Suppr超能文献

电针对兔椎间盘退变模型细胞外基质合成与降解的影响。

The effect of electroacupuncture on the extracellular matrix synthesis and degradation in a rabbit model of disc degeneration.

机构信息

Department of Neurobiology, School of Basic Medicine, Tongji Medical College of Huazhong University of Science and Technology, 13 Hangkong Road, Wuhan 430030, China ; Department of Acupuncture & Moxibustion, Wuhan Hospital of Integrated Chinese & Western Medicine, Tongji Medical College of Huazhong University of Science & Technology, 215 Zhongshan Road, Wuhan 430022, China.

Department of Acupuncture & Moxibustion, Wuhan Hospital of Integrated Chinese & Western Medicine, Tongji Medical College of Huazhong University of Science & Technology, 215 Zhongshan Road, Wuhan 430022, China.

出版信息

Evid Based Complement Alternat Med. 2014;2014:731395. doi: 10.1155/2014/731395. Epub 2014 May 27.

Abstract

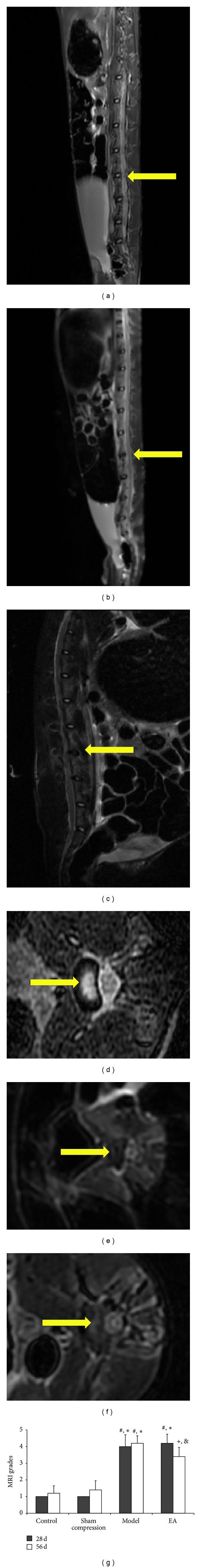
The present study was aimed at determining if the electroacupuncture (EA) is able to protect degenerated disc in vivo. New Zealand white rabbits (n = 40) were used for the study. The rabbits were randomly assigned to four groups. EA intervention was applied to one of the four groups. Magnetic resonance imaging and Pfirrmann's classification were obtained for each group to evaluate EA treatment on the intervertebral disc degeneration. Discs were analyzed using immunofluorescence for the labeling of collagens 1 and 2, bone morphogenetic protein-2 (BMP-2), matrix metalloproteinase-13 (MMP-13), and tissue inhibitor of matrix metalloproteinase-1 (TIMP-1). For protein expression analysis, western blot was used for biglycan and decorin. Outcomes indicated that EA intervention decreased the grades compared with the compressed disc. Immunofluorescence analysis showed a significant increase of collagens 1 and 2, TIMP-1, and BMP-2 positive cells, in contrast to MMP-13 after EA treatment for 28 days. The protein expression showed a sign of regeneration that decorin and biglycan were upregulated. It was concluded that EA contributed to the extracellular matrix (ECM) anabolic processes and increased the ECM components. MMPs and their inhibitors involved in the mechanism of EA intervention on ECM decreased disc. It kept a dynamic balance between ECM synthesis and degradation.

摘要

本研究旨在确定电针对体内退变椎间盘是否具有保护作用。选用新西兰大白兔(n = 40)进行研究。将兔子随机分为四组。对其中一组进行电针干预。对每组进行磁共振成像和 Pfirrmann 分级,以评估电针对椎间盘退变的治疗作用。采用免疫荧光法对椎间盘进行胶原 1 和 2、骨形态发生蛋白 2(BMP-2)、基质金属蛋白酶 13(MMP-13)和基质金属蛋白酶抑制剂 1(TIMP-1)的标记分析。采用 Western blot 法分析 biglycan 和 decorin 的蛋白表达。结果表明,与受压椎间盘相比,电针干预降低了分级。免疫荧光分析显示,电针治疗 28 天后,胶原 1 和 2、TIMP-1 和 BMP-2 阳性细胞显著增加,而 MMP-13 则减少。蛋白表达显示出再生的迹象,decorin 和 biglycan 上调。结论:电针促进细胞外基质(ECM)合成代谢过程,并增加 ECM 成分。参与电针对 ECM 干预机制的 MMPs 及其抑制剂可减少椎间盘退变。它在 ECM 的合成和降解之间保持了动态平衡。

https://cdn.ncbi.nlm.nih.gov/pmc/blobs/cab4/4058458/61d621ce6ca5/ECAM2014-731395.001.jpg

文献AI研究员

20分钟写一篇综述,助力文献阅读效率提升50倍。

立即体验

用中文搜PubMed

大模型驱动的PubMed中文搜索引擎

马上搜索

文档翻译

学术文献翻译模型,支持多种主流文档格式。

立即体验