Suppr超能文献

¹¹C-蛋氨酸正电子发射断层扫描在检测颅内成釉细胞瘤中的应用:一例报告

Usefulness of C-methionine positron emission tomography for detecting intracranial ameloblastic carcinoma: A case report.

作者信息

Tempaku Akira, Takahashi Yoshinobu, Ikeda Hidetoshi, Yamauchi Shigeru, Gotoh Takashi, Bandoh Nobuyuki, Makino Syujirou, Shimada Takuji, Kamada Hajime

机构信息

Department of Neurosurgery, Hokuto Hospital, Hokkaido 080-0833, Japan.

Department of Otolaryngology, Hokuto Hospital, Hokkaido 080-0833, Japan.

出版信息

Oncol Lett. 2014 Oct;8(4):1509-1512. doi: 10.3892/ol.2014.2352. Epub 2014 Jul 15.

Abstract

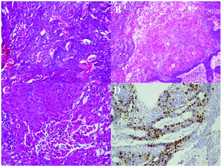
Ameloblastic carcinoma, secondary type, is an extremely rare odontogenic malignant tumor. The present study reports the case of a 58-year-old male with ameloblastic carcinoma that extended into the intracranial space close to the internal carotid artery. Surgical excision was performed, as headaches were being caused via compression by the mass. Small remnants of the tumor remained surrounding the internal carotid artery following surgical resection. Although the remnant tissue was not detected on magnetic resonance imaging or 18F-fluorodeoxyglucose (FDG)-positron emission tomography (PET), it was clearly visualized on C-methionine PET in the early post-operative follow-up period. No neurological deficits were exhibited during the follow-up period, and C-methionine PET was able to detect the remnant lesion distribution in the intracranial space. The current study presents a rare case of ameloblastic carcinoma that extended into the intracranial space. In addition, several diagnostic imaging tools were compared in order to determine the most suitable imaging modality. At present, the patient is continuing a therapeutic course of radiation and evident mass reduction has been observed. However, the therapeutic effects are currently under consideration. To the best of our knowledge, this is the first study on the effectiveness of using C-methionine PET for detecting ameloblastic carcinoma with intracranial extension.

摘要

继发性成釉细胞癌是一种极为罕见的牙源性恶性肿瘤。本研究报告了一例58岁男性成釉细胞癌患者,肿瘤已延伸至靠近颈内动脉的颅内空间。由于肿块压迫引起头痛,遂进行了手术切除。手术切除后,颈内动脉周围仍残留少量肿瘤组织。尽管在磁共振成像或18F-氟脱氧葡萄糖(FDG)-正电子发射断层扫描(PET)上未检测到残留组织,但在术后早期随访期间,C-蛋氨酸PET清晰地显示了残留组织。随访期间未出现神经功能缺损,C-蛋氨酸PET能够检测颅内空间残留病变的分布。本研究报告了一例罕见的成釉细胞癌延伸至颅内空间的病例。此外,比较了几种诊断成像工具,以确定最合适的成像方式。目前,患者正在继续接受放射治疗,已观察到明显的肿块缩小。然而,目前正在评估治疗效果。据我们所知,这是第一项关于使用C-蛋氨酸PET检测颅内延伸型成釉细胞癌有效性的研究。

https://cdn.ncbi.nlm.nih.gov/pmc/blobs/864d/4156171/063718886a8f/OL-08-04-1509-g00.jpg

文献AI研究员

20分钟写一篇综述,助力文献阅读效率提升50倍。

立即体验

用中文搜PubMed

大模型驱动的PubMed中文搜索引擎

马上搜索

文档翻译

学术文献翻译模型,支持多种主流文档格式。

立即体验