep. 2012 Jul 1;2012(7):7. doi: 10.1093/jscr/2012.7.7.

DOI:10.1093/jscr/2012.7.7
PMID:24960732
原文链接:https://pmc.ncbi.nlm.nih.gov/articles/PMC3649565/
Abstract

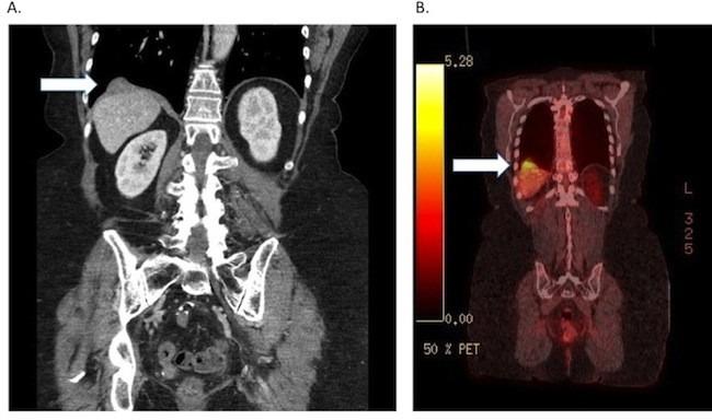
We report a case of optimal quinary debulking for recurrent papillary serous carcinoma of the ovary involving the liver parenchyma through the full thickness of the diaphragm into the lung parenchyma. Multiple debulking procedures for ovarian cancer are controversial, especially when there is extensive upper abdominal or thoracic disease. Selection criteria for such extensive surgery include: good functional status, long disease-free interval, and absence of other systemic disease. Our patient tolerated her procedure well without evidence of residual disease over 6 months postoperatively.

摘要

我们报告了一例复发性卵巢乳头状浆液性癌的最佳五期减瘤手术病例,该肿瘤累及肝实质,穿过膈肌全层侵入肺实质。卵巢癌的多次减瘤手术存在争议,尤其是当存在广泛的上腹部或胸部疾病时。这种广泛手术的选择标准包括:良好的功能状态、较长的无病间期以及无其他全身性疾病。我们的患者对手术耐受良好,术后6个月无残留疾病迹象。

https://cdn.ncbi.nlm.nih.gov/pmc/blobs/74e7/3649565/dfd5e7c2700f/jscr-2012-7-7fig2.jpg
https://cdn.ncbi.nlm.nih.gov/pmc/blobs/74e7/3649565/bb28f4f0136a/jscr-2012-7-7fig1.jpg
https://cdn.ncbi.nlm.nih.gov/pmc/blobs/74e7/3649565/dfd5e7c2700f/jscr-2012-7-7fig2.jpg
https://cdn.ncbi.nlm.nih.gov/pmc/blobs/74e7/3649565/bb28f4f0136a/jscr-2012-7-7fig1.jpg
https://cdn.ncbi.nlm.nih.gov/pmc/blobs/74e7/3649565/dfd5e7c2700f/jscr-2012-7-7fig2.jpg

相似文献

1
Quinary debulking for epithelial ovarian cancer.上皮性卵巢癌的五级肿瘤减灭术
J Surg Case Rep. 2012 Jul 1;2012(7):7. doi: 10.1093/jscr/2012.7.7.
2
A novel classification of residual disease after interval debulking surgery for advanced-stage ovarian cancer to better distinguish oncologic outcome.一种新的晚期卵巢癌间歇肿瘤减灭术后残留病灶分类方法,可更好地区分肿瘤学结局。
Am J Obstet Gynecol. 2019 Oct;221(4):326.e1-326.e7. doi: 10.1016/j.ajog.2019.05.006. Epub 2019 May 10.
3
Upper abdominal surgery in advanced and recurrent ovarian cancer: role of diaphragmatic surgery.晚期和复发性卵巢癌的上腹部手术:膈肌手术的作用。
Gynecol Oncol. 2010 Mar;116(3):497-501. doi: 10.1016/j.ygyno.2009.11.023. Epub 2009 Dec 11.
4
Success rate and safety of tumor debulking with diaphragmatic surgery for advanced epithelial ovarian cancer and peritoneal cancer.晚期上皮性卵巢癌和腹膜癌行膈肌手术肿瘤减灭术的成功率及安全性
Arch Gynecol Obstet. 2015 Mar;291(3):641-6. doi: 10.1007/s00404-014-3446-7. Epub 2014 Sep 4.
5
The role of diaphragmatic surgery during interval debulking after neoadjuvant chemotherapy: an analysis of 74 patients with advanced epithelial ovarian cancer.新辅助化疗后间隔减瘤术中膈肌手术的作用:74 例晚期上皮性卵巢癌患者的分析。
Int J Gynecol Cancer. 2010 May;20(4):542-51. doi: 10.1111/IGC.0b013e3181d4de23.
6
Comparison of diaphragmatic surgery at primary or interval debulking in advanced ovarian carcinoma: an analysis of 163 patients.对比原发性或间隔减瘤术治疗晚期卵巢癌的膈肌手术:163 例患者分析。
Eur J Cancer. 2011 Jan;47(2):191-8. doi: 10.1016/j.ejca.2010.08.020. Epub 2010 Sep 27.
7
Survival impact of surgical cytoreduction in stage IV epithelial ovarian cancer.手术细胞减灭术对IV期上皮性卵巢癌生存的影响。
Gynecol Oncol. 1999 Mar;72(3):278-87. doi: 10.1006/gyno.1998.5145.
8
Primary debulking surgery of the upper abdomen and the diaphragm, with a plasma device surgery system, for advanced ovarian cancer.采用等离子设备手术系统对上腹部和膈肌进行初次肿瘤减灭术,治疗晚期卵巢癌。
Gynecol Oncol. 2017 Jan;144(1):223-224. doi: 10.1016/j.ygyno.2016.10.030. Epub 2016 Nov 9.
9
Primary surgery or neoadjuvant chemotherapy followed by interval debulking surgery in advanced ovarian cancer.晚期卵巢癌行初次肿瘤细胞减灭术或新辅助化疗后间隔减瘤术。
Eur J Cancer. 2011 Sep;47 Suppl 3:S88-92. doi: 10.1016/S0959-8049(11)70152-6.
10
A preoperative low cancer antigen 125 level (≤25.8 mg/dl) is a useful criterion to determine the optimal timing of interval debulking surgery following neoadjuvant chemotherapy in epithelial ovarian cancer.术前低癌抗原125水平(≤25.8毫克/分升)是确定上皮性卵巢癌新辅助化疗后间歇性肿瘤细胞减灭术最佳时机的有用标准。
Jpn J Clin Oncol. 2016 Jun;46(6):517-21. doi: 10.1093/jjco/hyw029. Epub 2016 Mar 13.

本文引用的文献

1
Pulmonary resection for metastatic adrenocortical carcinoma: the National Cancer Institute experience.肺切除术治疗转移性肾上腺皮质癌:美国国家癌症研究所经验。
Ann Thorac Surg. 2011 Oct;92(4):1195-200. doi: 10.1016/j.athoracsur.2011.05.013.
2
Is there a role for pulmonary metastasectomy with a curative intent in patients with metastatic urinary transitional cell carcinoma?对于转移性尿路上皮癌患者,是否存在以治愈为目的的肺转移灶切除术的作用?
Ann Thorac Surg. 2011 Aug;92(2):449-53. doi: 10.1016/j.athoracsur.2011.03.097.
3
Improved survival after resection of liver and lung colorectal metastases compared with liver-only metastases: a study of 112 patients with limited lung metastatic disease.
与仅肝转移相比,切除肝和肺结直肠转移可提高生存率:一项有限肺转移疾病 112 例患者的研究。
J Am Coll Surg. 2011 Jul;213(1):62-9; discussion 69-71. doi: 10.1016/j.jamcollsurg.2011.05.001.
4
Survival after resection for metastatic testicular nonseminomatous germ cell cancer to the lung or mediastinum.肺或纵隔转移性睾丸非精原细胞瘤的手术切除后存活率。
Ann Thorac Surg. 2011 Apr;91(4):1085-93; discussion 1093. doi: 10.1016/j.athoracsur.2010.12.034.
5
The incidence of major complications after the performance of extensive upper abdominal surgical procedures during primary cytoreduction of advanced ovarian, tubal, and peritoneal carcinomas.广泛上腹部手术在原发性卵巢癌、输卵管癌和腹膜癌肿瘤细胞减灭术中的主要并发症发生率。
Gynecol Oncol. 2010 Oct;119(1):38-42. doi: 10.1016/j.ygyno.2010.05.031. Epub 2010 Jul 6.
6
Tertiary cytoreduction in patients with recurrent epithelial ovarian, fallopian tube, or primary peritoneal cancer: an updated series.复发性上皮性卵巢癌、输卵管癌或原发性腹膜癌患者的三级细胞减灭术:最新系列。
Gynecol Oncol. 2010 May;117(2):330-5. doi: 10.1016/j.ygyno.2010.01.046. Epub 2010 Feb 26.
7
Cytoreductive surgery for recurrent ovarian cancer: a meta-analysis.复发性卵巢癌的细胞减灭术:一项荟萃分析
Gynecol Oncol. 2009 Jan;112(1):265-74. doi: 10.1016/j.ygyno.2008.08.033. Epub 2008 Oct 19.
8
En bloc resection of diaphragm with lung for recurrent ovarian cancer: a case report.复发性卵巢癌行膈肌与肺整块切除术:病例报告
Gynecol Oncol. 2006 Sep;102(3):596-8. doi: 10.1016/j.ygyno.2006.03.057. Epub 2006 Jun 19.
9
Role of surgical resection for lung, liver, and central nervous system metastases in patients with gynecological cancer: a literature review.手术切除在妇科癌症患者肺、肝及中枢神经系统转移瘤中的作用:一项文献综述
Int J Gynecol Cancer. 2004 May-Jun;14(3):399-422. doi: 10.1111/j.1048-891x.2004.14326.x.