Suppr超能文献

碱性成纤维细胞生长因子可减轻损伤脊髓运动终板的退变。

Basic fibroblast growth factor attenuates the degeneration of injured spinal cord motor endplates.

机构信息

Department of Orthopedics, Third Xiangya Hospital of Central South University, Changsha 410013, Hunan Province, China.

Department of Orthopedics, Yichang Central People's Hospital, Yichang 443003, Hubei Province, China.

出版信息

Neural Regen Res. 2013 Aug 25;8(24):2213-24. doi: 10.3969/j.issn.1673-5374.2013.24.001.

Abstract

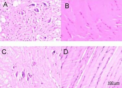
The distal end of the spinal cord and neuromuscular junction may develop secondary degeneration and damage following spinal cord injury because of the loss of neural connections. In this study, a rat model of spinal cord injury, established using a modified Allen's method, was injected with basic fibroblast growth factor solution via subarachnoid catheter. After injection, rats with spinal cord injury displayed higher scores on the Basso, Beattie and Bresnahan locomotor scale. Motor function was also well recovered and hematoxylin-eosin staining showed that spinal glial scar hyperplasia was not apparent. Additionally, anterior tibial muscle fibers slowly, but progressively, atrophied. nohistochemical staining showed that the absorbance values of calcitonin gene related peptide and acetylcholinesterase in anterior tibial muscle and spinal cord were similar, and injection of basic broblast growth factor increased this absorbance. Results showed that after spinal cord injury, the distal motor neurons and motor endplate degenerated. Changes in calcitonin gene related peptide and acetylcholinesterase in the spinal cord anterior horn motor neurons and motor endplate then occurred that were consistent with this regeneration. Our findings indicate that basic fibroblast growth factor can protect the endplate through attenuating the decreased expression of calcitonin gene related peptide and acetylcholinesterase in anterior horn motor neurons of the injured spinal cord.

摘要

脊髓和运动终板在损伤后,由于失去神经连接,可能会发生继发性变性和损伤。本研究通过蛛网膜下腔导管向脊髓损伤大鼠模型中注射碱性成纤维细胞生长因子溶液。注射后,脊髓损伤大鼠在巴索、比蒂和布雷森汉姆运动评分上的得分更高。运动功能也得到了很好的恢复,苏木精-伊红染色显示脊髓神经胶质瘢痕增生不明显。此外,前胫骨肌纤维逐渐但渐进性萎缩。组织化学染色显示,前胫骨肌和脊髓中的降钙素基因相关肽和乙酰胆碱酯酶的吸光度值相似,碱性成纤维细胞生长因子的注射增加了该吸光度值。结果表明,脊髓损伤后,远端运动神经元和运动终板发生退化。脊髓前角运动神经元和运动终板中降钙素基因相关肽和乙酰胆碱酯酶的变化与这种再生是一致的。我们的研究结果表明,碱性成纤维细胞生长因子可以通过减轻损伤脊髓前角运动神经元中降钙素基因相关肽和乙酰胆碱酯酶表达的降低来保护终板。

https://cdn.ncbi.nlm.nih.gov/pmc/blobs/0c56/4146030/e80759041daf/NRR-8-2213-g002.jpg

文献AI研究员

20分钟写一篇综述,助力文献阅读效率提升50倍。

立即体验

用中文搜PubMed

大模型驱动的PubMed中文搜索引擎

马上搜索

文档翻译

学术文献翻译模型,支持多种主流文档格式。

立即体验