Suppr超能文献

他克莫司对小型猪急性心肌梗死的治疗潜力:连续心脏磁共振分析及组织学和蛋白质水平变化

Therapeutic potential of tacrolimus on acute myocardial infarction in minipigs: analysis with serial cardiac magnetic resonance and changes at histological and protein levels.

作者信息

Ko Sheung-Fat, Yip Hon-Kan, Leu Steve, Lee Chen-Chang, Sheu Jiunn-Jye, Lee Chia-Chang, Ng Shu-Hang, Huang Chung-Cheng, Chen Min-Chi, Sun Cheuk-Kwan

机构信息

Department of Radiology, Kaohsiung Chang Gung Memorial Hospital, Chang Gung University, College of Medicine, 123 Ta-Pei Road, Niao-Sung District, Kaohsiung 833, Taiwan.

Department of Cardiology, Kaohsiung Chang Gung Memorial Hospital, Chang Gung University, College of Medicine, 123 Ta-Pei Road, Niao-Sung District, Kaohsiung 833, Taiwan.

出版信息

Biomed Res Int. 2014;2014:524078. doi: 10.1155/2014/524078. Epub 2014 Jul 9.

Abstract

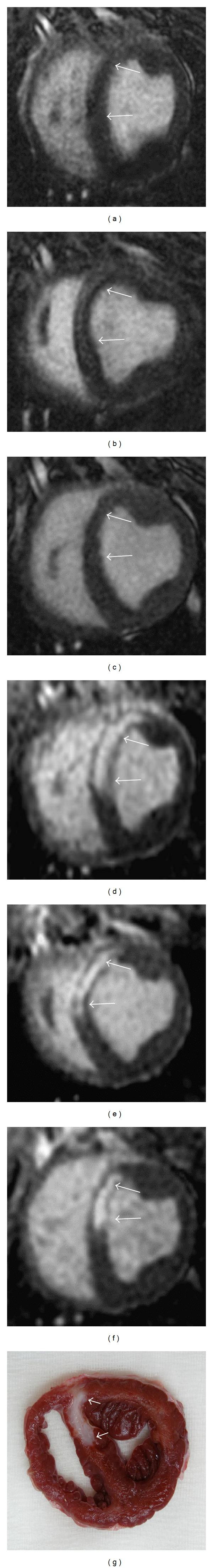
This study investigates the therapeutic potential of intracoronary tacrolimus against acute myocardial infarction (AMI) in minipigs with serial cardiac magnetic resonance (CMR) and changes at histological and protein levels. Twelve minipigs subjected to permanent left anterior descending artery ligation were randomized as tac-treated group (n=6, with intracoronary tacrolimus treatment) and controls (n=6). CMR with cine and late gadolinium enhancement (LGE) studies were performed on postoperative days 2, 5, and 21. There were no significant differences in left ventricular function (LVF), contractility, and LGE between the two groups on day 2. On day 5, the tac-treated group showed a significantly higher ejection fraction, smaller infarct, and lower day-5/day-2 infarct ratio than controls. On day 21, the controls demonstrated further deterioration of LVF and infarct. Contrastingly, the tac-treated animals demonstrated preservation of LVF, contractility, significantly smaller infarct, and lower day-21/day-2 infarct ratios compared with those on day 5 and controls. The in vivo CMR results were correlated with in vitro findings on histology, immunostaining, and Western blotting which revealed significantly less fibrosis, higher vascularities, less CD68+ and CD40+ inflammatory cells, lower expressions of inflammatory (MMP-9, NF-κB, and TNF-α), and apoptotic (Bax, Caspase-3, c-PARP) biomarkers, respectively, in tac-treated AMI minipigs than controls.

摘要

本研究通过连续心脏磁共振成像(CMR)以及组织学和蛋白质水平的变化,探究冠状动脉内注射他克莫司对小型猪急性心肌梗死(AMI)的治疗潜力。将12只接受永久性左冠状动脉前降支结扎的小型猪随机分为他克莫司治疗组(n = 6,接受冠状动脉内他克莫司治疗)和对照组(n = 6)。在术后第2天、第5天和第21天进行电影CMR和延迟钆增强(LGE)研究。术后第2天,两组在左心室功能(LVF)、收缩性和LGE方面无显著差异。在第5天,他克莫司治疗组的射血分数显著更高,梗死面积更小,第5天/第2天梗死面积比低于对照组。在第21天,对照组的LVF和梗死面积进一步恶化。相比之下,与第5天和对照组相比,他克莫司治疗的动物LVF、收缩性得以保留,梗死面积显著更小,第21天/第2天梗死面积比更低。体内CMR结果与组织学、免疫染色和蛋白质印迹的体外研究结果相关,这些结果显示,与对照组相比,他克莫司治疗的AMI小型猪的纤维化显著减少、血管生成增加、CD68 +和CD40 +炎症细胞减少、炎症(基质金属蛋白酶-9、核因子-κB和肿瘤坏死因子-α)和凋亡(Bax、半胱天冬酶-3、切割的聚(ADP-核糖)聚合酶)生物标志物的表达分别降低。

https://cdn.ncbi.nlm.nih.gov/pmc/blobs/a11d/4119637/78a3e2ae640f/BMRI2014-524078.001.jpg

文献AI研究员

20分钟写一篇综述,助力文献阅读效率提升50倍。

立即体验

用中文搜PubMed

大模型驱动的PubMed中文搜索引擎

马上搜索

文档翻译

学术文献翻译模型,支持多种主流文档格式。

立即体验