Kumar Santosh, Parmar Kalpesh Mahesh, Prasad Seema, Rani Jyotsna
Department of Urology, Postgraduate Institute of Medical Education and Research, Sector 12, Chandigarh 160012, India.
Anaesthesia, Chandigarh, India.
Case Rep Nephrol. 2014;2014:985615. doi: 10.1155/2014/985615. Epub 2014 Jun 16.
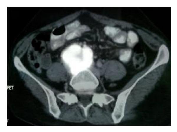
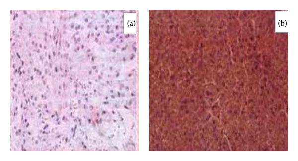
Paragangliomas are neuroendocrine tumors that arise from sympathetic nerve ganglia. They can develop anywhere from the neck to the pelvis, but are most commonly found in the abdomen, particularly at the aortic bifurcation or in the periaortic region. Malignant paragangliomas account for 29-40% of cases. We report a case of 36-year hypertensive female presented with and right flank pain and accelerated hypertension. On evaluation she was diagnosed to have non unctioning kidney due to malignant pelvic paraganglioma with right ureteric encasement. We believe our case is one of the first reported in literature as rare presentation of malignant paraganglioma presenting as nonfunctioning kidney and accelerated hypertension.
副神经节瘤是起源于交感神经节的神经内分泌肿瘤。它们可发生于从颈部到骨盆的任何部位,但最常见于腹部,尤其是在主动脉分叉处或主动脉周围区域。恶性副神经节瘤占病例的29% - 40%。我们报告一例36岁高血压女性患者,表现为右侧胁腹疼痛和高血压急症。经评估,她被诊断为因恶性盆腔副神经节瘤侵犯右侧输尿管而导致右肾无功能。我们认为我们的病例是文献中首次报道的以无功能肾和高血压急症为罕见表现的恶性副神经节瘤之一。