Suppr超能文献

与克罗恩病相关的淀粉样变甲状腺肿:一种罕见的关联——继发于克罗恩病的淀粉样变甲状腺肿

Amyloid goiter related with Crohn's disease: A rare association: Amyloid goiter secondary to Crohn's disease.

作者信息

Ozemir Ibrahim Ali, Bilgic Cagri, Bayraktar Baris, Aslan Sinan, Zemheri Ebru, Yalman Haydar, Yigitbasi Rafet

机构信息

Istanbul Medeniyet University, Goztepe Education and Research Hospital, Department of General Surgery, Istanbul, Turkey.

Istanbul Medeniyet University, Goztepe Education and Research Hospital, Department of General Surgery, Istanbul, Turkey.

出版信息

Int J Surg Case Rep. 2014;5(8):480-3. doi: 10.1016/j.ijscr.2014.06.004. Epub 2014 Jun 10.

Abstract

INTRODUCTION

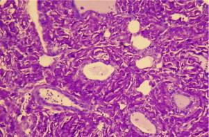
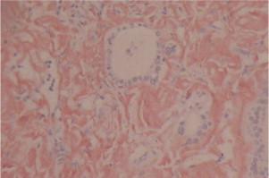
Amyloid goiter (AG) is characterized by enlargement of the thyroid gland as a result of extensive amyloid deposition in a bilateral and diffuse manner.

PRESENTATION OF CASE

A 58-year-old male patient was diagnosed of Crohn's Disease (CD). He was admitted to our clinic with complaint of respiratory distress and rapid growth swelling in the neck. Ultrasound examination revealed huge multinodular goiter on both sides of thyroid gland. We performed bilateral total thyroidectomy. Pathological evaluation revealed AG.

DISCUSSION

Amyloid leads to degeneration in tissues, thereby disrupts the function of the relevant organs. It is important to distinguish AG from other reasons of goiter, particularly thyroid medullary cancer that can cause amyloid deposition in thyroid gland. Secondary amyloidosis frequently involves thyroid gland at microscopic level, but rarely causes goiter. An analysis of current literature revealed that only few cases of AG occurred secondary to CD. Herein we presented a case of AG who has rapidly growing goiter that associated with CD.

CONCLUSION

AG must be kept in mind in case of rapidly growing goiter, especially in patients with chronic inflammatory bowel diseases.

摘要

引言

淀粉样变甲状腺肿(AG)的特征是甲状腺因广泛的淀粉样蛋白双侧弥漫性沉积而肿大。

病例介绍

一名58岁男性患者被诊断为克罗恩病(CD)。他因呼吸窘迫和颈部迅速增大的肿胀而入住我院。超声检查显示双侧甲状腺巨大多发结节性甲状腺肿。我们进行了双侧甲状腺全切除术。病理评估显示为AG。

讨论

淀粉样蛋白导致组织变性,从而破坏相关器官的功能。将AG与其他甲状腺肿原因区分开来很重要,尤其是可导致甲状腺淀粉样蛋白沉积的甲状腺髓样癌。继发性淀粉样变在微观层面常累及甲状腺,但很少导致甲状腺肿。对当前文献的分析显示,仅有少数AG病例继发于CD。在此我们报告一例与CD相关的迅速增大的甲状腺肿的AG病例。

结论

对于迅速增大的甲状腺肿,尤其是患有慢性炎症性肠病的患者,必须考虑到AG。

https://cdn.ncbi.nlm.nih.gov/pmc/blobs/69d2/4147629/ab91110fb063/gr1.jpg

文献AI研究员

20分钟写一篇综述,助力文献阅读效率提升50倍。

立即体验

用中文搜PubMed

大模型驱动的PubMed中文搜索引擎

马上搜索

文档翻译

学术文献翻译模型,支持多种主流文档格式。

立即体验