Suppr超能文献

血管紧张素II和小GTP酶Ras信号通路抑制对梗阻性肾病小鼠模型早期肾脏变化的影响

Effect of angiotensin II and small GTPase Ras signaling pathway inhibition on early renal changes in a murine model of obstructive nephropathy.

作者信息

Rodríguez-Peña Ana B, Fuentes-Calvo Isabel, Docherty Neil G, Arévalo Miguel, Grande María T, Eleno Nélida, Pérez-Barriocanal Fernando, López-Novoa José M

机构信息

Unidad de Fisiopatología Renal y Cardiovascular, Instituto "Reina Sofía" de Investigación Nefrológica, Fundación Renal Iñigo Alvarez de Toledo, Departamento de Fisiología y Farmacología, Universidad de Salamanca, Edificio Departamental, Campus Miguel de Unamuno, 37007 Salamanca, Spain ; Centro de Investigación del Cáncer (CSIC), Universidad de Salamanca, 37007 Salamanca, Spain.

Unidad de Fisiopatología Renal y Cardiovascular, Instituto "Reina Sofía" de Investigación Nefrológica, Fundación Renal Iñigo Alvarez de Toledo, Departamento de Fisiología y Farmacología, Universidad de Salamanca, Edificio Departamental, Campus Miguel de Unamuno, 37007 Salamanca, Spain.

出版信息

Biomed Res Int. 2014;2014:124902. doi: 10.1155/2014/124902. Epub 2014 Jul 3.

Abstract

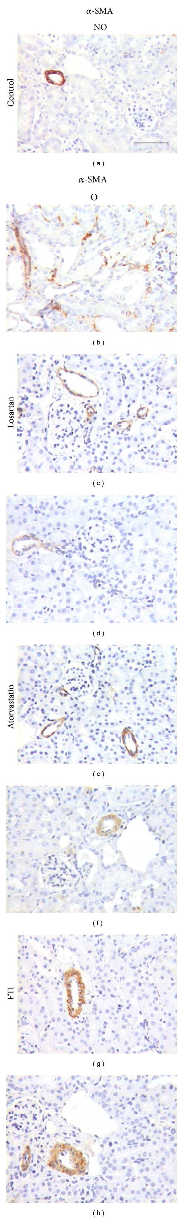
Tubulointerstitial fibrosis is a major feature of chronic kidney disease. Unilateral ureteral obstruction (UUO) in rodents leads to the development of renal tubulointerstitial fibrosis consistent with histopathological changes observed in advanced chronic kidney disease in humans. The purpose of this study was to assess the effect of inhibiting angiotensin II receptors or Ras activation on early renal fibrotic changes induced by UUO. Animals either received angiotensin II or underwent UUO. UUO animals received either losartan, atorvastatin, and farnesyl transferase inhibitor (FTI) L-744,832, or chaetomellic acid A (ChA). Levels of activated Ras, phospho-ERK1/2, phospho-Akt, fibronectin, and α-smooth muscle actin were subsequently quantified in renal tissue by ELISA, Western blot, and/or immunohistochemistry. Our results demonstrate that administration of angiotensin II induces activation of the small GTPase Ras/Erk/Akt signaling system, suggesting an involvement of angiotensin II in the early obstruction-induced activation of renal Ras. Furthermore, upstream inhibition of Ras signalling by blocking either angiotensin AT1 type receptor or by inhibiting Ras prenylation (atorvastatin, FTI o ChA) reduced the activation of the Ras/Erk/Akt signaling system and decreased the early fibrotic response in the obstructed kidney. This study points out that pharmacological inhibition of Ras activation may hold promise as a future strategy in the prevention of renal fibrosis.

摘要

肾小管间质纤维化是慢性肾脏病的主要特征。啮齿动物单侧输尿管梗阻(UUO)会导致肾小管间质纤维化的发展,这与人类晚期慢性肾脏病中观察到的组织病理学变化一致。本研究的目的是评估抑制血管紧张素II受体或Ras激活对UUO诱导的早期肾脏纤维化变化的影响。动物要么接受血管紧张素II,要么进行UUO手术。UUO动物接受氯沙坦、阿托伐他汀、法尼基转移酶抑制剂(FTI)L-744,832或茶渍酸A(ChA)。随后通过ELISA、蛋白质免疫印迹和/或免疫组织化学对肾组织中活化Ras、磷酸化ERK1/2、磷酸化Akt、纤连蛋白和α-平滑肌肌动蛋白的水平进行定量。我们的结果表明,给予血管紧张素II会诱导小GTP酶Ras/Erk/Akt信号系统的激活,这表明血管紧张素II参与了早期梗阻诱导的肾脏Ras激活。此外,通过阻断血管紧张素AT1型受体或抑制Ras异戊二烯化(阿托伐他汀、FTI或ChA)对Ras信号进行上游抑制,可降低Ras/Erk/Akt信号系统的激活,并减少梗阻肾脏中的早期纤维化反应。本研究指出,药理学抑制Ras激活有望成为预防肾纤维化的未来策略。

https://cdn.ncbi.nlm.nih.gov/pmc/blobs/060a/4101960/25a22c611d02/BMRI2014-124902.001.jpg

文献AI研究员

20分钟写一篇综述,助力文献阅读效率提升50倍。

立即体验

用中文搜PubMed

大模型驱动的PubMed中文搜索引擎

马上搜索

文档翻译

学术文献翻译模型,支持多种主流文档格式。

立即体验