Suppr超能文献

巨大会阴平滑肌瘤:一例病例报告及文献综述

Giant perineal leiomyoma: a case report and review of the literature.

作者信息

von-Waagner Wolf, Liu Huifei, Picon Antonio I

机构信息

Department of Surgery, Division of Surgical Oncology, Staten Island University Hospital, 2nd Floor, 256B Mason Avenue, Staten Island, NY 10305, USA.

Department of Pathology, Staten Island University Hospital, 475 Seaview Avenue, Staten Island, NY 10305, USA.

出版信息

Case Rep Surg. 2014;2014:629672. doi: 10.1155/2014/629672. Epub 2014 Jun 4.

Abstract

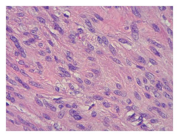
We report the case of a 40-year-old woman who presented with a large perineal mass with no rectal or vaginal involvement. Imaging could not rule out malignancy. She underwent wide surgical excision. Histological analysis revealed a large atypical leiomyoma, measuring 24 × 12 × 8 cm. Followup after two years showed no recurrence and she has been asymptomatic since surgery. This is the largest perineal leiomyoma reported so far.

摘要

我们报告了一例40岁女性病例,该患者会阴出现一个较大肿物,未累及直肠或阴道。影像学检查无法排除恶性肿瘤。她接受了广泛的手术切除。组织学分析显示为一个巨大的非典型平滑肌瘤,大小为24×12×8厘米。两年后的随访显示无复发,自手术以来她一直无症状。这是迄今为止报道的最大的会阴平滑肌瘤。

https://cdn.ncbi.nlm.nih.gov/pmc/blobs/2bcd/4065691/9f8171b93d39/CRIS2014-629672.001.jpg

文献AI研究员

20分钟写一篇综述,助力文献阅读效率提升50倍。

立即体验

用中文搜PubMed

大模型驱动的PubMed中文搜索引擎

马上搜索

文档翻译

学术文献翻译模型,支持多种主流文档格式。

立即体验