Suppr超能文献

联合牙周治疗与正畸治疗改善前牙区骨下缺损:一例6年随访病例报告

Improvement of an anterior infrabone defect using combined periodontal and orthodontic therapy: A 6-year follow-up case report.

作者信息

de Molon Rafael Scaf, Kim Yeon Jung, Dos Santos-Pinto Ary, Cirelli Joni Augusto

机构信息

Department of Diagnosis and Surgery, School of Dentistry at Araraquara, University of Estadual Paulista, Araraquara, São Paulo, Brazil.

Department of Implantology, University of Santo Amaro, Santo Amaro, Sao Paulo, Brazil.

出版信息

Eur J Dent. 2014 Jul;8(3):407-411. doi: 10.4103/1305-7456.137657.

Abstract

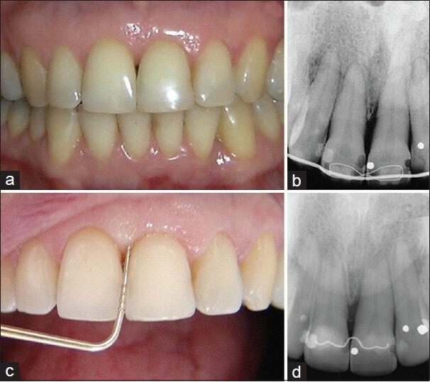
Extensive intraosseous lesions represent a clinical challenge for the periodontist. Sites with bone defects have been shown to be at higher risk of periodontitis progression in patients who had not received periodontal therapy. Thus, the aim of this case report was to describe a novel approach for the treatment of 1-walled intraosseous defect by combining nonsurgical periodontal therapy and orthodontic movement toward the bone defect, avoiding regenerative and surgical procedures. A 47-year-old woman underwent the proposed procedures for the treatment of her left central incisor with 9 mm probing depth and 1-walled intraosseous defect in its mesial aspect. Initially, basic periodontal therapy with scaling and root planning was accomplished. Two months later, an orthodontic treatment was planned to eliminate the intraosseous lesion and to improve the interproximal papillary area. Orthodontic root movement toward the osseous defect was performed for 13 months with light forces. After 6 years postoperative it was concluded that combined basic periodontal therapy and orthodontic movement was capable of eliminating the intraosseous defect and improve the esthetics in the interproximal papillary area between the central incisors.

摘要

广泛的骨内病变对牙周病医生来说是一项临床挑战。对于未接受过牙周治疗的患者,存在骨缺损的部位已被证明牙周炎进展的风险更高。因此,本病例报告的目的是描述一种通过结合非手术牙周治疗和向骨缺损处的正畸移动来治疗单壁骨内缺损的新方法,避免使用再生和外科手术。一名47岁女性接受了针对其左中切牙的拟议治疗程序,该牙探诊深度为9mm,近中面存在单壁骨内缺损。最初,完成了刮治和根面平整的基础牙周治疗。两个月后,计划进行正畸治疗以消除骨内病变并改善邻间隙乳头区域。使用轻力向骨缺损处进行正畸牙根移动13个月。术后6年得出结论,基础牙周治疗和正畸移动相结合能够消除骨内缺损并改善中切牙之间邻间隙乳头区域的美观。

https://cdn.ncbi.nlm.nih.gov/pmc/blobs/df51/4144142/c307a016856f/EJD-8-407-g001.jpg

文献AI研究员

20分钟写一篇综述,助力文献阅读效率提升50倍。

立即体验

用中文搜PubMed

大模型驱动的PubMed中文搜索引擎

马上搜索

文档翻译

学术文献翻译模型,支持多种主流文档格式。

立即体验