van der Vaart Thomas W, van Thiel Pieter P A M, Juffermans Nicole P, van Vugt Michèle, Geerlings Suzanne E, Grobusch Martin P, Goorhuis Abraham
Emerg Infect Dis. 2014 Aug;20(8):1375-7. doi: 10.3201/eid2008.131421.
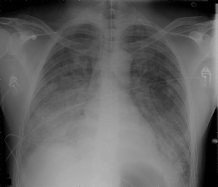
We encountered a case of severe murine typhus complicated by acute respiratory distress syndrome. To determine worldwide prevalence of such cases, we reviewed the literature and found that respiratory symptoms occur in ≈30% of murine typhus patients. In disease-endemic areas, murine typhus should be considered for patients with respiratory symptoms and fever.
我们遇到了一例严重的鼠型斑疹伤寒并发急性呼吸窘迫综合征的病例。为了确定此类病例在全球的患病率,我们查阅了文献,发现约30%的鼠型斑疹伤寒患者会出现呼吸道症状。在疾病流行地区,对于出现呼吸道症状和发热的患者应考虑鼠型斑疹伤寒。