Department of Cardiology, Amphia Hospital, Molengracht 21, 4818, CK, Breda, the Netherlands.
Neth Heart J. 2014 Dec;22(12):533-41. doi: 10.1007/s12471-014-0592-2.
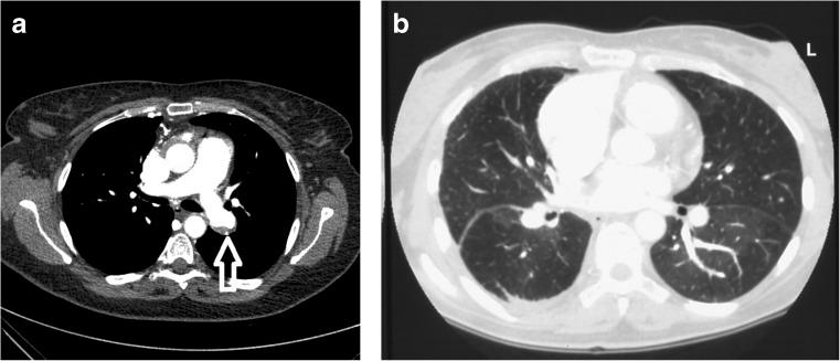
Chronic pulmonary thromboembolic disease is an important cause of severe pulmonary hypertension, and as such is associated with significant morbidity and mortality. The prognosis of this condition reflects the degree of associated right ventricular dysfunction, with predictable mortality related to the severity of the underlying pulmonary hypertension. Left untreated, the prognosis is poor. Pulmonary endarterectomy is the treatment of choice to relieve pulmonary artery obstruction in patients with chronic thromboembolic pulmonary hypertension and has been remarkably successful. Advances in surgical techniques along with the introduction of pulmonary hypertension-specific medication provide therapeutic options for the majority of patients afflicted with the disease. However, a substantial number of patients are not candidates for pulmonary endarterectomy due to either distal pulmonary vascular obstruction or significant comorbidities. Therefore, careful selection of surgical candidates in expert centres is paramount. The current review focuses on the diagnostic approach to chronic thromboembolic pulmonary hypertension and the available surgical and medical therapeutic options.
慢性肺血栓栓塞性疾病是严重肺动脉高压的重要病因,与较高的发病率和死亡率相关。该病的预后反映了相关右心功能障碍的程度,可预测的死亡率与基础肺动脉高压的严重程度相关。如果不进行治疗,预后很差。肺动脉血栓内膜切除术是治疗慢性血栓栓塞性肺动脉高压患者肺动脉阻塞的首选方法,且取得了显著的成功。随着肺动脉高压特定药物的引入,手术技术的进步为大多数患有该疾病的患者提供了治疗选择。然而,由于远端肺血管阻塞或严重合并症,相当多的患者不适合进行肺动脉血栓内膜切除术。因此,在专家中心对手术候选人进行仔细选择至关重要。本综述重点介绍慢性血栓栓塞性肺动脉高压的诊断方法以及现有的手术和药物治疗选择。