Suppr超能文献

Inflammatory fibroid polyp presenting as intussusception.

作者信息

Jacobs Tennika M, Lambrianides Andreas L

机构信息

Department of General Surgery, Redcliffe Hospital, Brisbane, Australia

Department of General Surgery, Redcliffe Hospital, Brisbane, Australia.

出版信息

J Surg Case Rep. 2013 Feb 22;2013(2):rjt005. doi: 10.1093/jscr/rjt005.

Abstract

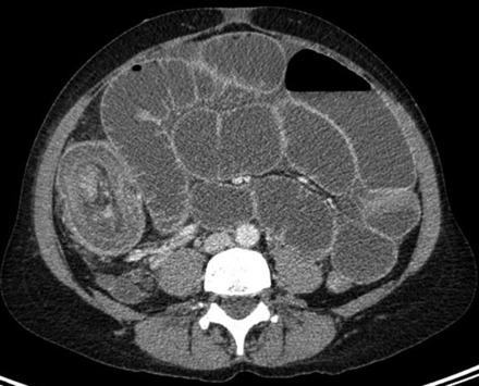
The majority of adult intussusceptions have a well-defined pathological abnormality as the lead point. We present the case of a 41-year-old female who presented to the Emergency Department on four different occasions with intermittent epigastric pain, associated with vomiting. On the fourth occasion, she was found to have a bowel obstruction caused by an ileocolic intussusception, diagnosed on CT. The lead point for her intussusception was a rare non-neoplastic submucosal lesion seldom found in the ileum, an inflammatory fibroid polyp.

摘要
https://cdn.ncbi.nlm.nih.gov/pmc/blobs/b65e/3789642/108978646859/rjt00501.jpg

文献AI研究员

20分钟写一篇综述,助力文献阅读效率提升50倍。

立即体验

用中文搜PubMed

大模型驱动的PubMed中文搜索引擎

马上搜索

文档翻译

学术文献翻译模型,支持多种主流文档格式。

立即体验