Suppr超能文献

干扰素-γ对妊娠大鼠白细胞介素-18表达及妊娠结局的影响

Effects of IFN-γ on IL-18 Expression in Pregnant Rats and Pregnancy Outcomes.

作者信息

Si Li-Fang, Zhang Shou-Yan, Gao Chun-Sheng, Chen Shu-Lin, Zhao Jin, Cheng Xiang-Chao

机构信息

College of Animal Science and Technology, Henan University of Science and Technology, Luoyang, Henan 471003, China.

出版信息

Asian-Australas J Anim Sci. 2013 Oct;26(10):1399-405. doi: 10.5713/ajas.2013.13101.

Abstract

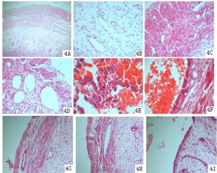
The present study focused on establishing the effects of interferon-gamma (IFN-γ) on interleukin-18 (IL-18) expression patterns and pregnancy outcomes in pregnant rats. Pregnant rats at the post-implantation stage were randomized into control, low IFN-γ (L-IFN-γ) and high IFN-γ groups (H-IFN-γ) that received normal saline, 100 IU/g of IFN-γ and 500 IU/g of IFN-γ vaginal muscular injection, respectively. The effects of IFN-γ on IL-18 expression and pregnancy outcomes were assessed systematically using several methods, including immunohistochemistry streptavidin-perosidase (SP), image pattern analysis, enzyme-linked immune-sorbent assay (ELISA), whole blood count (WBC) count, microscopy and visual observation. IL-18 was detected in the uteri of all pregnant rats, and mainly distributed in the endometrium, decidual cells, vascular endothelium and myometrium. Immunohistochemistry and image pattern analyses revealed significantly lower IL-18 expression in the H-IFN-γ group compared to the L-IFN-γ and control groups (p<0.01), indicating that high doses of IFN-γ induce downregulation of IL-18 in the uterus of pregnant rats. ELISA results disclosed that IL-18 expression in peripheral blood of the H-IFN-γ group was lower than that of the L-IFN-γ group (p<0.05), and significantly reduced compared to the control group (p<0.01). Moreover, the number of peripheral leukocytes in the H-IFN-γ group was significantly higher than those in the control and L-IFN-γ groups (p<0.01). Morphology analysis showed no evident differences between the L-IFN-γ and control groups. However, for the H-IFN-γ group, uterine mucosa bleeding, necrosis and excoriation were observed using microscopy. Visual observation revealed marroon, swelling, crassitude and no embryo in the uterus, which are obvious indicators of abortion. These results indicate that IFN-γ plays a regulatory role in IL-18 expression in the uterus and peripheral blood of pregnant rats at the post-implantation stage. Moreover, high levels (500 IU/g) of IFN-γ influence normal pregnancy at the early stages in rats by downregulating IL-18 expression in the uterus and peripheral blood and increasing the number of peripheral leukocytes, consequently triggering termination of pregnancy.

摘要

本研究聚焦于确定干扰素-γ(IFN-γ)对妊娠大鼠白细胞介素-18(IL-18)表达模式及妊娠结局的影响。将处于着床后阶段的妊娠大鼠随机分为对照组、低剂量IFN-γ组(L-IFN-γ)和高剂量IFN-γ组(H-IFN-γ),分别给予生理盐水、100 IU/g的IFN-γ和500 IU/g的IFN-γ进行阴道肌肉注射。使用多种方法系统评估IFN-γ对IL-18表达及妊娠结局的影响,包括免疫组织化学链霉亲和素-过氧化物酶法(SP)、图像模式分析、酶联免疫吸附测定(ELISA)、全血细胞计数(WBC)、显微镜检查和肉眼观察。在所有妊娠大鼠的子宫中均检测到IL-18,其主要分布于子宫内膜、蜕膜细胞、血管内皮和子宫肌层。免疫组织化学和图像模式分析显示,与L-IFN-γ组和对照组相比,H-IFN-γ组中IL-18的表达显著降低(p<0.01),表明高剂量的IFN-γ可诱导妊娠大鼠子宫中IL-18的表达下调。ELISA结果显示,H-IFN-γ组外周血中IL-18的表达低于L-IFN-γ组(p<0.05),与对照组相比显著降低(p<0.01)。此外,H-IFN-γ组外周白细胞数量显著高于对照组和L-IFN-γ组(p<0.01)。形态学分析显示L-IFN-γ组和对照组之间无明显差异。然而,对于H-IFN-γ组,通过显微镜观察发现子宫黏膜出血、坏死和擦伤。肉眼观察显示子宫呈暗红色、肿胀、增厚且无胚胎,这些都是流产的明显指标。这些结果表明,IFN-γ在着床后阶段妊娠大鼠子宫和外周血中IL-18的表达中起调节作用。此外,高剂量(500 IU/g)的IFN-γ通过下调子宫和外周血中IL-18的表达以及增加外周白细胞数量,影响大鼠早期的正常妊娠,从而引发妊娠终止。

https://cdn.ncbi.nlm.nih.gov/pmc/blobs/9df7/4093076/ee0d8c86d9c1/ajas-26-10-1399-6f1.jpg

文献AI研究员

20分钟写一篇综述,助力文献阅读效率提升50倍。

立即体验

用中文搜PubMed

大模型驱动的PubMed中文搜索引擎

马上搜索

文档翻译

学术文献翻译模型,支持多种主流文档格式。

立即体验