Suppr超能文献

交感性眼炎的经典病理学表现在一个独特病例中呈现。

Classical pathology of sympathetic ophthalmia presented in a unique case.

作者信息

Chen Shida, Aronow Mary E, Wang Charles, Shen Defen, Chan Chi-Chao

机构信息

Immunopathology Section, Laboratory of Immunology, National Institutes of Health, Bethesda, MD, USA.

Clinical Branch, National Eye Institute, National Institutes of Health, Bethesda, MD, USA.

出版信息

Open Ophthalmol J. 2014 Jun 27;8:32-8. doi: 10.2174/1874364101408010032. eCollection 2014.

Abstract

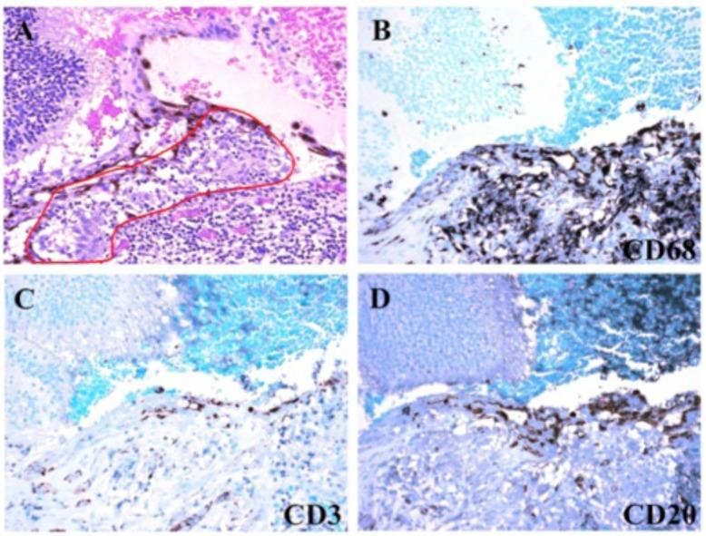
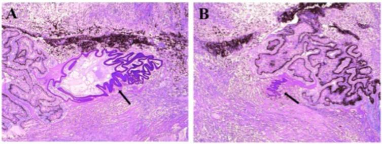
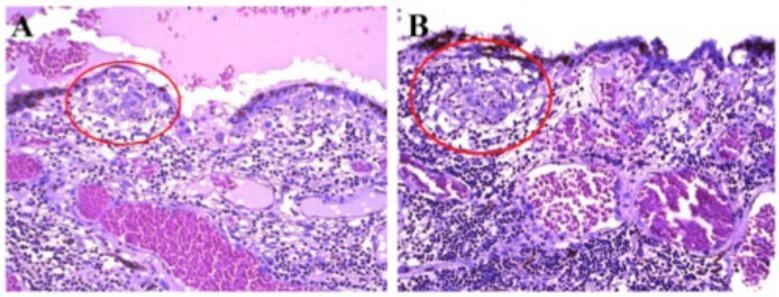
The ocular pathology of sympathetic ophthalmia is demonstrated in a 10 year-old boy who sustained a penetrating left globe injury and subsequently developed sympathetic ophthalmia in the right eye two months later. Two and a half weeks following extensive surgical repair of the left ruptured globe, he developed endophthalmitis and was treated with oral and topical fortified antibiotics. One month after the initial injury, a progressive corneal ulcer of the left eye led to perforation and the need for emergent corneal transplantation. The surgical specimen revealed fungus, Scedosporium dehoogii. The boy received systemic and topical anti-fungal therapy. Two months following the penetrating globe injury of the left eye, a granulomatous uveitis developed in the right eye. Sympathetic ophthalmia was suspected and the patient began treatment with topical and oral corticosteroids. Given the concern of vision loss secondary to sympathetic ophthalmia in the right eye, as well as poor vision and hypotony in the injured eye, the left eye was enucleated. Microscopically, granulomatous inflammation with giant cells was noted within a cyclitic membrane which filled the anterior and posterior chamber of the left globe. Other classic features including Dalen-Fuchs nodules were identified. Small, choroidal, ill-defined granulomas and relative sparing of the choriocapillaris were present. Molecular analysis did not identify evidence of remaining fungal infection. The pathology findings were consistent with previously described features of sympathetic ophthalmia. The present case is unique in that co-existing fungal infection may have potentiated the risk for developing sympathetic ophthalmia in the fellow eye.

摘要

一名10岁男孩的眼部病理表现为左眼穿透性损伤,两个月后右眼发生交感性眼炎。在对左眼破裂眼球进行广泛手术修复两周半后,他发生了眼内炎,并接受了口服和局部强化抗生素治疗。初始损伤一个月后,左眼进行性角膜溃疡导致穿孔,需要紧急进行角膜移植。手术标本显示为真菌——德氏帚霉。该男孩接受了全身和局部抗真菌治疗。左眼穿透性眼球损伤两个月后,右眼出现肉芽肿性葡萄膜炎。怀疑为交感性眼炎,患者开始接受局部和口服皮质类固醇治疗。鉴于担心右眼因交感性眼炎继发视力丧失,以及受伤眼视力差和低眼压,遂将左眼摘除。显微镜下,在填充左眼前后房的睫状体膜内可见伴有巨细胞的肉芽肿性炎症。还发现了包括达伦-富克斯结节在内的其他典型特征。存在小的、脉络膜的、边界不清的肉芽肿,脉络膜毛细血管相对 spared。分子分析未发现残留真菌感染的证据。病理结果与先前描述的交感性眼炎特征一致。本病例的独特之处在于,并存的真菌感染可能增加了对侧眼发生交感性眼炎的风险。

https://cdn.ncbi.nlm.nih.gov/pmc/blobs/4a71/4110402/3ef99d0db03a/TOOPHTJ-8-32_F1.jpg

文献AI研究员

20分钟写一篇综述,助力文献阅读效率提升50倍。

立即体验

用中文搜PubMed

大模型驱动的PubMed中文搜索引擎

马上搜索

文档翻译

学术文献翻译模型,支持多种主流文档格式。

立即体验