Javid Bhat Khalid, Bhat Sanjay, Dutt Kalyan, Gupta Sakul, Jeelani Samoon Hamaad
Department of Medicine, ASCOMS & Hospital, Sidhra, Jammu, Jammu & Kashmir, 180017, India.
Caspian J Intern Med. 2014 Summer;5(3):182-5.
Eosinophilic gastroenteritis (EG) is rare and is characterized by recurrent eosinophilic infiltration of the gastrointestinal tract and chronic diarrhea. In this report we present a case of EG with acute pancreatitis and deep vein thrombosis (DVT).
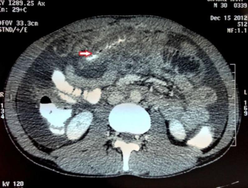
A 30 years old male was admitted to our hospital with the complaints of epigastric pain, vomitting and swelling of his left limb for the past six days. He was also having diarrhea for the last several months. He had been evaluated for chronic diarrhea and ascites before he sought the current consultation. Duplex color doppler of left limb showed DVT of distal calf vein. Contrast enhanced CT imaging of abdomen revealed thickening of duodenum, proximal jejunal wall and presence of ascites. Duodenal biopsy showed normal villous pattern with mild inflammation and eosinophilic infiltration. The constellation of clinical presentation, hypereosinophilia, CT and biopsy findings all is in consistence to EG. The patient was treated with prednisolone 20 mg/day for four weeks and tapered slowly. Acute pancreatitis was managed conservatively while DVT was treated with heparin and oral anticoagulants. The patient's diarrhea settled and ascites resolved completely. At follow up, the absolute eosinophil count was 300/μl and the patient was doing well.
This case report emphasizes that one should consider these rare disorders during the differential diagnosis of unexplained gastrointestinal symptoms in the presence of hypereosinophilia.