Hiyoshi Yukiharu, Oki Eiji, Zaitsu Yoko, Ando Koji, Ito Shuhei, Saeki Hiroshi, Morita Masaru, Yamamoto Hidetaka, Baba Hideo, Maehara Yoshihiko
Department of Surgery and Science, Graduate School of Medical Sciences, Kyushu University, Japan.
Department of Surgery and Science, Graduate School of Medical Sciences, Kyushu University, Japan.
Int J Surg Case Rep. 2014;5(10):669-72. doi: 10.1016/j.ijscr.2014.08.003. Epub 2014 Aug 10.
Immunoglobulin G4-related disease (IgG4-RD) is a systemic disease characterized by chronic fibrosing inflammation with abundant IgG4-positive plasma cells, and responds well to steroids. Previous reports of IgG4-RD have focused on pancreatic and extrapancreatic including the gastrointestinal tract, however, the colonic IgG4-RD is rare.
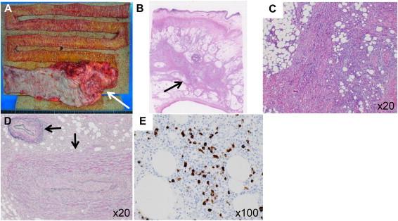
We herein report the case of a 74-year-old female with edematous wall thickening of the terminal ileum to the lower ascending colon confirmed by several preoperative imaging studies, who underwent right hemi-colectomy for suspected malignant lymphoma. The resected specimen showed an irregular wall thickness with subserosal sclerosis, and the lesion was 10cm in length from the terminal ileum to the ascending colon. The patient was diagnosed with IgG4-RD by pathological examinations, which demonstrated an increased number of IgG4-positive plasma cells (150/HPF), and an elevated IgG4/IgG ratio (50%).
Gastrointestinal IgG4-RD appears to be difficult to diagnose prior to surgical resection because of its rarity, and the similarity of its features to malignancy. The measurement of the serum IgG4 levels, immunohistochemical examination of biopsy specimens and use of several imaging modalities might help us to diagnose the disease without surgical resection, and this disease can generally be treated with steroid therapy. However, surgical resection for IgG4-RD may still be also necessary for patients with concerns regarding malignancy or with intractable gastrointestinal obstruction caused by this disease.
Gastrointestinal IgG4-RD often mimics malignancy, and we should therefore consider this disease in the differential diagnosis of colonic lesions in order to optimize the treatment.
免疫球蛋白G4相关性疾病(IgG4-RD)是一种以慢性纤维化炎症伴大量IgG4阳性浆细胞为特征的全身性疾病,对类固醇治疗反应良好。既往关于IgG4-RD的报道主要集中在胰腺及胰腺外包括胃肠道的病变,然而,结肠IgG4-RD较为罕见。
我们在此报告一例74岁女性患者,术前多项影像学检查证实回肠末端至升结肠下段肠壁水肿增厚,因疑似恶性淋巴瘤接受了右半结肠切除术。切除标本显示肠壁厚度不规则,浆膜下硬化,病变从回肠末端至升结肠长10cm。经病理检查,该患者被诊断为IgG4-RD,显示IgG4阳性浆细胞数量增加(150/高倍视野),IgG4/IgG比值升高(50%)。
由于胃肠道IgG4-RD罕见且其特征与恶性肿瘤相似,术前似乎难以诊断。检测血清IgG4水平、对活检标本进行免疫组化检查以及使用多种影像学检查方法可能有助于在不进行手术切除的情况下诊断该病,且该病一般可用类固醇治疗。然而,对于担心恶性肿瘤或因该病导致顽固性胃肠道梗阻的患者,仍可能需要对IgG4-RD进行手术切除。
胃肠道IgG4-RD常酷似恶性肿瘤,因此在结肠病变的鉴别诊断中我们应考虑该病,以优化治疗。