Suppr超能文献

丙泊酚对坐骨神经的影响:有害还是保护?

Propofol's effect on the sciatic nerve: Harmful or protective?

机构信息

Chifeng Municipal Hospital, Chifeng 024000, Inner Mongolia Autonomous Region, China.

出版信息

Neural Regen Res. 2013 Sep 25;8(27):2520-30. doi: 10.3969/j.issn.1673-5374.2013.27.003.

Abstract

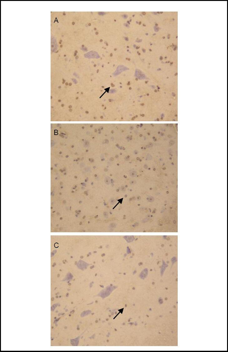
Propofol can inhibit the inflammatory response and reduce the secretion and harmful effects of astrocyte-derived proinflammatory cytokines. In this study, after propofol was injected into the injured sciatic nerve of mice, nuclear factor kappa B expression in the L4-6 segments of the spinal cord in the injured side was reduced, apoptosis was decreased, nerve myelin defects were alleviated, and the nerve conduction block was lessened. The experimental findings indicate that propofol inhibits the inflammatory and immune responses, decreases the expression of nuclear factor kappa B, and reduces apoptosis. These effects of propofol promote regeneration following sciatic nerve injury.

摘要

异丙酚可以抑制炎症反应,减少星形胶质细胞衍生的促炎细胞因子的分泌和有害作用。在这项研究中,向小鼠损伤的坐骨神经内注射异丙酚后,损伤侧 L4-6 节段脊髓中核因子 kappa B 的表达减少,凋亡减少,神经髓鞘缺陷减轻,神经传导阻滞减轻。实验结果表明,异丙酚抑制炎症和免疫反应,降低核因子 kappa B 的表达,减少细胞凋亡。异丙酚的这些作用促进坐骨神经损伤后的再生。

https://cdn.ncbi.nlm.nih.gov/pmc/blobs/1197/4145931/8a1268db48bc/NRR-8-2520-g001.jpg

文献AI研究员

20分钟写一篇综述,助力文献阅读效率提升50倍。

立即体验

用中文搜PubMed

大模型驱动的PubMed中文搜索引擎

马上搜索

文档翻译

学术文献翻译模型,支持多种主流文档格式。

立即体验