Suppr超能文献

霍奇金淋巴瘤的初始分期:对比增强18F FDG PET/CT的作用

Initial staging of Hodgkin's disease: role of contrast-enhanced 18F FDG PET/CT.

作者信息

Chiaravalloti Agostino, Danieli Roberta, Caracciolo Cristiana Ragano, Travascio Laura, Cantonetti Maria, Gallamini Andrea, Guazzaroni Manlio, Orlacchio Antonio, Simonetti Giovanni, Schillaci Orazio

机构信息

Department of Biomedicine and Prevention, University Tor Vergata, Rome (AC, RD, CRC, LT, MC, MG, AO, GS, OS); Azienda Ospedaliera S. Coce e Carle, Hematology, Cuneo (AG); and IRCCS Neuromed, Pozzilli (OS), Italy.

出版信息

Medicine (Baltimore). 2014 Aug;93(8):e50. doi: 10.1097/MD.0000000000000050.

Abstract

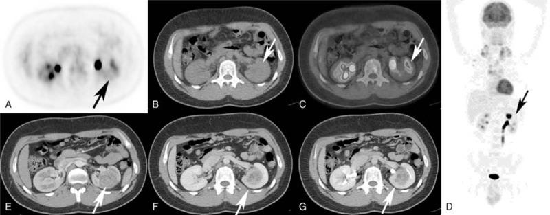
The objective of this study was to compare the diagnostic accuracy of positron emission tomography/low-dose computed tomography (PET/ldCT) versus the same technique implemented by contrast-enhanced computed tomography (ceCT) in staging Hodgkin's disease (HD).Forty patients (18 men and 22 women, mean age 30 ± 9.6) with biopsy-proven HD underwent a PET/ldCT study for initial staging including an unenhanced low-dose computed tomography for attenuation correction with positron emission tomography acquisition and a ceCT, performed at the end of the PET/ldCT scan, in the same exam session. A detailed datasheet was generated for illness locations for separate imaging modality comparison and then merged in order to compare the separate imaging method results (PET/ldCT and ceCT) versus merged results positron emission tomography/contrast-enhanced computed tomography (PET/ceCT). The nodal and extranodal lesions detected by each technique were then compared with follow-up data that served as the reference standard.No significant differences were found at staging between PET/ldCT and PET/ceCT in our series. One hundred and eighty four stations of nodal involvement have been found with no differences in both modalities. Extranodal involvement was identified in 26 sites by PET/ldCT and in 28 by PET/ceCT. We did not find significant differences concerning the stage (Ann Arbor).Our study shows a good concordance and conjunction between PET/ldCT and ceCT in both nodal and extranodal sites in the initial staging of HD, suggesting that PET/ldCT could suffice in most of these patients.

摘要

本研究的目的是比较正电子发射断层扫描/低剂量计算机断层扫描(PET/ldCT)与通过对比增强计算机断层扫描(ceCT)实施的相同技术在霍奇金淋巴瘤(HD)分期中的诊断准确性。40例经活检证实为HD的患者(18例男性和22例女性,平均年龄30±9.6岁)接受了PET/ldCT初始分期检查,包括用于正电子发射断层扫描采集衰减校正的非增强低剂量计算机断层扫描,以及在PET/ldCT扫描结束时于同一检查环节进行的ceCT。为进行单独成像模态比较生成了详细的疾病位置数据表,然后合并以比较单独成像方法结果(PET/ldCT和ceCT)与合并结果正电子发射断层扫描/对比增强计算机断层扫描(PET/ceCT)。然后将每种技术检测到的淋巴结和结外病变与作为参考标准的随访数据进行比较。在我们的系列研究中,PET/ldCT和PET/ceCT在分期方面未发现显著差异。共发现184个淋巴结受累部位,两种模态均无差异。PET/ldCT在26个部位发现结外受累,PET/ceCT在28个部位发现结外受累。我们未发现关于分期(Ann Arbor分期)的显著差异。我们的研究表明,在HD初始分期中,PET/ldCT与ceCT在淋巴结和结外部位均具有良好的一致性和关联性,这表明在大多数此类患者中PET/ldCT可能就足够了。

https://cdn.ncbi.nlm.nih.gov/pmc/blobs/7148/4602442/9fcd44534a41/medi-93-e50-g001.jpg

文献AI研究员

20分钟写一篇综述,助力文献阅读效率提升50倍。

立即体验

用中文搜PubMed

大模型驱动的PubMed中文搜索引擎

马上搜索

文档翻译

学术文献翻译模型,支持多种主流文档格式。

立即体验