State Key Laboratory of Natural Medicines, School of Life Science and Technology, China Pharmaceutical University, Nanjing, Jiangsu 210009, China.
Mediators Inflamm. 2014;2014:691285. doi: 10.1155/2014/691285. Epub 2014 May 22.
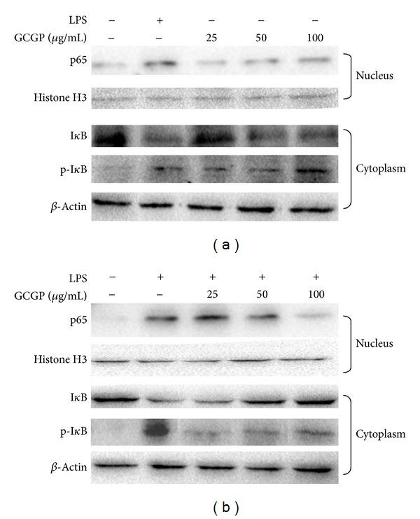
Glycopeptide from Ganoderma capense (Lloyd) Teng (GCGP) injection is widely used in kinds of immune disorders, but little is known about the molecular mechanisms of how GCGP could interfere with immune cell function. In the present study, we have found that GCGP had inflammatory modulation effects on macrophage cells to maintain NO production and iNOS expression at the normal level. Furthermore, western blot analysis showed that the underlying mechanism of immunomodulatory effect of GCGP involved NF-κB p65 translation, I κB phosphorylation, and degradation; NF-κB inhibitor assays also confirmed the results. In addition, competition study showed that GCGP could inhibit LPS from binding to macrophage cells. Our data indicates that GCGP, which may share the same receptor(s) expressed by macrophage cells with LPS, exerted immunomodulatory effect in a NF-κB-dependent signaling pathway in macrophages.
云芝糖肽(Ganoderma capense (Lloyd) Teng,GCGP)注射液被广泛应用于各种免疫紊乱疾病,但对于 GCGP 如何干扰免疫细胞功能的分子机制知之甚少。在本研究中,我们发现 GCGP 对巨噬细胞具有炎症调节作用,使其维持正常水平的 NO 产生和 iNOS 表达。此外,Western blot 分析表明,GCGP 免疫调节作用的潜在机制涉及 NF-κB p65 翻译、IκB 磷酸化和降解;NF-κB 抑制剂实验也证实了这一结果。此外,竞争研究表明,GCGP 可以抑制 LPS 与巨噬细胞的结合。我们的数据表明,GCGP 可能与 LPS 巨噬细胞表达的相同受体结合,通过 NF-κB 依赖的信号通路在巨噬细胞中发挥免疫调节作用。