Department of Orthopedics, Second Hospital of Xi'an Jiaotong University, Xi'an 710004, Shaanxi Province, China.
Neural Regen Res. 2013 Apr 15;8(11):965-74. doi: 10.3969/j.issn.1673-5374.2013.11.001.
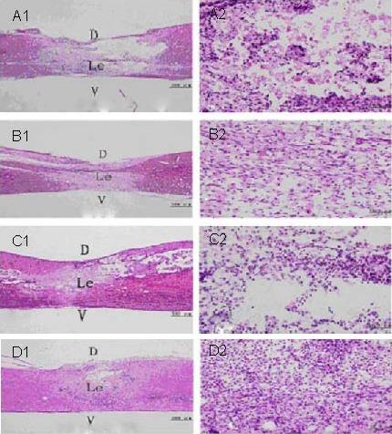
As chondroitinase ABC can improve the hostile microenvironment and cell transplantation is proven to be effective after spinal cord injury, we hypothesized that their combination would be a more effective treatment option. At 5 days after T8 spinal cord crush injury, rats were injected with bone marrow mesenchymal stem cell suspension or chondroitinase ABC 1 mm from the edge of spinal cord damage zone. Chondroitinase ABC was first injected, and bone marrow mesenchymal stem cell suspension was injected on the next day in the combination group. At 14 days, the mean Basso, Beattie and Bresnahan score of the rats in the combination group was higher than other groups. Hematoxylin-eosin staining showed that the necrotic area was significantly reduced in the combination group compared with other groups. Glial fibrillary acidic protein-chondroitin sulfate proteoglycan double staining showed that the damage zone of astrocytic scars was significantly reduced without the cavity in the combination group. Glial fibrillary acidic protein/growth associated protein-43 double immunostaining revealed that positive fibers traversed the damage zone in the combination group. These results suggest that the combination of chondroitinase ABC and bone marrow mesenchymal stem cell transplantation contributes to the repair of spinal cord injury.
由于 ABC 软骨素酶可以改善恶劣的微环境,并且细胞移植已被证明在脊髓损伤后是有效的,我们假设它们的联合应用将是一种更有效的治疗选择。在 T8 脊髓挤压伤后 5 天,在脊髓损伤区域边缘 1 毫米处向大鼠注射骨髓间充质干细胞悬液或 ABC 软骨素酶。在联合组中,首先注射 ABC 软骨素酶,然后在第二天注射骨髓间充质干细胞悬液。在 14 天时,联合组大鼠的平均 Basso、Beattie 和 Bresnahan 评分高于其他组。苏木精-伊红染色显示,与其他组相比,联合组的坏死面积明显减少。胶质纤维酸性蛋白-软骨素硫酸蛋白聚糖双重染色显示,联合组的星形胶质细胞瘢痕损伤区明显减少,没有空洞。胶质纤维酸性蛋白/生长相关蛋白-43 双重免疫染色显示,阳性纤维穿过联合组的损伤区。这些结果表明,ABC 软骨素酶与骨髓间充质干细胞移植的联合应用有助于脊髓损伤的修复。