• 文献检索
  • 文档翻译
  • 深度研究
  • 学术资讯
  • Suppr Zotero 插件Zotero 插件
  • 邀请有礼
  • 套餐&价格
  • 历史记录
应用&插件
Suppr Zotero 插件Zotero 插件浏览器插件Mac 客户端Windows 客户端微信小程序
定价
高级版会员购买积分包购买API积分包
服务
文献检索文档翻译深度研究API 文档MCP 服务
关于我们
关于 Suppr公司介绍联系我们用户协议隐私条款
关注我们

Suppr 超能文献

核心技术专利:CN118964589B侵权必究
粤ICP备2023148730 号-1Suppr @ 2026

文献检索

告别复杂PubMed语法,用中文像聊天一样搜索,搜遍4000万医学文献。AI智能推荐,让科研检索更轻松。

立即免费搜索

文件翻译

保留排版,准确专业,支持PDF/Word/PPT等文件格式,支持 12+语言互译。

免费翻译文档

深度研究

AI帮你快速写综述,25分钟生成高质量综述,智能提取关键信息,辅助科研写作。

立即免费体验

一名眼皮肤白化病患者出现单侧眼眶丛状神经纤维瘤的罕见组合。

An unusual combination of unilateral orbital plexiform neurofibroma in a patient with oculocutaneous albinism.

作者信息

Saravanan J, Rajendraprasad A, Priyadharshni S

机构信息

Department of Ophthalmology, Coimbatore Medical College, Coimbatore, Tamil Nadu, India.

出版信息

Indian J Ophthalmol. 2014 Jun;62(6):735-7. doi: 10.4103/0301-4738.136259.

DOI:10.4103/0301-4738.136259
PMID:25005209
原文链接:https://pmc.ncbi.nlm.nih.gov/articles/PMC4131334/
Abstract

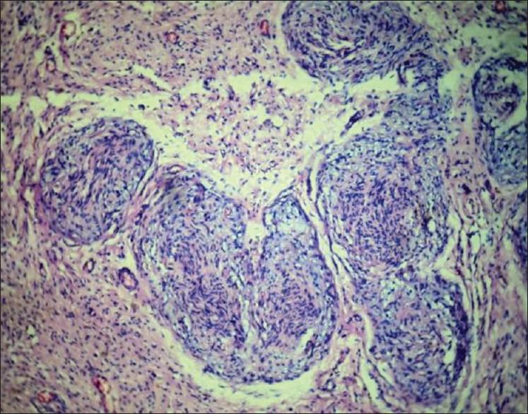
A 70-year-old female patient presented with proptosis of right eye for the past 15 days and defective vision in both eyes since birth. She was found to have eccentric painful proptosis of right eye along with features of oculocutaneous albinism. Eccentric proptosis was due to an orbital mass which proved to be a plexiform neurofibroma by histopathological examination. The case is presented for its rarity, as an isolated orbital plexiform neurofibroma without the systemic features of neurofibromatosis is rare and its coincidental presentation with oculocutaneous albinism is yet rare and has not been reported so far.

摘要

一名70岁女性患者,右眼突出15天,自出生起双眼视力不佳。检查发现患者右眼有偏心性疼痛性眼球突出,并伴有眼皮肤白化病特征。偏心性眼球突出是由眼眶肿块引起的,经组织病理学检查证实为丛状神经纤维瘤。该病例因其罕见性而被报道,孤立性眼眶丛状神经纤维瘤而无神经纤维瘤病的全身特征较为罕见,其与眼皮肤白化病同时出现则更为罕见,迄今为止尚未见报道。

https://cdn.ncbi.nlm.nih.gov/pmc/blobs/f248/4131334/21f4b91fcc2b/IJO-62-735-g005.jpg
https://cdn.ncbi.nlm.nih.gov/pmc/blobs/f248/4131334/0de62196ab1b/IJO-62-735-g001.jpg
https://cdn.ncbi.nlm.nih.gov/pmc/blobs/f248/4131334/277ad0a272e2/IJO-62-735-g002.jpg
https://cdn.ncbi.nlm.nih.gov/pmc/blobs/f248/4131334/0e53f3228432/IJO-62-735-g003.jpg
https://cdn.ncbi.nlm.nih.gov/pmc/blobs/f248/4131334/51b54d0d6122/IJO-62-735-g004.jpg
https://cdn.ncbi.nlm.nih.gov/pmc/blobs/f248/4131334/21f4b91fcc2b/IJO-62-735-g005.jpg
https://cdn.ncbi.nlm.nih.gov/pmc/blobs/f248/4131334/0de62196ab1b/IJO-62-735-g001.jpg
https://cdn.ncbi.nlm.nih.gov/pmc/blobs/f248/4131334/277ad0a272e2/IJO-62-735-g002.jpg
https://cdn.ncbi.nlm.nih.gov/pmc/blobs/f248/4131334/0e53f3228432/IJO-62-735-g003.jpg
https://cdn.ncbi.nlm.nih.gov/pmc/blobs/f248/4131334/51b54d0d6122/IJO-62-735-g004.jpg
https://cdn.ncbi.nlm.nih.gov/pmc/blobs/f248/4131334/21f4b91fcc2b/IJO-62-735-g005.jpg

相似文献

1
An unusual combination of unilateral orbital plexiform neurofibroma in a patient with oculocutaneous albinism.一名眼皮肤白化病患者出现单侧眼眶丛状神经纤维瘤的罕见组合。
Indian J Ophthalmol. 2014 Jun;62(6):735-7. doi: 10.4103/0301-4738.136259.
2
Intraorbital plexiform neurofibroma in an NF-1-negative patient.一名NF-1阴性患者的眶内丛状神经纤维瘤。
Dentomaxillofac Radiol. 2007 May;36(4):240-4. doi: 10.1259/dmfr/83834938.
3
Orbital plexiform neurofibroma and high axial myopia.眼眶丛状神经纤维瘤与高度轴性近视。
Ophthalmic Plast Reconstr Surg. 2008 Jul-Aug;24(4):284-6. doi: 10.1097/IOP.0b013e318177f116.
4
The CT and MRI features of an unusual case of isolated orbital neurofibroma.一例罕见的孤立性眼眶神经纤维瘤的CT和MRI特征
Ophthalmic Plast Reconstr Surg. 1992;8(3):221-7.
5
[Orbitotemporal segmental neurofibromatosis].
J Fr Ophtalmol. 2007 Nov;30(9):938-41. doi: 10.1016/s0181-5512(07)74033-0.
6
[Enophthalmos in an orbital tumor].[眼眶肿瘤导致的眼球内陷]
Oftalmologia. 2013;57(1):9-11.
7
Clinics in diagnostic imaging (96). Plexiform neurofibromatosis.诊断成像临床(96)。丛状神经纤维瘤病。
Singapore Med J. 2004 Apr;45(4):188-92.
8
Orbital Burkitt lymphoma: a case presentation.眼眶 Burkitt 淋巴瘤:病例报告。
BMC Ophthalmol. 2014 Sep 8;14:109. doi: 10.1186/1471-2415-14-109.
9
Orbital myxoma: a case report.眼眶黏液瘤:一例报告
Orbit. 2013 Jun;32(3):200-2. doi: 10.3109/01676830.2013.772210. Epub 2013 Apr 5.
10
Orbital glomus tumor in an Asian patient.亚洲患者的眶部球瘤。
BMC Ophthalmol. 2012 Dec 5;12:62. doi: 10.1186/1471-2415-12-62.

本文引用的文献

1
Isolated orbital neurofibroma in NF-1 negative patients.
J Med Assoc Thai. 2011 Oct;94(10):1281-2.
2
Oculocutaneous Albinism associated with Axenfeld's Anomaly: Three case reports.眼皮肤白化病合并阿克森费尔德异常:三例报告
Sultan Qaboos Univ Med J. 2010 Apr;10(1):111-3. Epub 2010 Apr 17.
3
Intraorbital plexiform neurofibroma in an NF-1-negative patient.一名NF-1阴性患者的眶内丛状神经纤维瘤。
Dentomaxillofac Radiol. 2007 May;36(4):240-4. doi: 10.1259/dmfr/83834938.
4
Clinicopathological study of neurofibromatosis type 1: an experience in Nigeria.1型神经纤维瘤病的临床病理研究:尼日利亚的经验
Int J Dermatol. 2005 Feb;44(2):116-20. doi: 10.1111/j.1365-4632.2005.02386.x.
5
A clinical study of patients with multiple isolated neurofibromas.多发性孤立性神经纤维瘤患者的临床研究。
J Med Genet. 2001 Jul;38(7):485-8. doi: 10.1136/jmg.38.7.485.
6
Cerebro-vasculopathy and malignancy: catastrophic complications of radiotherapy for optic nerve glioma in a von Recklinghausen neurofibromatosis patient.
Neurosurg Rev. 1996;19(1):47-51. doi: 10.1007/BF00346610.
7
Orbital tumors among Chinese in the Shanghai area.上海地区中国人的眼眶肿瘤
Int Ophthalmol Clin. 1982 Spring;22(1):87-98. doi: 10.1097/00004397-198202210-00008.
8
The familial association of neurofibromatosis, peroneal muscular atrophy, congenital deafness, partial albinism, and Axenfeld's defect.神经纤维瘤病、腓骨肌萎缩症、先天性耳聋、部分白化病和阿克森费尔德缺陷的家族性关联。
Brain. 1974 Sep;97(3):521-32. doi: 10.1093/brain/97.1.521.
9
Localized orbital neurofibromas.局限性眼眶神经纤维瘤
Am J Ophthalmol. 1985 Sep 15;100(3):458-64. doi: 10.1016/0002-9394(85)90514-8.