Suppr超能文献

前列腺癌患者18F-胆碱PET/CT的新采集方案:关于方法学的文献综述及标准化建议

New acquisition protocol of 18F-choline PET/CT in prostate cancer patients: review of the literature about methodology and proposal of standardization.

作者信息

Chondrogiannis Sotirios, Marzola Maria Cristina, Grassetto Gaia, Maffione Anna Margherita, Rampin Lucia, Veronese Emma, Massaro Arianna, Rubello Domenico

机构信息

Department of Nuclear Medicine, PET/CT Centre, "Santa Maria della Misericordia" Hospital, Via Tre Martiri 140, 45100 Rovigo, Italy.

出版信息

Biomed Res Int. 2014;2014:215650. doi: 10.1155/2014/215650. Epub 2014 Jul 10.

Abstract

PURPOSE

(1) To evaluate a new acquisition protocol of (18)F-choline (FCH) PET/CT for prostate cancer patients (PC), (2) to review acquisition (18)F-choline PET/CT methodology, and (3) to propose a standardized acquisition protocol on FCH PET/CT in PC patients.

MATERIALS

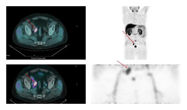
100 consecutive PC patients (mean age 70.5 years, mean PSA 21.35 ng/mL) were prospectively evaluated. New protocol consisted of an early scan of the pelvis immediately after the injection of the tracer (1 bed position of 4 min) followed by a whole body scan at one 1 hour. Early and 1 hour images were compared for interfering activity and pathologic findings.

RESULTS

The overall detection rate of FCH PET/CT was 64%. The early static images of the pelvis showed absence of radioactive urine in ureters, bladder, or urethra which allowed a clean evaluation of the prostatic fossae. Uptake in the prostatic region was better visualized in the early phase in 26% (7/30) of cases. Other pelvic pathologic findings (bone and lymph nodes) were visualized in both early and late images.

CONCLUSION

Early (18)F-choline images improve visualization of abnormal uptake in prostate fossae. All pathologic pelvic deposits (prostate, lymph nodes, and bone) were visualized in both early and late images.

摘要

目的

(1)评估一种用于前列腺癌患者的新型(18)F-胆碱(FCH)PET/CT采集方案;(2)回顾(18)F-胆碱PET/CT采集方法;(3)提出针对前列腺癌患者的FCH PET/CT标准化采集方案。

材料

前瞻性评估了100例连续的前列腺癌患者(平均年龄70.5岁,平均前列腺特异性抗原21.35 ng/mL)。新方案包括在注射示踪剂后立即对骨盆进行早期扫描(1个床位,4分钟),随后在1小时后进行全身扫描。比较早期和1小时图像的干扰活性及病理结果。

结果

FCH PET/CT的总体检出率为64%。骨盆的早期静态图像显示输尿管、膀胱或尿道无放射性尿液,从而可以清晰地评估前列腺窝。在26%(7/30)的病例中,早期前列腺区域的摄取情况显示得更好。其他骨盆病理结果(骨骼和淋巴结)在早期和晚期图像中均可见。

结论

早期(18)F-胆碱图像可改善前列腺窝异常摄取的可视化。所有骨盆病理沉积物(前列腺、淋巴结和骨骼)在早期和晚期图像中均可见。

https://cdn.ncbi.nlm.nih.gov/pmc/blobs/2c63/4119889/30a3ae75cd6b/BMRI2014-215650.001.jpg

文献AI研究员

20分钟写一篇综述,助力文献阅读效率提升50倍。

立即体验

用中文搜PubMed

大模型驱动的PubMed中文搜索引擎

马上搜索

文档翻译

学术文献翻译模型,支持多种主流文档格式。

立即体验