Suppr超能文献

腹腔内硬纤维瘤的诊断与管理

Diagnosis and management of the intra-abdominal desmoid tumour.

作者信息

Stürmlin J, Banz V, Metzger J

机构信息

Cantonal Hospital Lucerne, Lucerne, Switzerland.

出版信息

J Surg Case Rep. 2012 Feb 1;2012(2):2. doi: 10.1093/jscr/2012.2.2.

Abstract

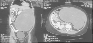
Desmoid tumours are a rare entity and are usually detected with a certain delay, as they initially often grow without causing any specific clinical symptoms. Although these tumours grow slowly and do not metastasise, their growth pattern remains aggressive and local tissue displacement or even destruction is common. Surgery remains the only potentially curative treatment option. Here we report on the findings of a 43-year old female patient with a large intra-abdominal desmoid tumour, resulting in the displacement of most intra-abdominal organs to the right of the patient's abdominal cavity. She successfully underwent surgical removal of the mass and recovered without complications.

摘要

硬纤维瘤是一种罕见的疾病,通常在一定时间后才被发现,因为它们最初生长时往往不会引起任何特定的临床症状。尽管这些肿瘤生长缓慢且不发生转移,但其生长方式仍然具有侵袭性,常见局部组织移位甚至破坏。手术仍然是唯一可能治愈的治疗选择。在此,我们报告一名43岁女性患者的病例,该患者患有巨大的腹腔内硬纤维瘤,导致腹腔内大多数器官移位至患者腹腔右侧。她成功接受了肿块切除手术,术后恢复良好,未出现并发症。

https://cdn.ncbi.nlm.nih.gov/pmc/blobs/4238/3649496/2204c592e536/jscr-2012-2-2fig1.jpg

文献检索

告别复杂PubMed语法,用中文像聊天一样搜索,搜遍4000万医学文献。AI智能推荐,让科研检索更轻松。

立即免费搜索

文件翻译

保留排版,准确专业,支持PDF/Word/PPT等文件格式,支持 12+语言互译。

免费翻译文档

深度研究

AI帮你快速写综述,25分钟生成高质量综述,智能提取关键信息,辅助科研写作。

立即免费体验